Case ID: 586
Publication date: 14 Jan, 2016
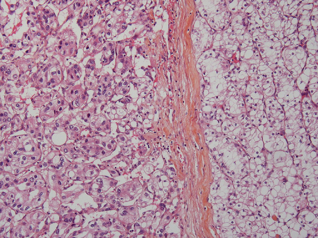
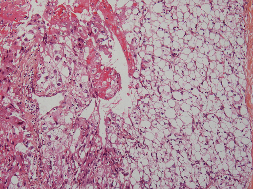
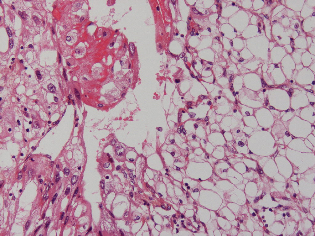
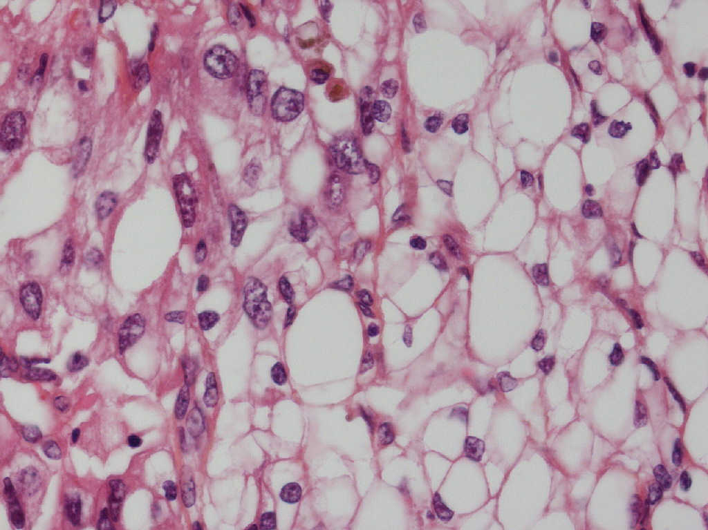
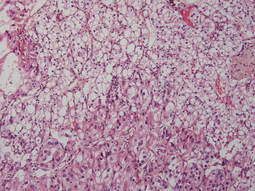
Consensus grade: WHO/ISUP grade 3
Show diagnosis by expert panel members| User | Diagnosis | Difficulty | Comment |
|---|---|---|---|
| Pathologist 1 | WHO/ISUP grade 3 | Typical | |
| Pathologist 2 | WHO/ISUP grade 3 | Borderline higher | |
| Pathologist 3 | WHO/ISUP grade 3 | Typical | |
| Pathologist 4 | WHO/ISUP grade 3 | Typical | |
| Pathologist 5 | WHO/ISUP grade 2 | Typical | |
| Pathologist 6 | WHO/ISUP grade 2 | Typical | |
| Pathologist 7 | WHO/ISUP grade 3 | Typical | |
| Pathologist 8 | WHO/ISUP grade 3 | Borderline higher | |
| Pathologist 9 | WHO/ISUP grade 3 | Borderline higher | |
| Pathologist 10 | WHO/ISUP grade 3 | Borderline higher | |
| Pathologist 11 | WHO/ISUP grade 3 | Typical | |
| Pathologist 12 | WHO/ISUP grade 3 | Typical | |
| Pathologist 13 | WHO/ISUP grade 3 | Typical | |
| Pathologist 14 | WHO/ISUP grade 3 | Typical | |
| Pathologist 15 | WHO/ISUP grade 3 | Typical | |
| Pathologist 16 | WHO/ISUP grade 3 | Typical | |
| Pathologist 17 | WHO/ISUP grade 3 | Typical | |
| Pathologist 18 | WHO/ISUP grade 3 | Borderline higher |
Case description (by case creator):
Clear cell carcinoma with different grades
