Case ID: 559
Publication date: 27 Aug, 2015
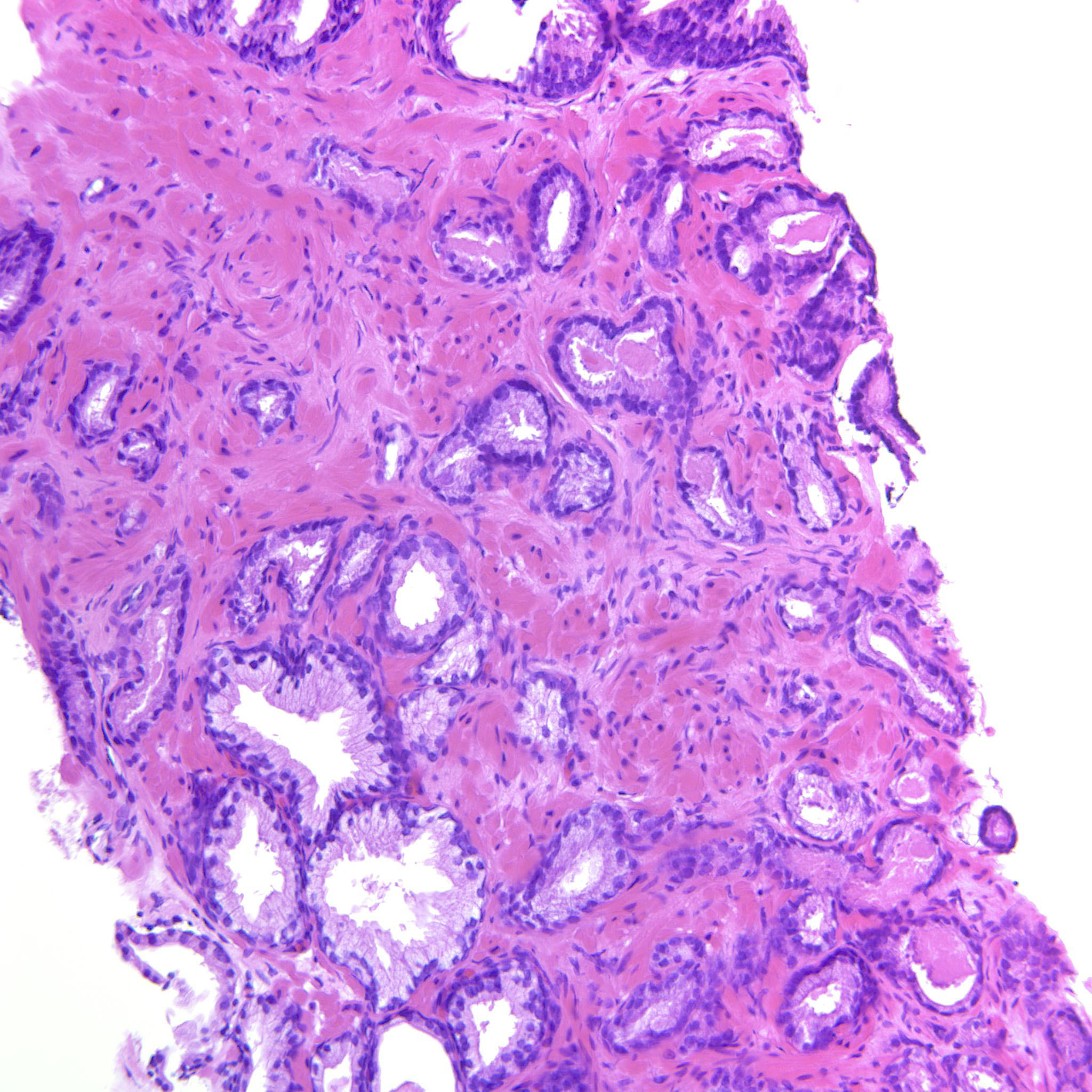
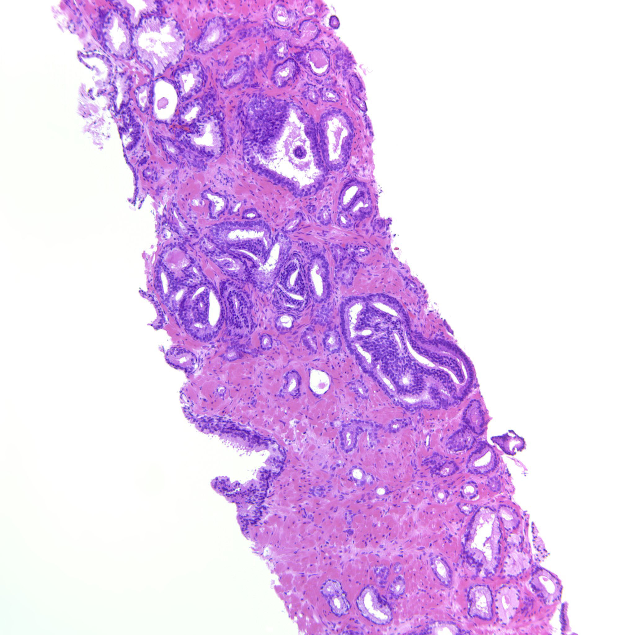
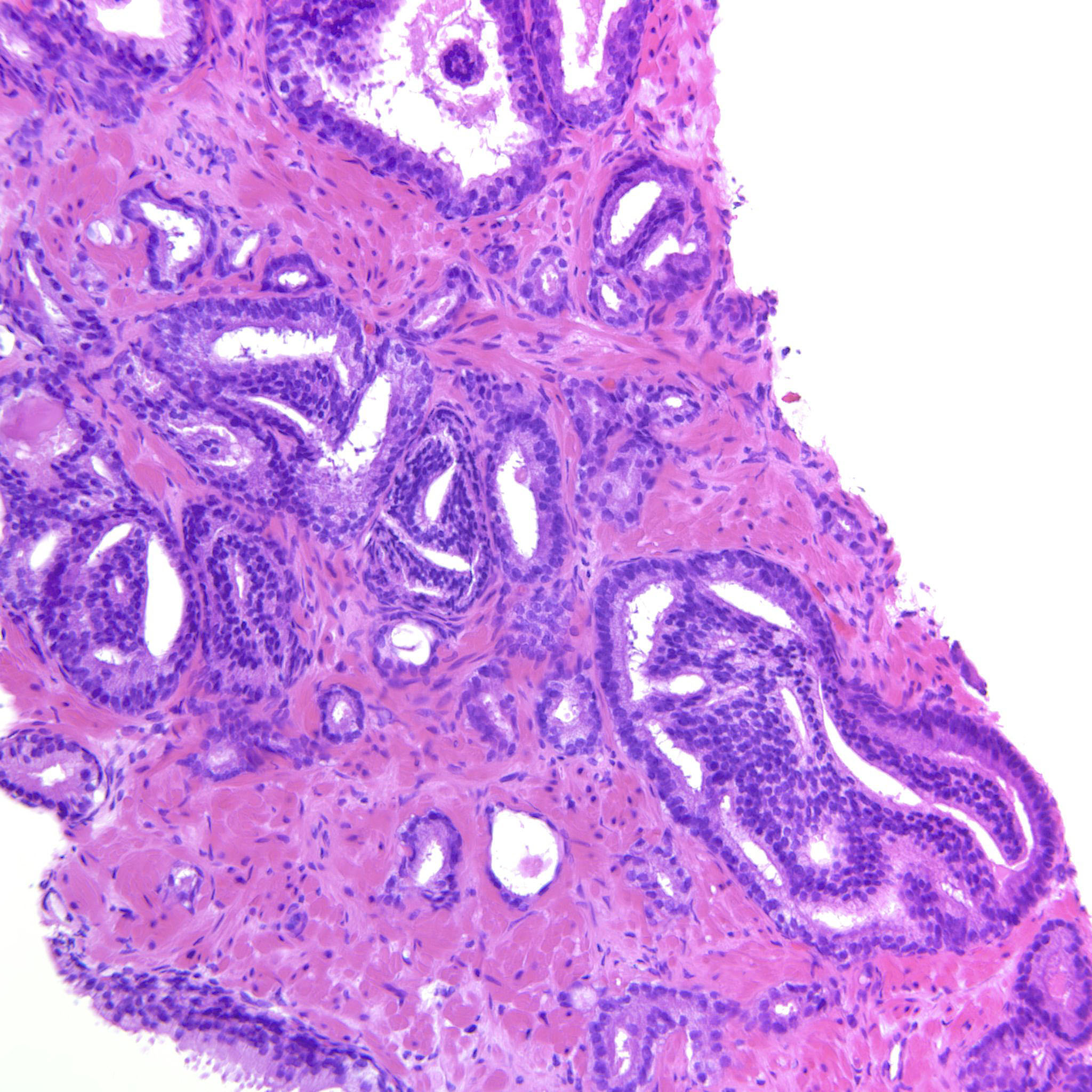
Consensus grade: GS 3+4=7 (ISUP 2)
Show diagnosis by expert panel members| User | Diagnosis | Difficulty | Comment |
|---|---|---|---|
| Pathologist 1 | GS 3+4=7 (ISUP 2) | Typical | |
| Pathologist 2 | GS 3+4=7 (ISUP 2) | Borderline higher | |
| Pathologist 3 | GS 3+4=7 (ISUP 2) | Typical | |
| Pathologist 4 | GS 3+4=7 (ISUP 2) | Typical | |
| Pathologist 5 | GS 3+4=7 (ISUP 2) | Typical | |
| Pathologist 6 | GS 3+4=7 (ISUP 2) | Typical |
Cribriform few glands |
| Pathologist 7 | GS 3+4=7 (ISUP 2) | Typical | |
| Pathologist 8 | GS 3+4=7 (ISUP 2) | Typical | |
| Pathologist 9 | GS 3+4=7 (ISUP 2) | Typical | |
| Pathologist 10 | GS 3+4=7 (ISUP 2) | Typical |
