Case ID: 664
Publication date: 27 Aug, 2015
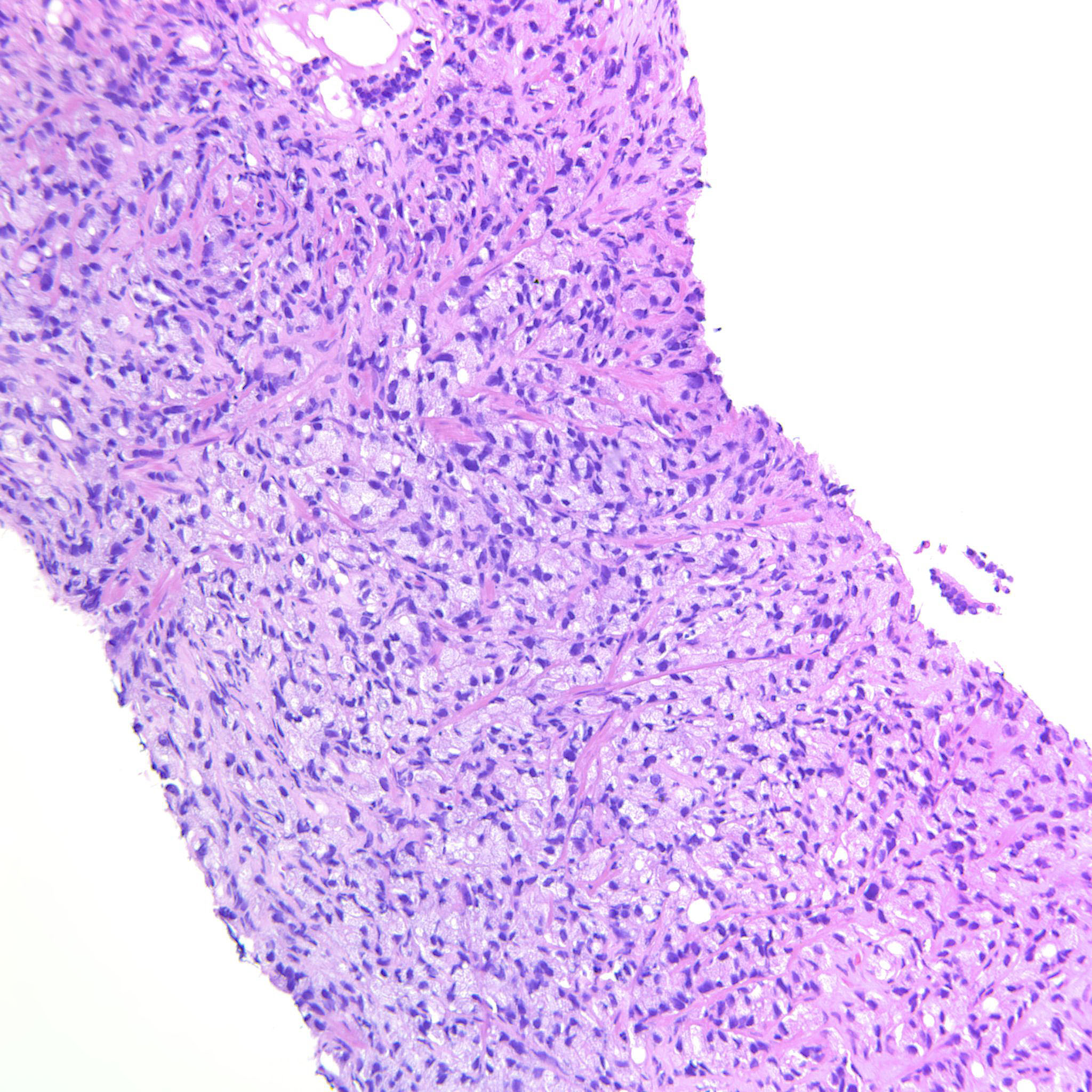
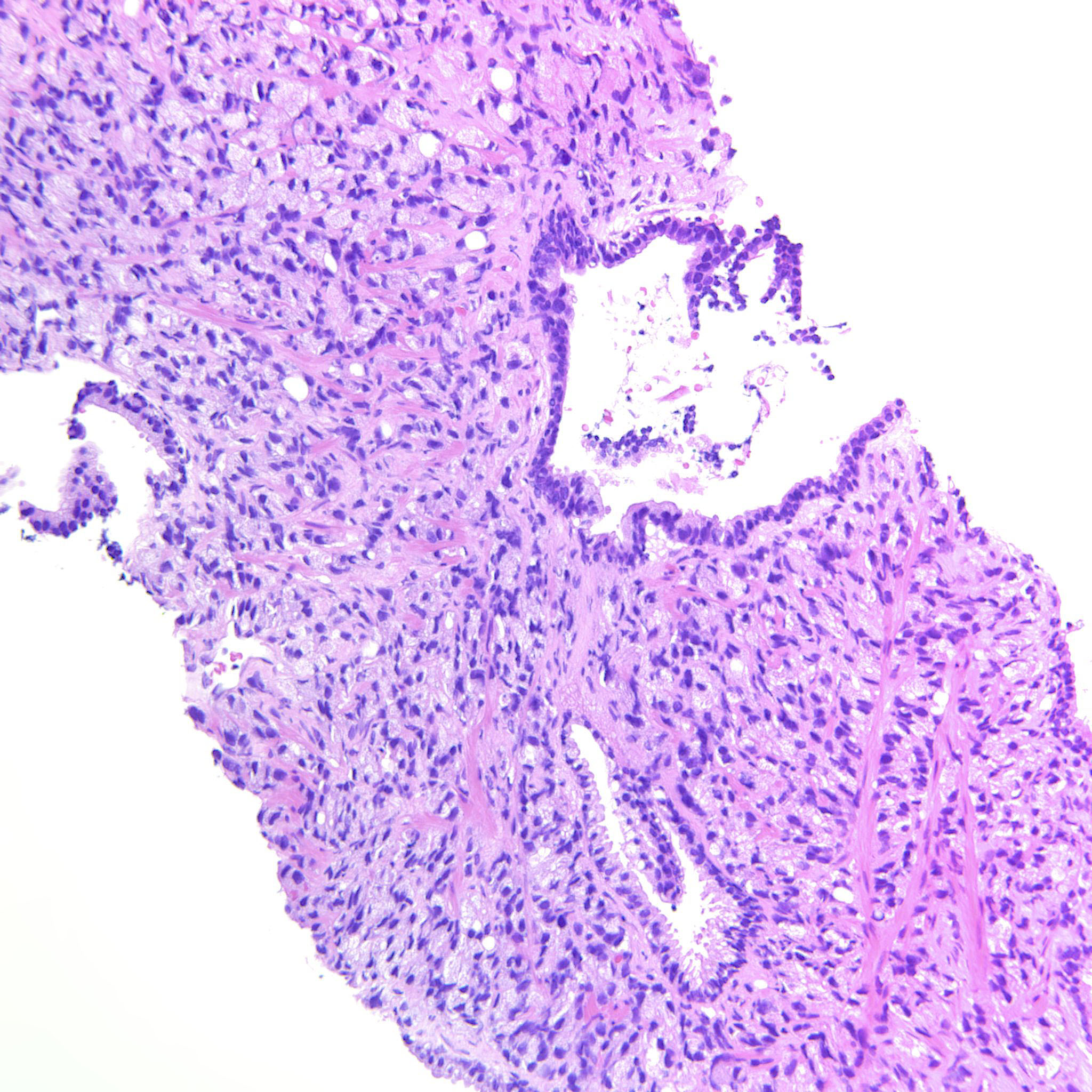
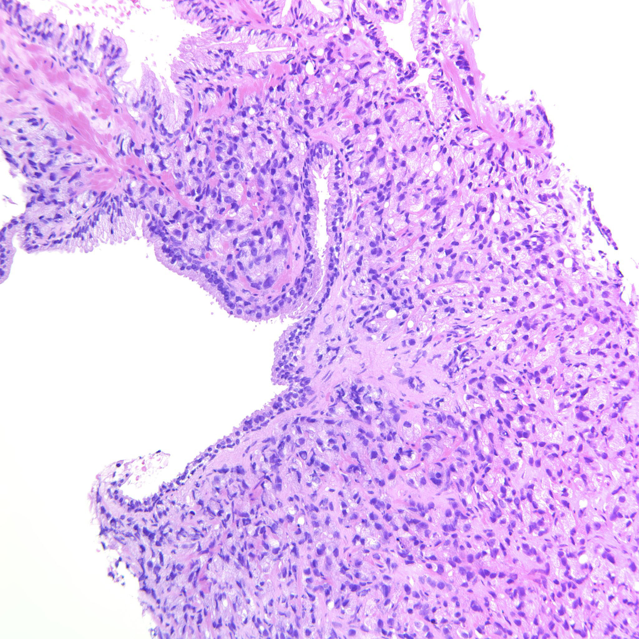
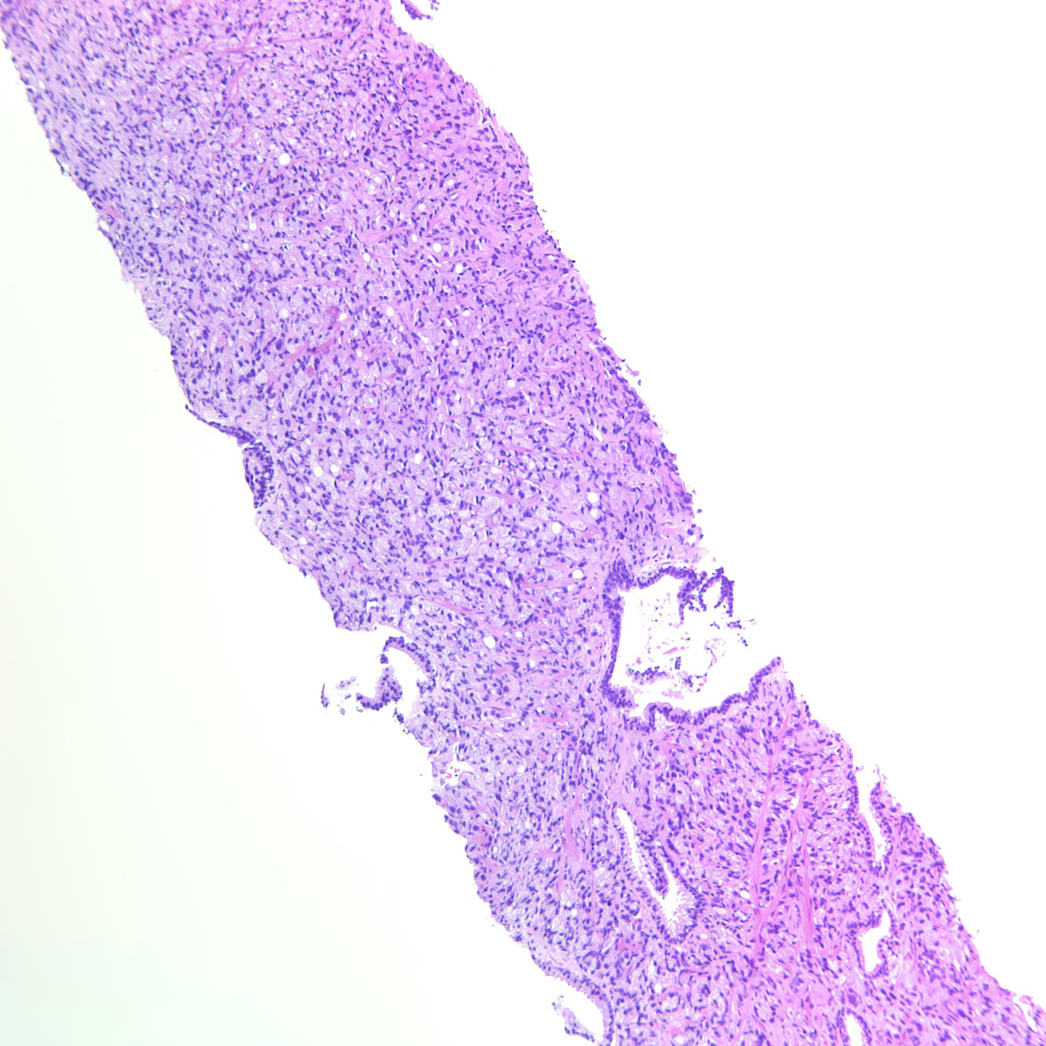
Consensus grade: GS 9-10 (ISUP 5)
Show diagnosis by expert panel members| User | Diagnosis | Difficulty | Comment |
|---|---|---|---|
| Pathologist 1 | GS 9-10 (ISUP 5) | Typical | |
| Pathologist 2 | GS 9-10 (ISUP 5) | Borderline lower | |
| Pathologist 3 | GS 9-10 (ISUP 5) | Typical |
5+4 |
| Pathologist 4 | GS 9-10 (ISUP 5) | Typical | |
| Pathologist 5 | GS 9-10 (ISUP 5) | Typical | |
