Case ID: 605
Publication date: 27 Aug, 2015
Consensus grade: GS 4+3=7 (ISUP 3)
Show diagnosis by expert panel members| User | Diagnosis | Difficulty | Comment |
|---|---|---|---|
| Pathologist 1 | GS 4+3=7 (ISUP 3) | Typical | |
| Pathologist 2 | GS 4+3=7 (ISUP 3) | Typical | |
| Pathologist 3 | GS 4+4=8 (ISUP 4) | Typical |
Less than 5% G3. |
| Pathologist 4 | GS 4+3=7 (ISUP 3) | Typical | |
| Pathologist 5 | GS 4+4=8 (ISUP 4) | Borderline lower | |
| Pathologist 6 | GS 4+3=7 (ISUP 3) | Borderline lower |
Difficult to assume amounts of 3 and 4 by images |
| Pathologist 7 | GS 4+3=7 (ISUP 3) | Typical | |
| Pathologist 8 | GS 4+3=7 (ISUP 3) | Typical |
Primarily cribriform |
| Pathologist 9 | GS 4+3=7 (ISUP 3) | Borderline higher | |
| Pathologist 10 | GS 4+4=8 (ISUP 4) | Typical | |
| Pathologist 11 | GS 4+4=8 (ISUP 4) | Typical | |
| Pathologist 12 | GS 4+3=7 (ISUP 3) | Typical |
mostly large cribriform glands, a few discrete glands |
| Pathologist 13 | GS 9-10 (ISUP 5) | Borderline lower |
Would like to see at least 3 levels for this biopsy to confirm/exclude presence of pattern 5 |
| Pathologist 14 | GS 4+4=8 (ISUP 4) | Typical |
Ductal |
| Pathologist 15 | GS 4+3=7 (ISUP 3) | Typical |
90-95% pattern 4. |
| Pathologist 16 | GS 4+4=8 (ISUP 4) | Typical | |
| Pathologist 17 | GS 4+3=7 (ISUP 3) | Typical | |
| Pathologist 18 | GS 9-10 (ISUP 5) | Borderline higher | |
| Pathologist 19 | GS 4+3=7 (ISUP 3) | Borderline higher | |
| Pathologist 20 | GS 4+3=7 (ISUP 3) | Typical | |
| Pathologist 21 | GS 4+3=7 (ISUP 3) | Borderline lower |
