Case ID: 613
Publication date: 27 Aug, 2015
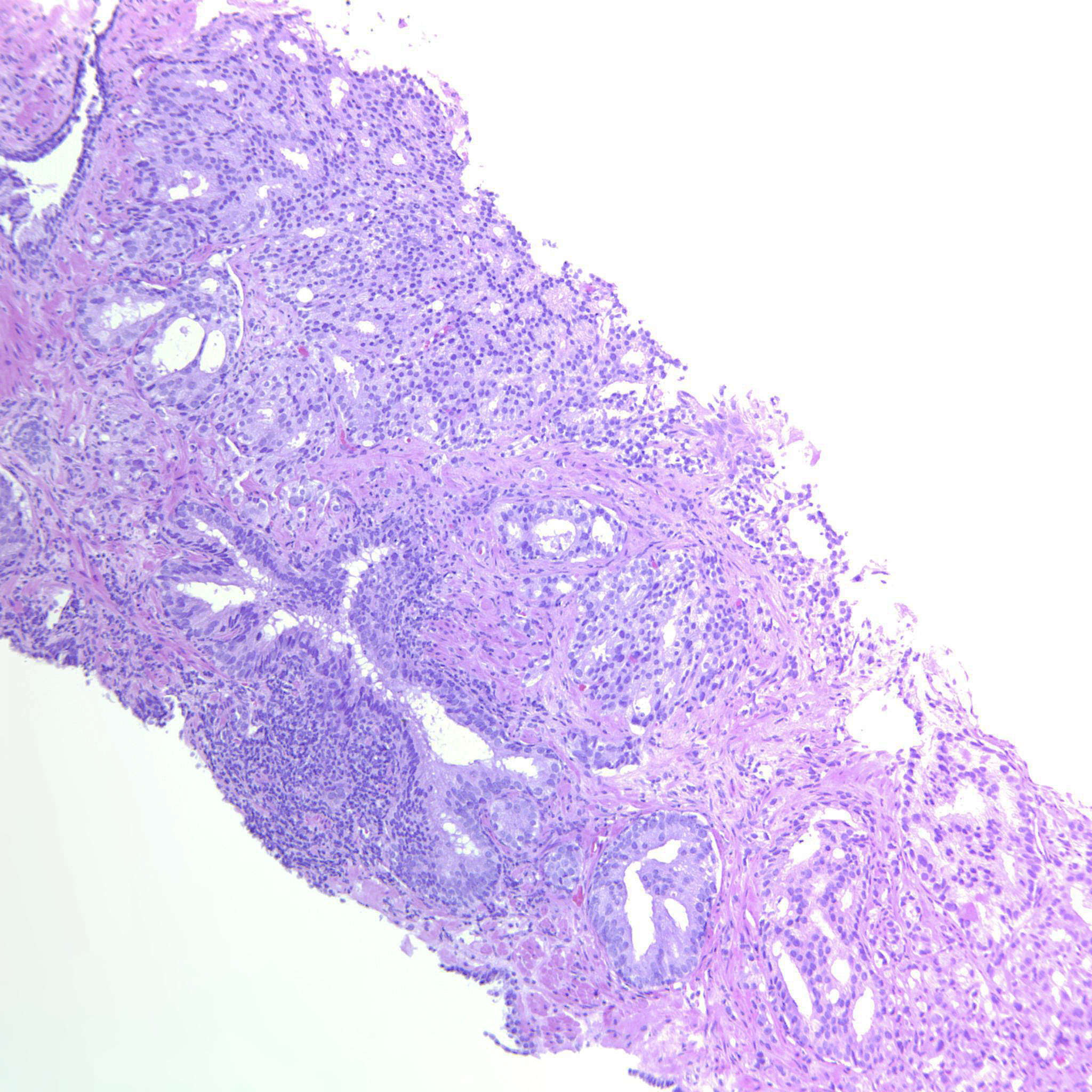
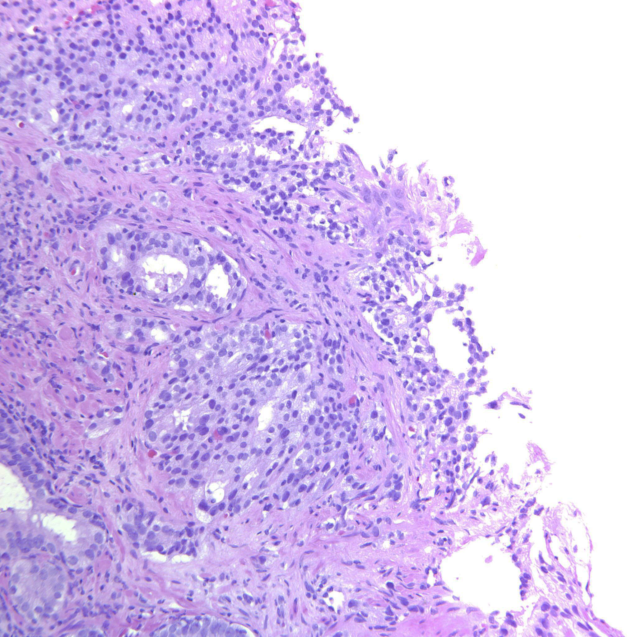
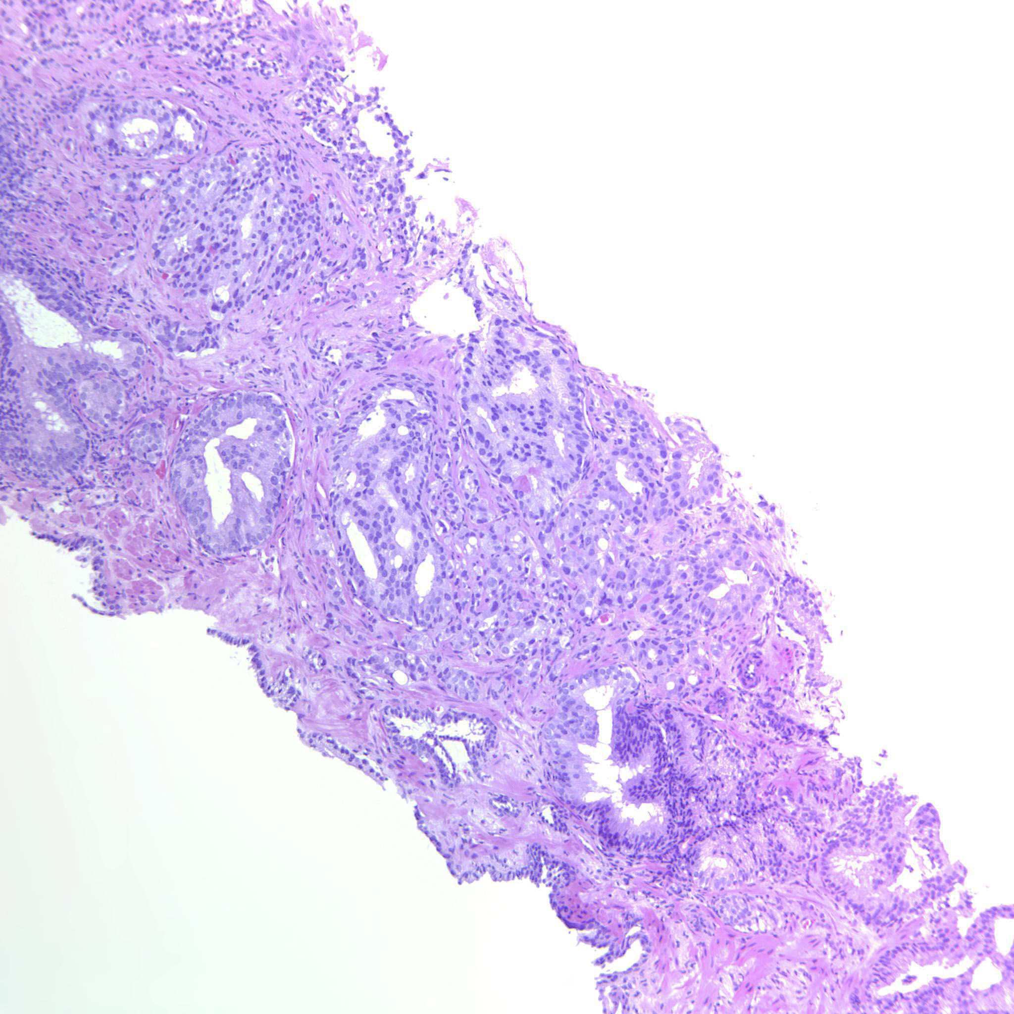
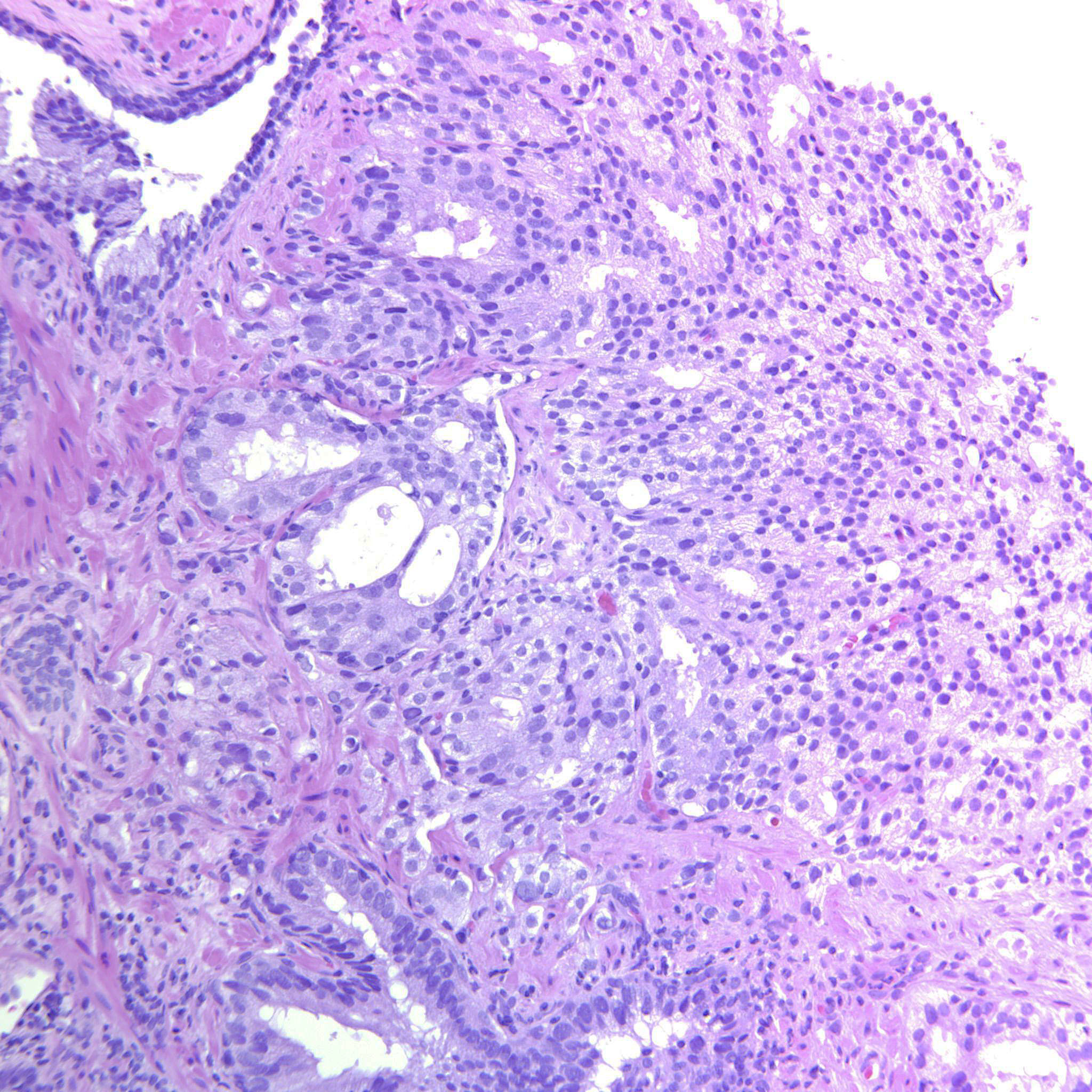
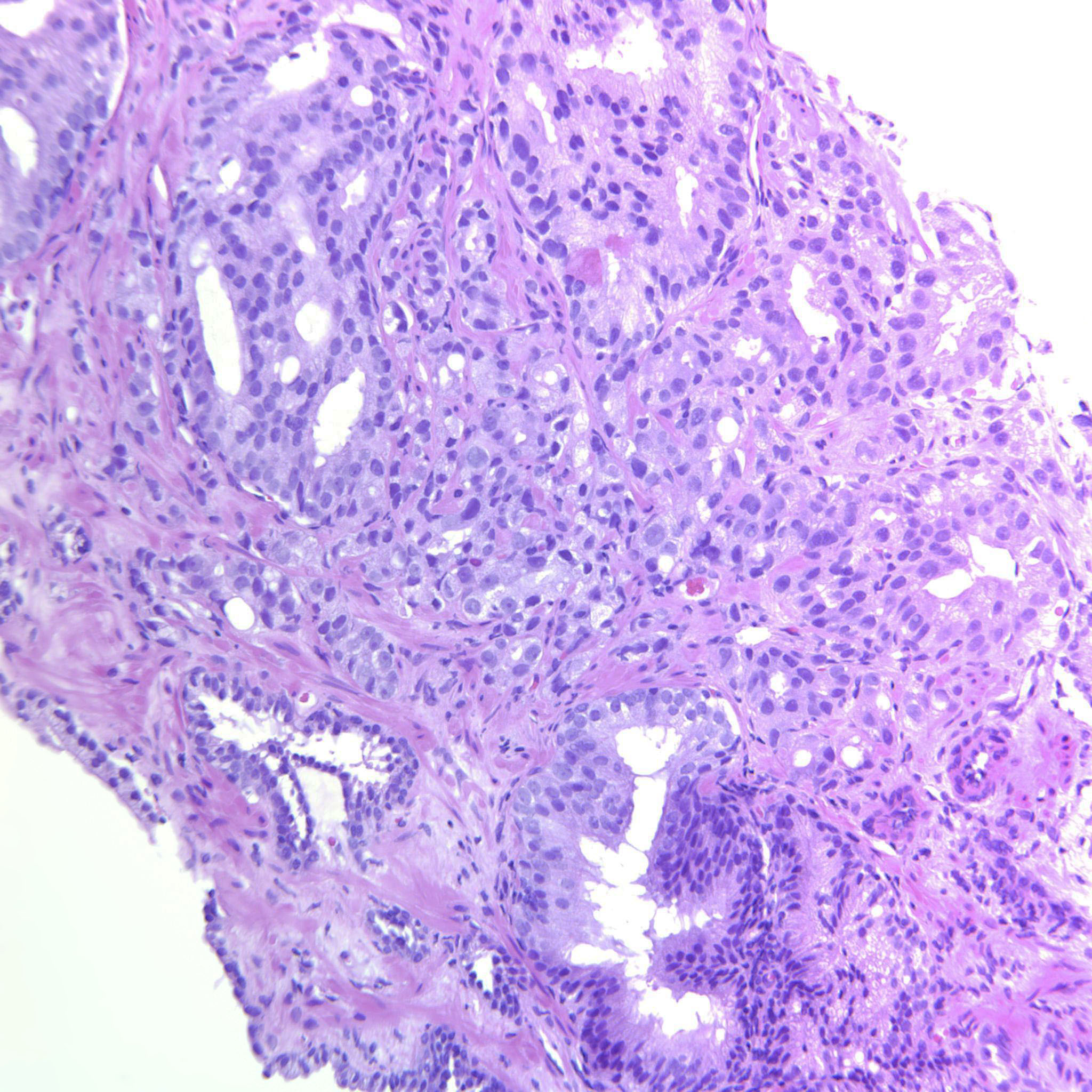
Consensus grade: GS 4+4=8 (ISUP 4)
Show diagnosis by expert panel members| User | Diagnosis | Difficulty | Comment |
|---|---|---|---|
| Pathologist 1 | GS 4+4=8 (ISUP 4) | Typical |
Plus IDC |
| Pathologist 2 | GS 4+4=8 (ISUP 4) | Typical | |
