Pathology
Imagebase
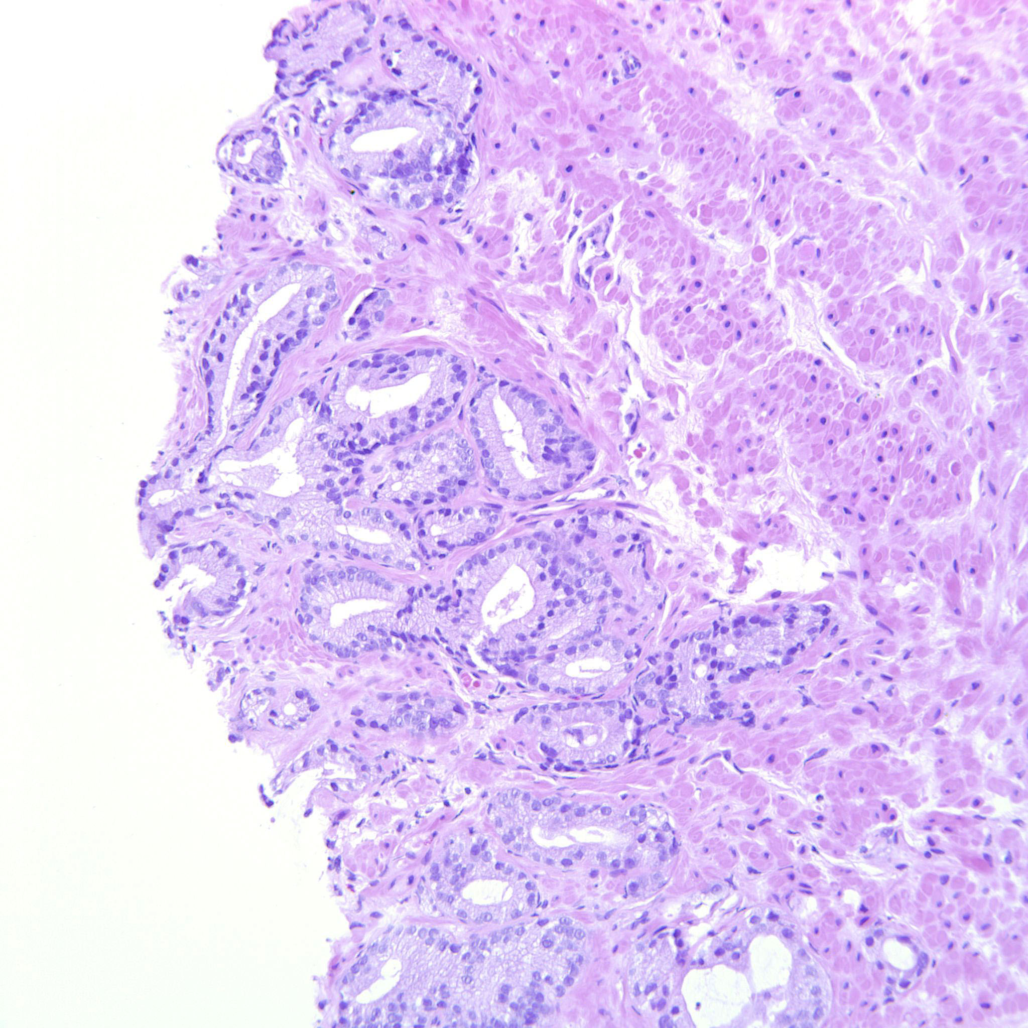
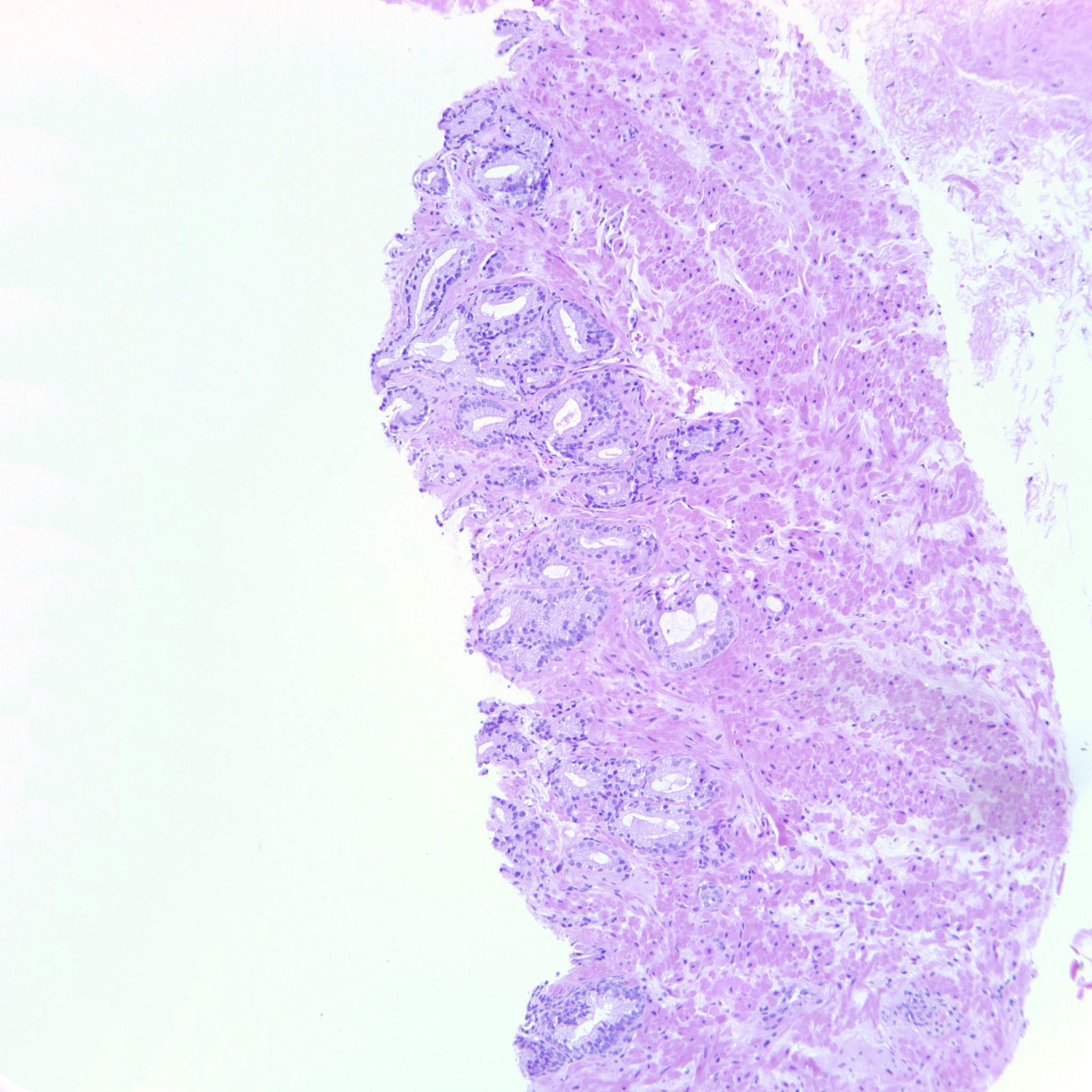
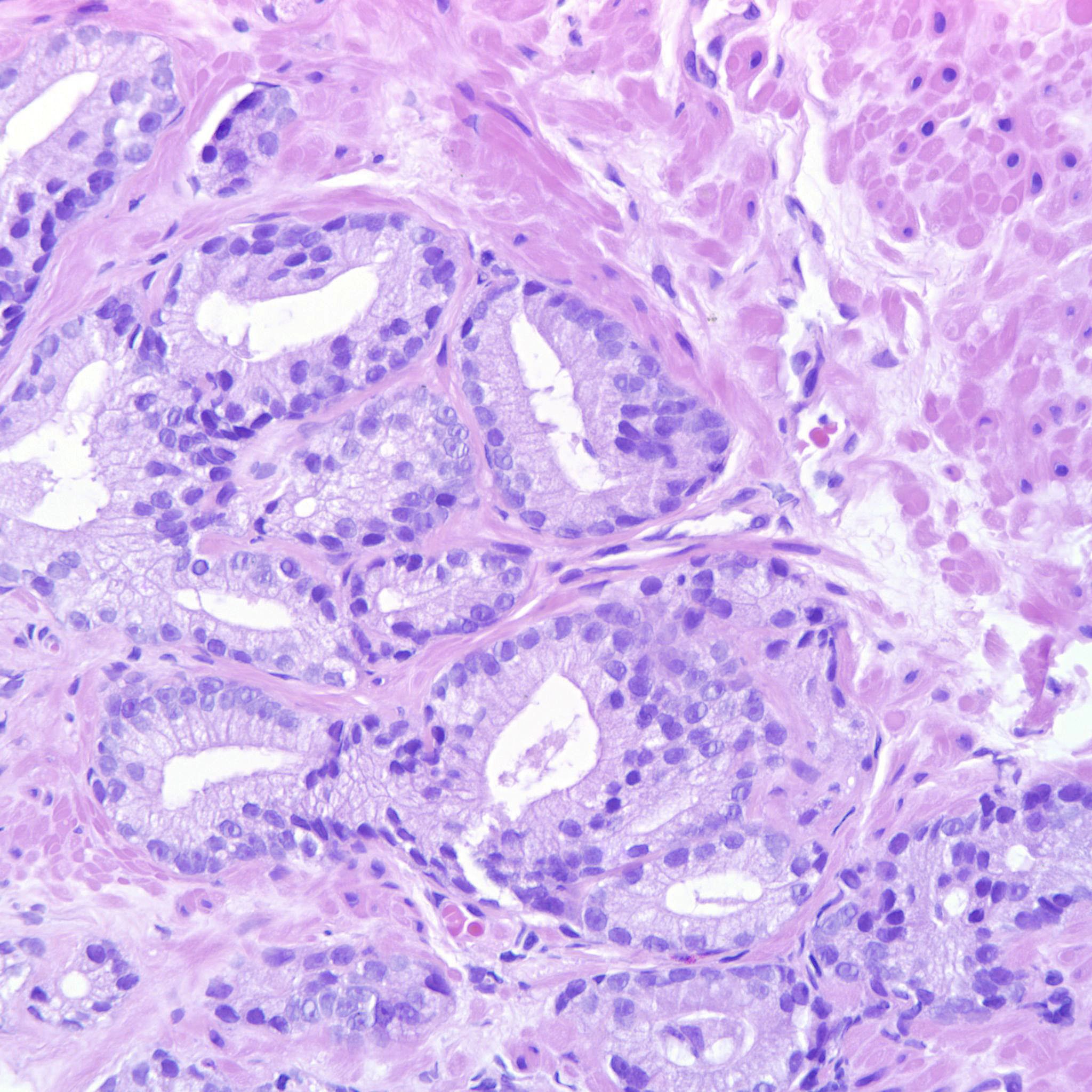
Prostate cancer grading
Toggle navigation
Cases
FAQ
About
<< Back to overview
Case ID: 704
Publication date:
27 Aug, 2015
Enter your grading and compare to the grading of the panel group
- Select -
GS 3+3=6 (ISUP 1)
GS 3+4=7 (ISUP 2)
GS 4+3=7 (ISUP 3)
GS 4+4=8 (ISUP 4)
GS 9-10 (ISUP 5)
Other
Evaluate