Case ID: 498
Publication date: 08 Jan, 2016
Consensus grade: I would not grade this tumor
Show diagnosis by expert panel members| User | Diagnosis | Difficulty | Comment |
|---|---|---|---|
| Pathologist 1 | I would not grade this tumor | Borderline higher | |
| Pathologist 2 | I would not grade this tumor | Borderline higher | |
| Pathologist 3 | I would not grade this tumor | Typical | |
| Pathologist 4 | I would not grade this tumor | Typical | |
| Pathologist 5 | I would not grade this tumor | Typical | |
| Pathologist 6 | I would not grade this tumor | Typical | |
| Pathologist 7 | I would not grade this tumor | Typical | |
| Pathologist 8 | I would not grade this tumor | Borderline higher |
oncocytoma? |
| Pathologist 9 | I would not grade this tumor | Typical | |
| Pathologist 10 | I would not grade this tumor | Borderline higher | |
| Pathologist 11 | I would not grade this tumor | Typical | |
| Pathologist 12 | I would not grade this tumor | Typical | |
| Pathologist 13 | I would not grade this tumor | Typical | |
| Pathologist 14 | I would not grade this tumor | Typical | |
| Pathologist 15 | I would not grade this tumor | Typical | |
| Pathologist 16 | I would not grade this tumor | Typical | |
| Pathologist 17 | WHO/ISUP grade 2 | Borderline higher |
not sure what this tumor is |
Case description (by case creator):
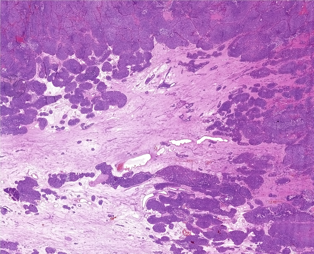
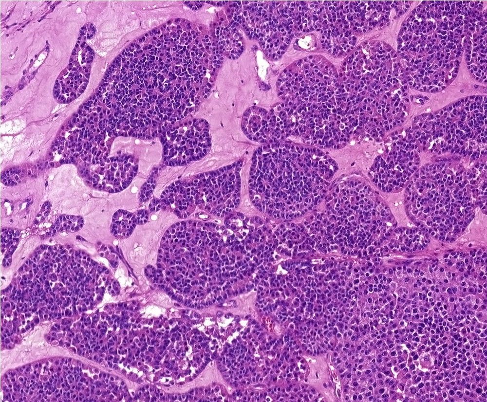
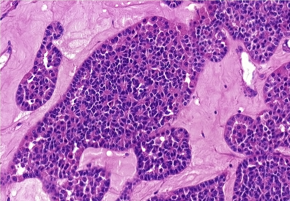
Kidney tumor, 65-year-old female. Tumor located in pole, size 6 x 5.5 x 6.7 cm, yellow color.
Tumor is solid, solid-alveolar with abundant stroma. Cells are relative small with oncocytic scant cytoplasm and irregular nuclei. Islet of cells are surounded by distinct basal membrane. Pseudorosettes are present focally.
Dg: Renal oncocytoma-small cell variant with pseudorosettes