| Pathologist 3 | GS 4+4=8 (ISUP 4) | Typical | |
| Pathologist 4 | GS 4+4=8 (ISUP 4) | Borderline lower | |
| Pathologist 5 | GS 4+4=8 (ISUP 4) | Typical | |
| Pathologist 6 | GS 9-10 (ISUP 5) | Borderline higher |
4+5=9. Single cells. |
| Pathologist 7 | GS 4+4=8 (ISUP 4) | Borderline lower |
Very minor pattern 3 which I have ignored. |
| Pathologist 8 | GS 4+4=8 (ISUP 4) | Typical | |
| Pathologist 9 | GS 4+4=8 (ISUP 4) | Borderline higher | |
| Pathologist 10 | GS 4+4=8 (ISUP 4) | Typical |
fused, large cribriform glands |
| Pathologist 11 | GS 4+4=8 (ISUP 4) | Typical | |
| Pathologist 12 | GS 4+4=8 (ISUP 4) | Typical | |
| Pathologist 13 | GS 4+4=8 (ISUP 4) | Typical |
No definite pattern 5 (although a few foci are close) |
| Pathologist 14 | GS 4+3=7 (ISUP 3) | Typical | |
| Pathologist 15 | GS 4+4=8 (ISUP 4) | Typical | |
| Pathologist 16 | GS 4+4=8 (ISUP 4) | Typical | |
| Pathologist 17 | GS 4+4=8 (ISUP 4) | Typical | |
| Pathologist 18 | GS 4+4=8 (ISUP 4) | Typical | |
| Pathologist 19 | GS 4+4=8 (ISUP 4) | Typical | |
| Pathologist 20 | GS 4+4=8 (ISUP 4) | Typical |
looks quite typical (at least I hope so) |
| Pathologist 21 | GS 4+4=8 (ISUP 4) | Typical | |
| Pathologist 22 | GS 4+4=8 (ISUP 4) | Typical | |
| Pathologist 23 | GS 4+4=8 (ISUP 4) | Borderline higher |
Case description (by case creator):
Large cribriform sheets and also tightly packed poorly formed glands. Some seem to be solid nests or single cells but not convincing for GP5.
