Case ID: 550
Publication date: 11 Jan, 2016
Consensus grade: I would not grade this tumor
Show diagnosis by expert panel members| User | Diagnosis | Difficulty | Comment |
|---|---|---|---|
| Pathologist 1 | I would not grade this tumor | Typical | |
| Pathologist 2 | I would not grade this tumor | Typical | |
| Pathologist 3 | I would not grade this tumor | Typical | |
| Pathologist 4 | I would not grade this tumor | Typical | |
| Pathologist 5 | I would not grade this tumor | Typical | |
| Pathologist 6 | I would not grade this tumor | Typical | |
| Pathologist 7 | I would not grade this tumor | Typical |
AMLEC |
| Pathologist 8 | I would not grade this tumor | Typical | |
| Pathologist 9 | I would not grade this tumor | Typical | |
| Pathologist 10 | I would not grade this tumor | Typical | |
| Pathologist 11 | I would not grade this tumor | Typical | |
| Pathologist 12 | I would not grade this tumor | Typical | |
| Pathologist 13 | I would not grade this tumor | Typical | |
| Pathologist 14 | I would not grade this tumor | Typical | |
| Pathologist 15 | I would not grade this tumor | Typical |
AML with epith cyst |
| Pathologist 16 | I would not grade this tumor | Typical |
AML |
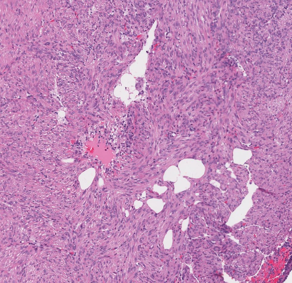
Case description (by case creator):
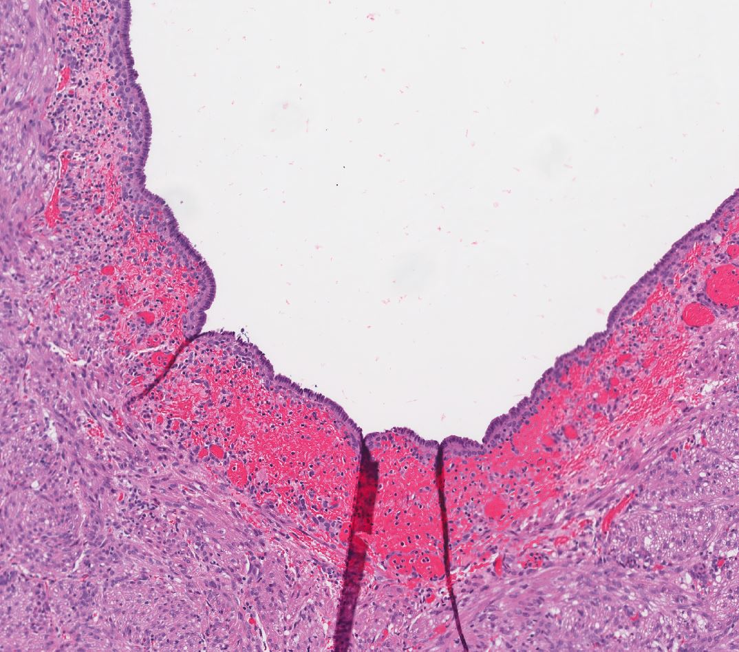
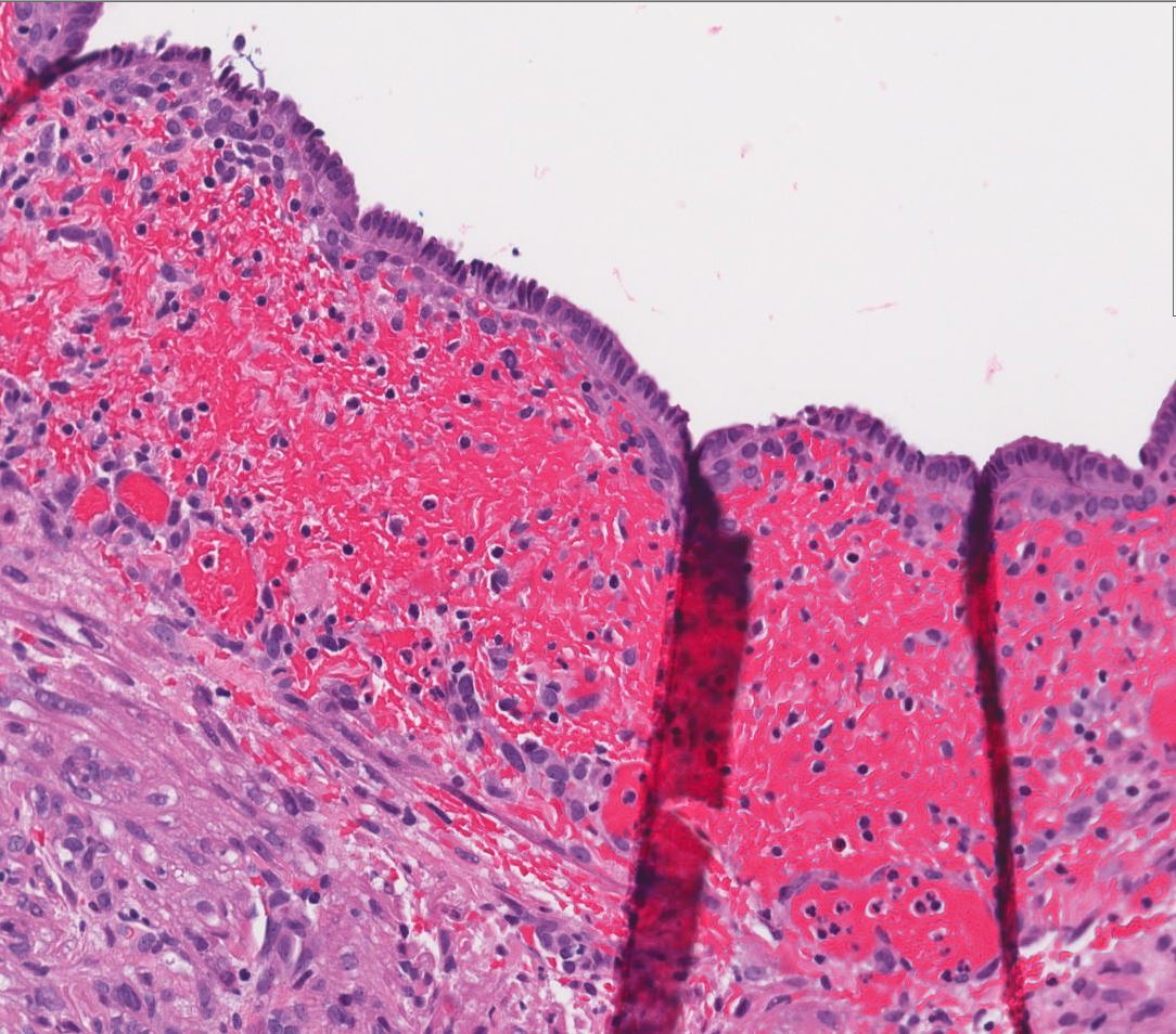
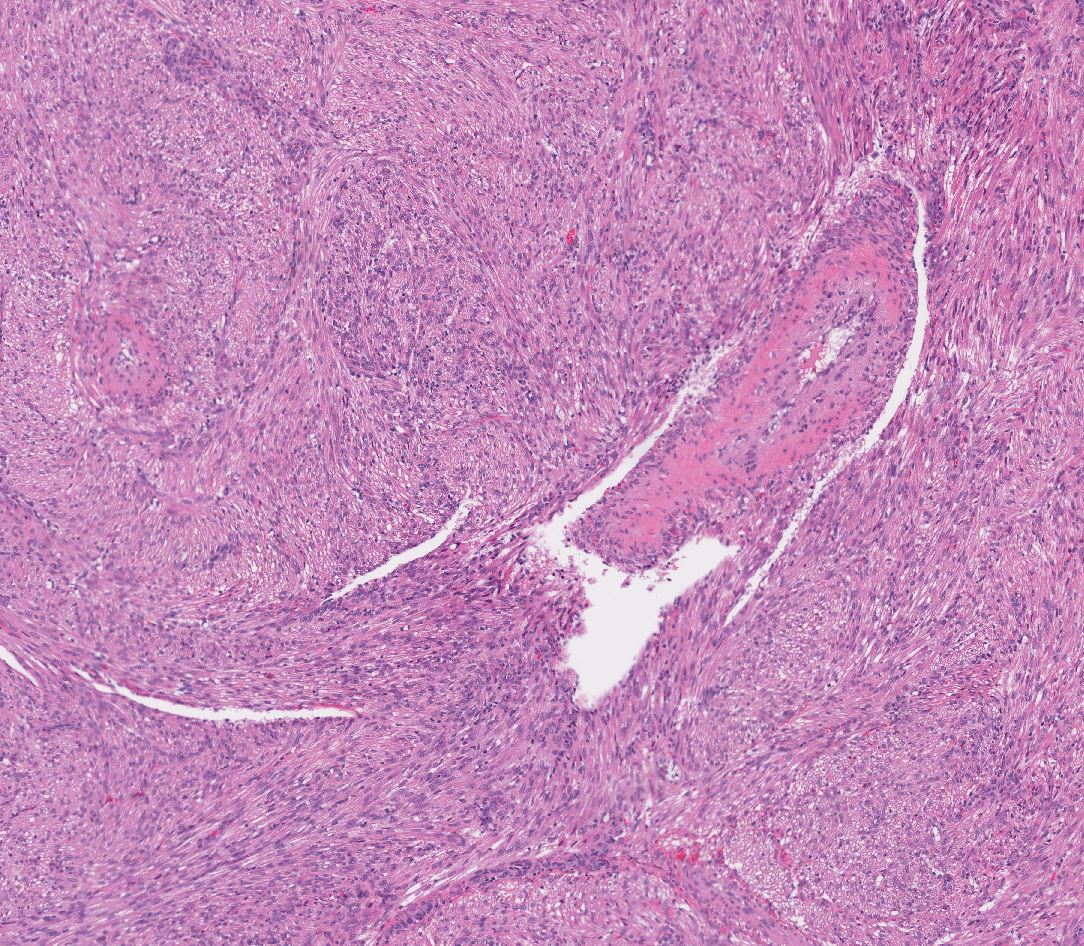
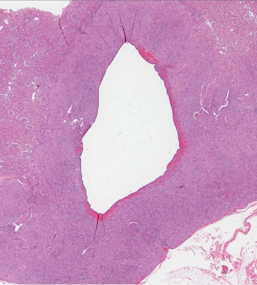
Renal angiomyolipoma with epithelial cyst (AMLEC). The spindle cells surrounding the central cyst are positive for HMB45 and Melan A. The lesion also contains scattered, thick-walled blood vessels and microscopic areas of admixed fat. The central cyst is lined by a single layer of bland cuboidal/hobnail epithelial cells.