mostly G3 with one or 2 large cribriform glands |
| Pathologist 11 | GS 3+4=7 (ISUP 2) | Typical | |
| Pathologist 12 | GS 3+4=7 (ISUP 2) | Typical | |
| Pathologist 13 | GS 4+3=7 (ISUP 3) | Typical | |
| Pathologist 14 | GS 3+4=7 (ISUP 2) | Typical |
40-50% pattern 4. |
| Pathologist 15 | GS 3+4=7 (ISUP 2) | Typical | |
| Pathologist 16 | GS 3+4=7 (ISUP 2) | Typical | |
| Pathologist 17 | GS 3+4=7 (ISUP 2) | Typical | |
| Pathologist 18 | GS 3+4=7 (ISUP 2) | Typical | |
| Pathologist 19 | GS 3+4=7 (ISUP 2) | Typical | |
| Pathologist 20 | GS 3+4=7 (ISUP 2) | Typical |
there might be 1 focus of IDC |
| Pathologist 21 | GS 3+4=7 (ISUP 2) | Typical | |
| Pathologist 22 | GS 3+4=7 (ISUP 2) | Typical | |
| Pathologist 23 | GS 3+4=7 (ISUP 2) | Typical |
Case description (by case creator):
Mostly GP3 but there are also a few cribriform glands.
