Case ID: 578
Publication date: 27 Aug, 2015
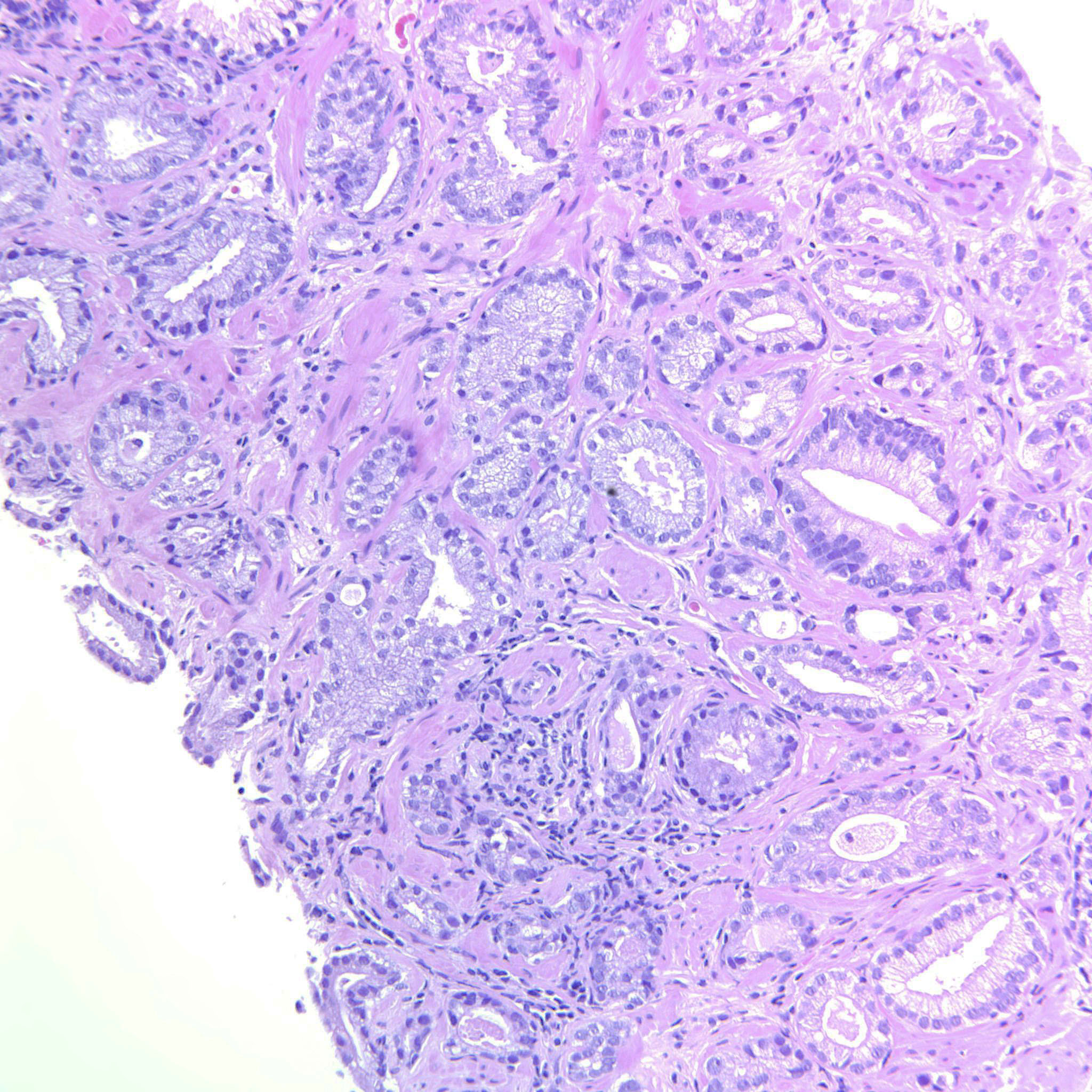
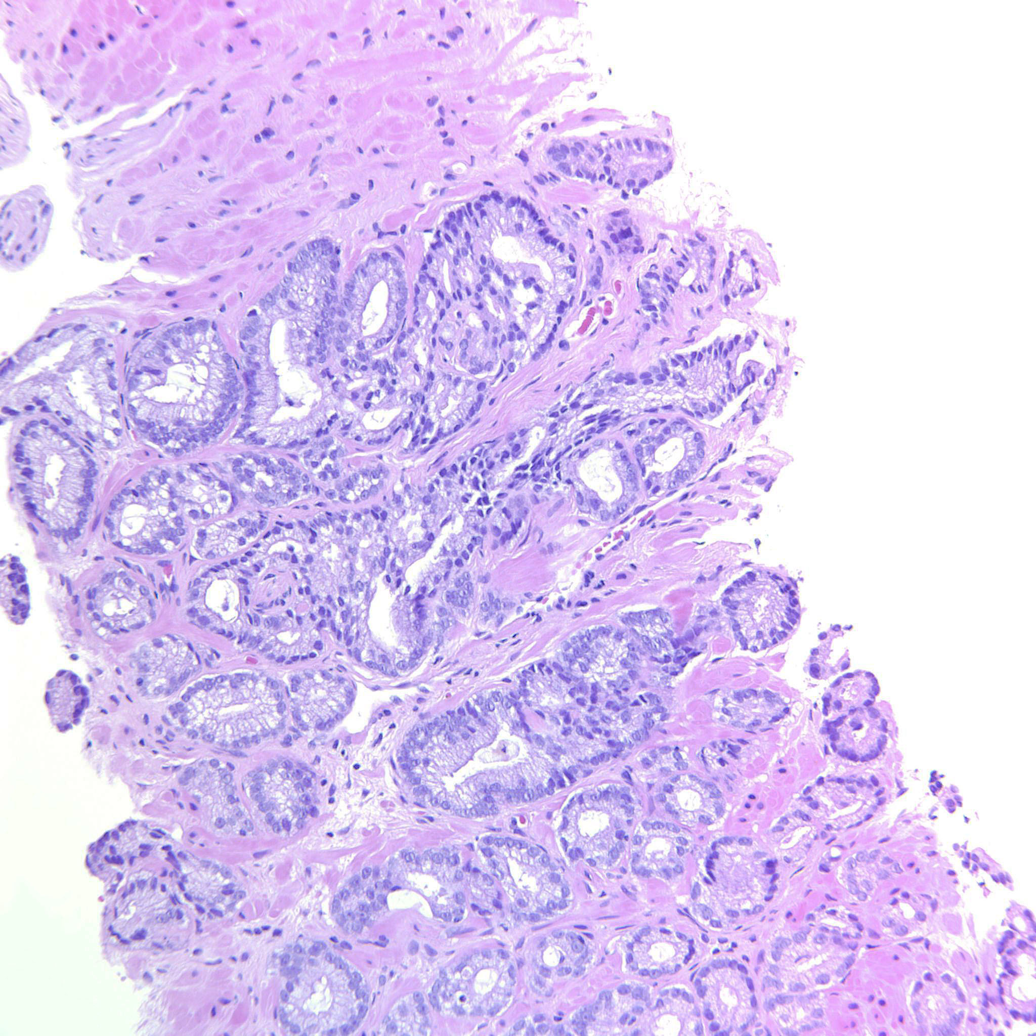
Consensus grade: GS 3+4=7 (ISUP 2)
Show diagnosis by expert panel members| User | Diagnosis | Difficulty | Comment |
|---|---|---|---|
| Pathologist 1 | GS 3+4=7 (ISUP 2) | Typical | |
| Pathologist 2 | GS 3+4=7 (ISUP 2) | Borderline lower | |
| Pathologist 3 | GS 3+4=7 (ISUP 2) | Borderline higher | |
| Pathologist 4 | GS 3+4=7 (ISUP 2) | Typical | |
| Pathologist 5 | GS 3+4=7 (ISUP 2) | Typical | |
| Pathologist 6 | GS 3+4=7 (ISUP 2) | Borderline lower | |
| Pathologist 7 | GS 3+4=7 (ISUP 2) | Typical | |
| Pathologist 8 | GS 3+4=7 (ISUP 2) | Typical | |
| Pathologist 9 | GS 3+4=7 (ISUP 2) | Typical | |
| Pathologist 10 | GS 3+4=7 (ISUP 2) | Borderline higher |
mostly G3 with little G4 |
| Pathologist 11 | GS 3+4=7 (ISUP 2) | Typical | |
| Pathologist 12 | GS 3+4=7 (ISUP 2) | Typical | |
| Pathologist 13 | GS 3+4=7 (ISUP 2) | Typical | |
| Pathologist 14 | GS 3+4=7 (ISUP 2) | Typical |
10-20% pattern 4 |
| Pathologist 15 | GS 3+4=7 (ISUP 2) | Typical | |
| Pathologist 16 | GS 3+4=7 (ISUP 2) | Typical | |
| Pathologist 17 | GS 3+4=7 (ISUP 2) | Borderline higher | |
| Pathologist 18 | GS 3+4=7 (ISUP 2) | Typical | |
| Pathologist 19 | GS 3+4=7 (ISUP 2) | Typical | |
| Pathologist 20 | GS 3+4=7 (ISUP 2) | Typical |
3+3 should have less atypia, quite a lot of ill formed galnds |
| Pathologist 21 | GS 3+4=7 (ISUP 2) | Typical | |
| Pathologist 22 | GS 3+4=7 (ISUP 2) | Typical | |
| Pathologist 23 | GS 3+4=7 (ISUP 2) | Typical |
Case description (by case creator):
Scattered poorly formed glands throughout the material.
