Pathology
Imagebase
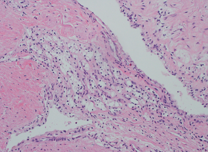
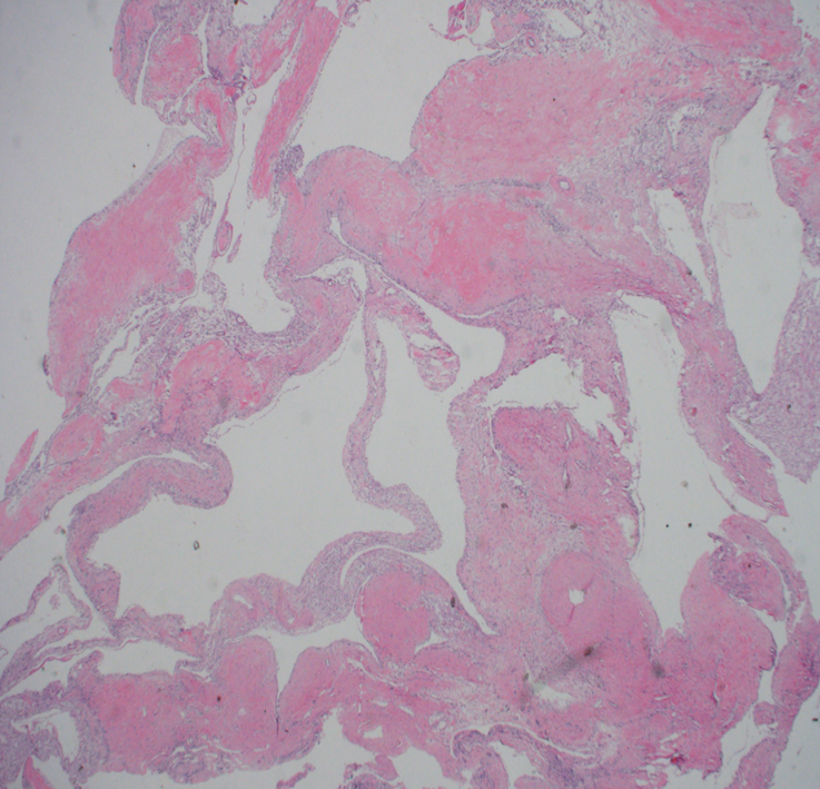
Renal tumor grading
Toggle navigation
FAQ
Cases
<< Back to overview
Case ID: 653
Publication date:
18 Jan, 2016
Enter your grading and compare to the grading of the panel group
- Select -
WHO/ISUP grade 1
WHO/ISUP grade 2
WHO/ISUP grade 3
WHO/ISUP grade 4
I would not grade this tumor
Evaluate