Some of cribriform may be intraductal |
| Pathologist 22 | GS 4+3=7 (ISUP 3) | Borderline lower |
quite convinced that this patient should be treated like a 8, but there are too many 3 elements. Would make a comment on the stroma, scleroti stroma in my experience bad prognostic fator |
| Pathologist 23 | GS 4+3=7 (ISUP 3) | Typical | |
| Pathologist 24 | GS 4+4=8 (ISUP 4) | Typical | |
| Pathologist 25 | GS 4+3=7 (ISUP 3) | Typical |
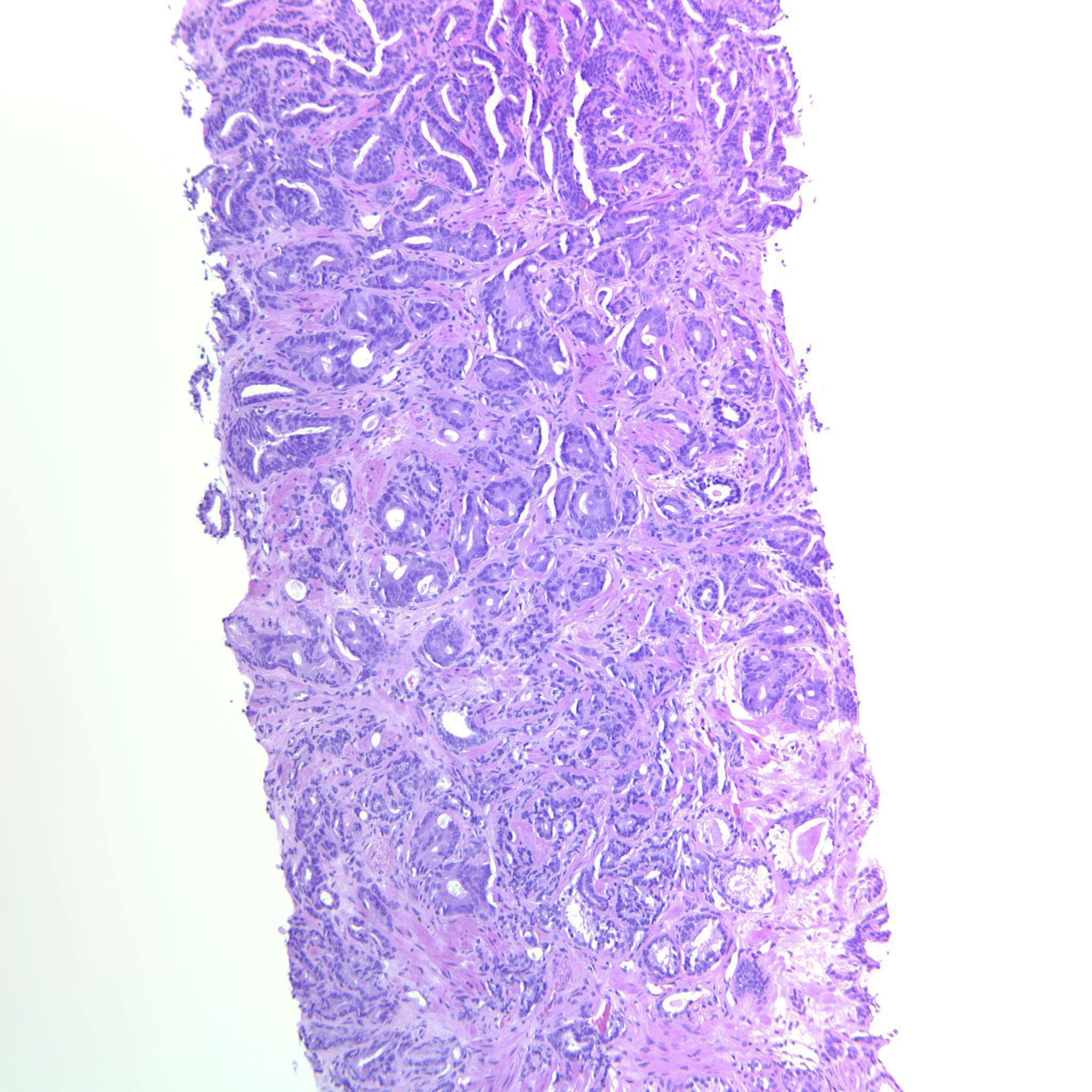
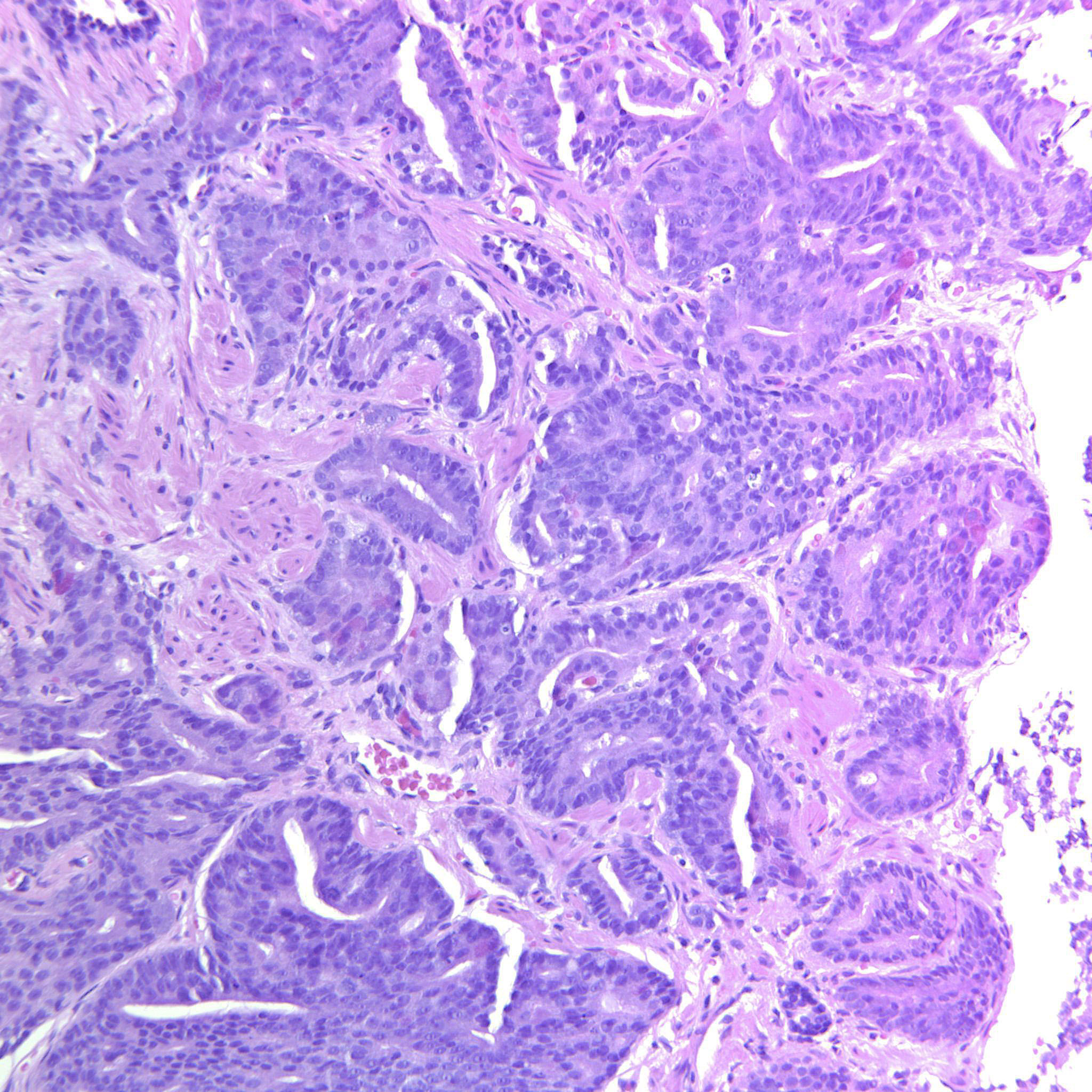
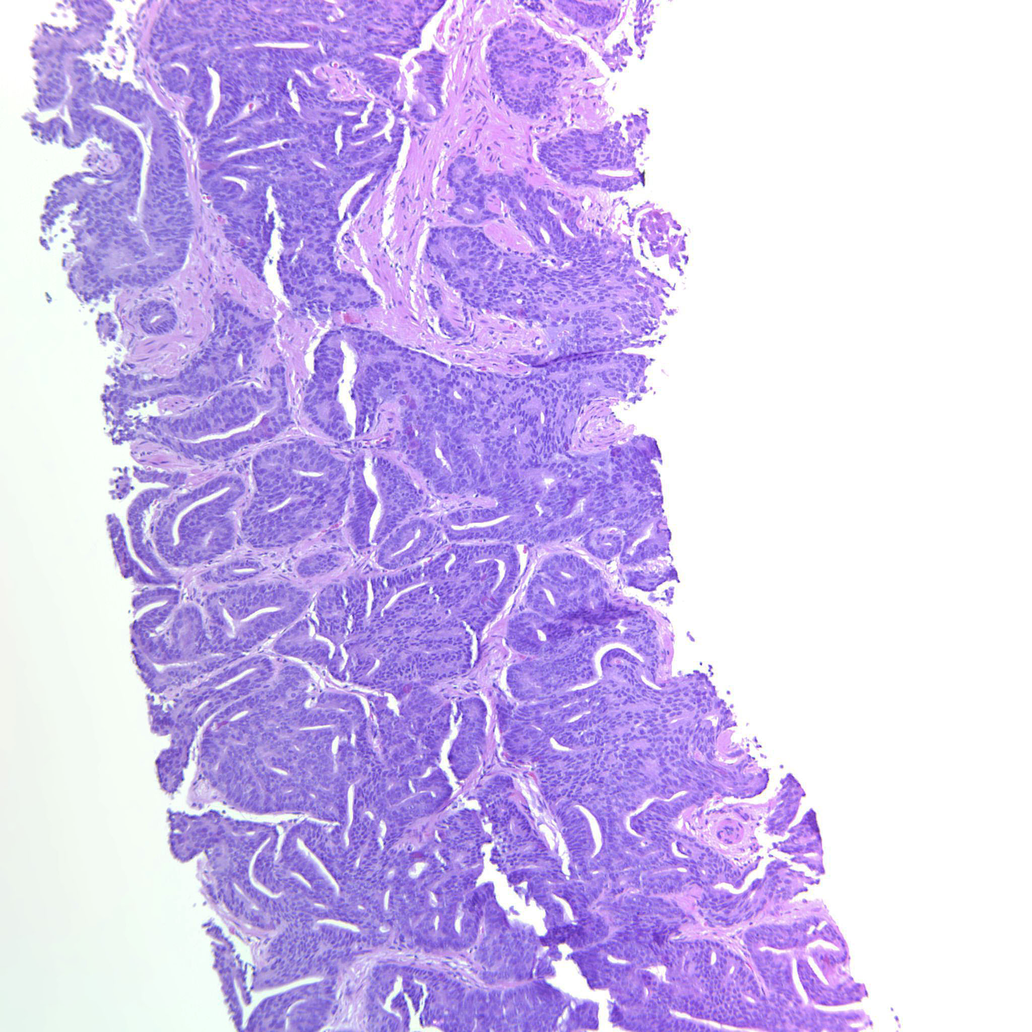
Case description (by case creator):
Areas with cribriform GP4 and other areas with poorly formed glands mixed with well-formed glands. There are also some seemingly solid strips of epithelium but these may possibly be tangential cuts.