| Pathologist 6 | GS 9-10 (ISUP 5) | Typical | |
| Pathologist 7 | GS 4+4=8 (ISUP 4) | Typical | |
| Pathologist 8 | GS 4+4=8 (ISUP 4) | Borderline higher |
still recognizable as adenocarcinoma |
| Pathologist 9 | GS 9-10 (ISUP 5) | Typical | |
| Pathologist 10 | GS 9-10 (ISUP 5) | Typical | |
| Pathologist 11 | GS 9-10 (ISUP 5) | Borderline higher |
GS 4+5=9 (90% pattern 4). Also some low volume grade 3 in last image. |
| Pathologist 12 | GS 9-10 (ISUP 5) | Typical | |
| Pathologist 13 | GS 9-10 (ISUP 5) | Typical | |
| Pathologist 14 | GS 4+3=7 (ISUP 3) | Borderline lower | |
| Pathologist 15 | GS 9-10 (ISUP 5) | Typical | |
| Pathologist 16 | GS 9-10 (ISUP 5) | Typical | |
| Pathologist 17 | GS 9-10 (ISUP 5) | Typical | |
| Pathologist 18 | GS 9-10 (ISUP 5) | Typical | |
| Pathologist 19 | GS 9-10 (ISUP 5) | Typical |
confluent and sheet like |
| Pathologist 20 | GS 9-10 (ISUP 5) | Typical | |
| Pathologist 21 | GS 9-10 (ISUP 5) | Typical | |
| Pathologist 22 | GS 9-10 (ISUP 5) | Typical | |
| Pathologist 23 | GS 9-10 (ISUP 5) | Typical |
Case description (by case creator):
Large sheets of fused glands but also sheets of tightly packed pale single cells.
