Case ID: 890

Publication date: 21 Jan, 2016

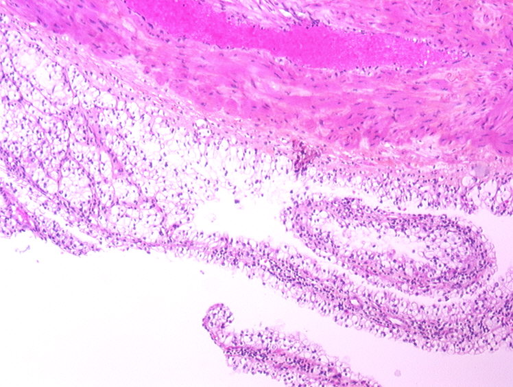
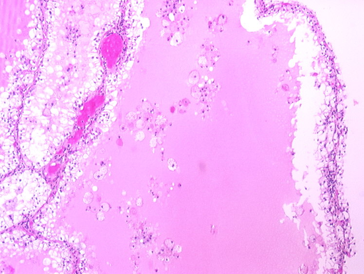
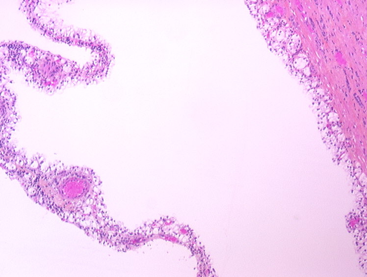
Consensus grade: WHO/ISUP grade 1

User Diagnosis Difficulty Comment
Pathologist 1 WHO/ISUP grade 1 Typical
Pathologist 2 WHO/ISUP grade 1 Typical
Pathologist 3 WHO/ISUP grade 1 Typical
Pathologist 4 WHO/ISUP grade 1 Typical

Need high power

Pathologist 5 WHO/ISUP grade 1 Borderline lower
Pathologist 6 WHO/ISUP grade 1 Typical
Pathologist 7 WHO/ISUP grade 1 Typical
Pathologist 8 WHO/ISUP grade 1 Typical
Pathologist 9 WHO/ISUP grade 2 Borderline lower
Pathologist 10 WHO/ISUP grade 1 Typical
Pathologist 11 WHO/ISUP grade 1 Typical
Pathologist 12 WHO/ISUP grade 1 Typical
Pathologist 13 WHO/ISUP grade 1 Typical

not sure whether grading is of use in these cases

Pathologist 14 WHO/ISUP grade 1 Typical
Pathologist 15 WHO/ISUP grade 1 Typical
Pathologist 16 WHO/ISUP grade 1 Borderline higher
Pathologist 17 WHO/ISUP grade 1 Typical


Case description (by case creator):

multilocular cystic clear cell carcinoma, very typical