Case ID: 615
Publication date: 14 Jan, 2016
Consensus grade: I would not grade this tumor
Show diagnosis by expert panel members| User | Diagnosis | Difficulty | Comment |
|---|---|---|---|
| Pathologist 1 | I would not grade this tumor | Typical | |
| Pathologist 2 | I would not grade this tumor | Typical | |
| Pathologist 3 | I would not grade this tumor | Typical | |
| Pathologist 4 | I would not grade this tumor | Typical | |
| Pathologist 5 | I would not grade this tumor | Typical | |
| Pathologist 6 | I would not grade this tumor | Typical | |
| Pathologist 7 | I would not grade this tumor | Typical | |
| Pathologist 8 | WHO/ISUP grade 1 | Typical | |
| Pathologist 9 | I would not grade this tumor | Typical |
oncocytoma |
| Pathologist 10 | I would not grade this tumor | Typical | |
| Pathologist 11 | WHO/ISUP grade 2 | Borderline higher | |
| Pathologist 12 | WHO/ISUP grade 3 | Typical |
R/o oncocytoma |
| Pathologist 13 | I would not grade this tumor | Typical | |
| Pathologist 14 | I would not grade this tumor | Typical | |
| Pathologist 15 | I would not grade this tumor | Typical | |
| Pathologist 16 | I would not grade this tumor | Typical | |
| Pathologist 17 | WHO/ISUP grade 2 | Typical | |
| Pathologist 18 | I would not grade this tumor | Typical | |
| Pathologist 19 | I would not grade this tumor | Typical |
perhaps RO? |
| Pathologist 20 | I would not grade this tumor | Typical |
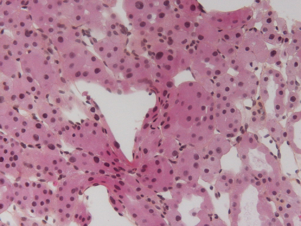
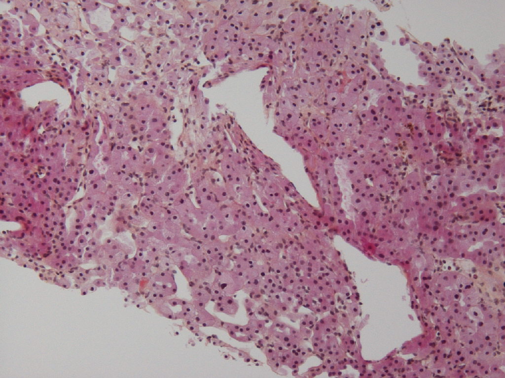
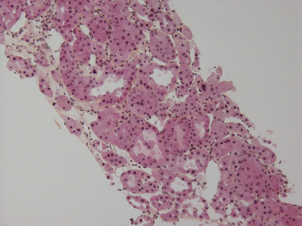
Case description (by case creator):
oncocytoma biopsy
