Case ID: 860
Publication date: 21 Jan, 2016
Consensus grade: I would not grade this tumor
Show diagnosis by expert panel members| User | Diagnosis | Difficulty | Comment |
|---|---|---|---|
| Pathologist 1 | I would not grade this tumor | Borderline lower | |
| Pathologist 2 | I would not grade this tumor | Typical | |
| Pathologist 3 | I would not grade this tumor | Typical |
Chromophobe |
| Pathologist 4 | WHO/ISUP grade 2 | Borderline higher | |
| Pathologist 5 | I would not grade this tumor | Typical | |
| Pathologist 6 | I would not grade this tumor | Typical | |
| Pathologist 7 | I would not grade this tumor | Typical | |
| Pathologist 8 | I would not grade this tumor | Typical | |
| Pathologist 9 | WHO/ISUP grade 2 | Borderline higher | |
| Pathologist 10 | I would not grade this tumor | Typical | |
| Pathologist 11 | I would not grade this tumor | Typical |
chromophobe |
| Pathologist 12 | I would not grade this tumor | Typical | |
| Pathologist 13 | I would not grade this tumor | Typical | |
| Pathologist 14 | I would not grade this tumor | Typical | |
| Pathologist 15 | I would not grade this tumor | Typical | |
| Pathologist 16 | I would not grade this tumor | Typical | |
| Pathologist 17 | WHO/ISUP grade 2 | Typical | |
| Pathologist 18 | I would not grade this tumor | Typical | |
| Pathologist 19 | I would not grade this tumor | Typical | |
| Pathologist 20 | WHO/ISUP grade 4 | Typical |
chromophobe RCC-grading? |
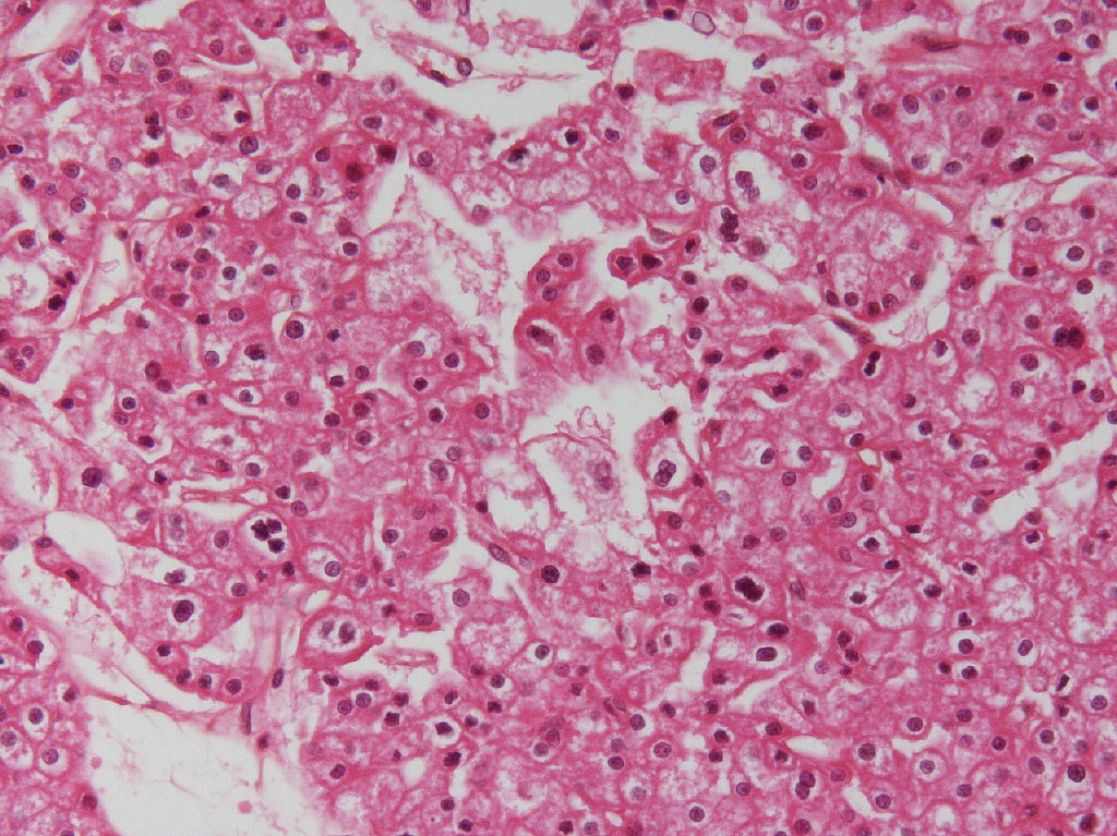
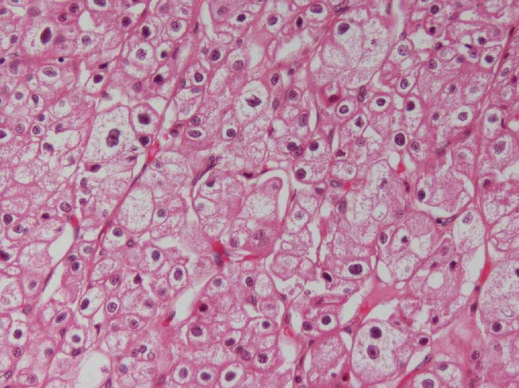
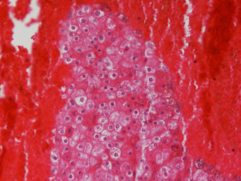
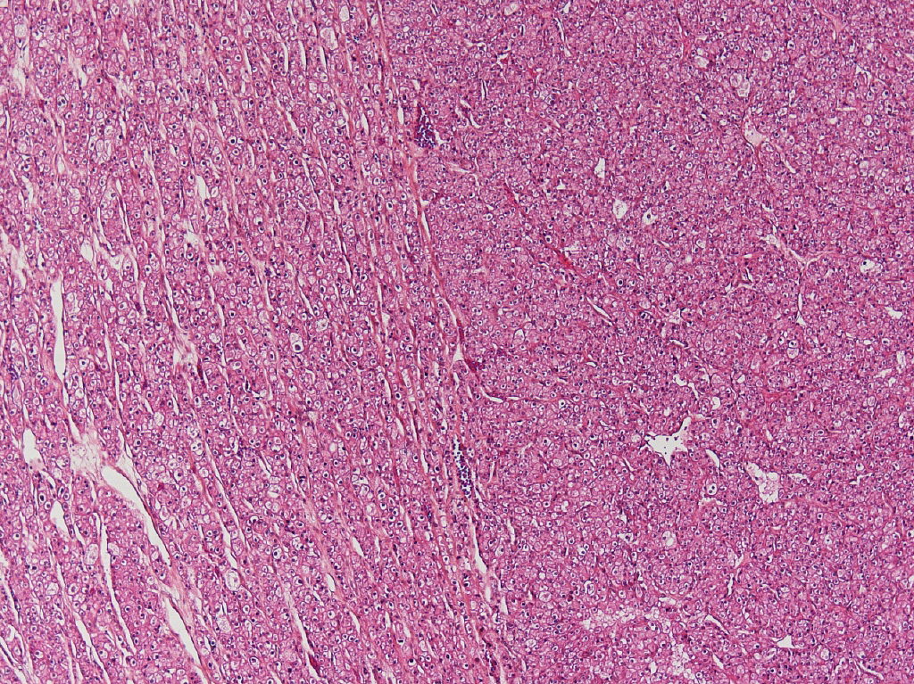
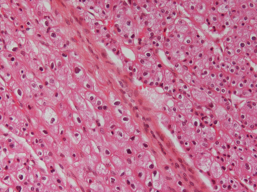
Case description (by case creator):
chromophobe carcinoma with dense architecture
