Case ID: 728
Publication date: 18 Jan, 2016
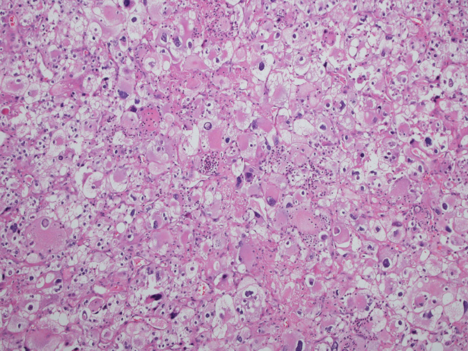
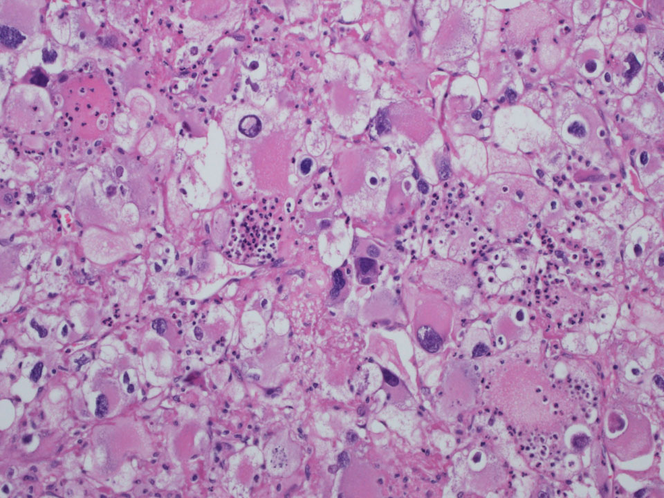
Consensus grade: WHO/ISUP grade 4
Show diagnosis by expert panel members| User | Diagnosis | Difficulty | Comment |
|---|---|---|---|
| Pathologist 1 | WHO/ISUP grade 4 | Typical | |
| Pathologist 2 | WHO/ISUP grade 4 | Typical | |
| Pathologist 3 | I would not grade this tumor | Typical | |
| Pathologist 4 | I would not grade this tumor | Typical | |
| Pathologist 5 | WHO/ISUP grade 4 | Typical |
Rhabdoid area in a clear cell RCC |
| Pathologist 6 | WHO/ISUP grade 4 | Typical |
Rhabdoid cells |
| Pathologist 7 | WHO/ISUP grade 4 | Typical | |
| Pathologist 8 | WHO/ISUP grade 4 | Typical | |
| Pathologist 9 | WHO/ISUP grade 4 | Borderline higher | |
| Pathologist 10 | I would not grade this tumor | Typical | |
| Pathologist 11 | WHO/ISUP grade 4 | Borderline higher | |
| Pathologist 12 | WHO/ISUP grade 4 | Typical |
Would r/o AML |
| Pathologist 13 | WHO/ISUP grade 4 | Typical | |
| Pathologist 14 | WHO/ISUP grade 4 | Typical | |
| Pathologist 15 | WHO/ISUP grade 4 | Typical | |
| Pathologist 16 | WHO/ISUP grade 4 | Typical | |
| Pathologist 17 | WHO/ISUP grade 4 | Typical |
I would not grade this tumor if it is an epithelioid angiomyolipoma |
| Pathologist 18 | I would not grade this tumor | Typical | |
| Pathologist 19 | WHO/ISUP grade 4 | Borderline higher | |
| Pathologist 20 | WHO/ISUP grade 4 | Typical |
Case description (by case creator):
