Case ID: 554
Publication date: 27 Aug, 2015
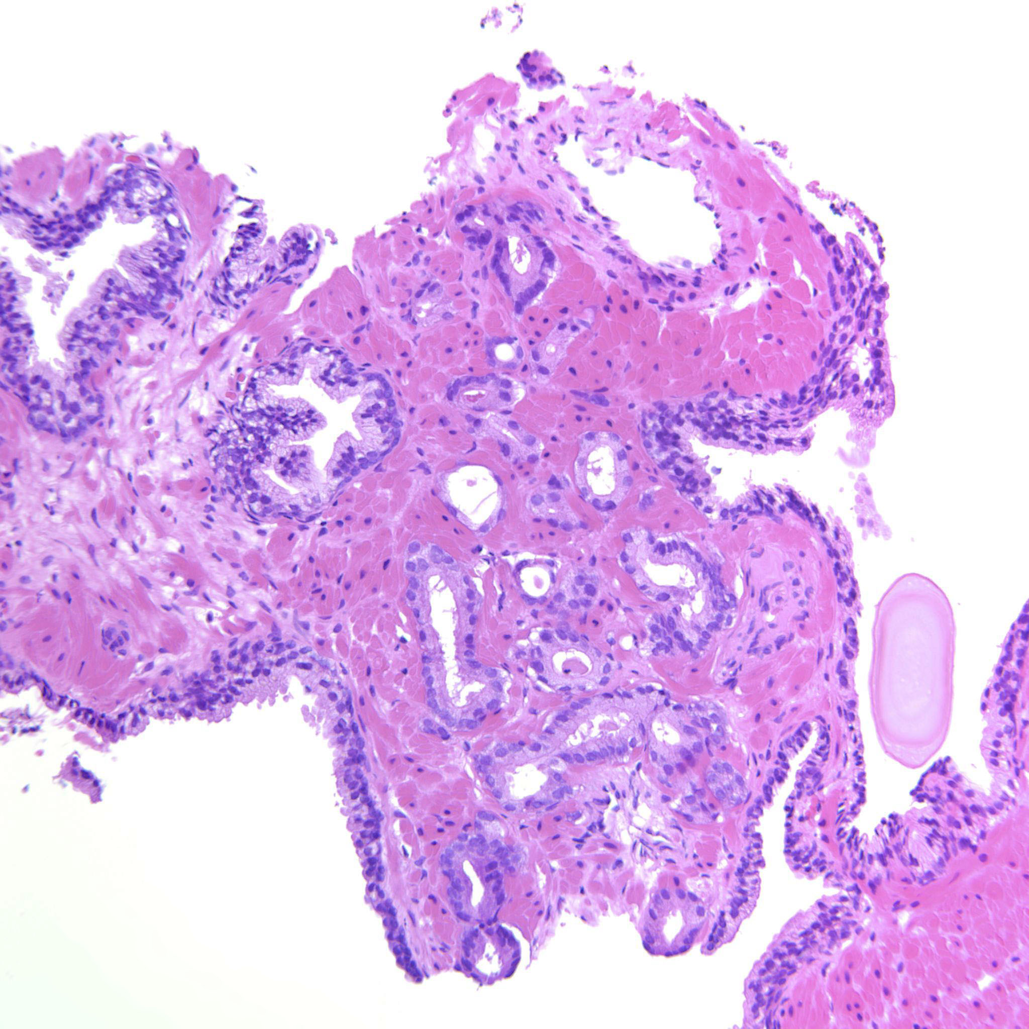
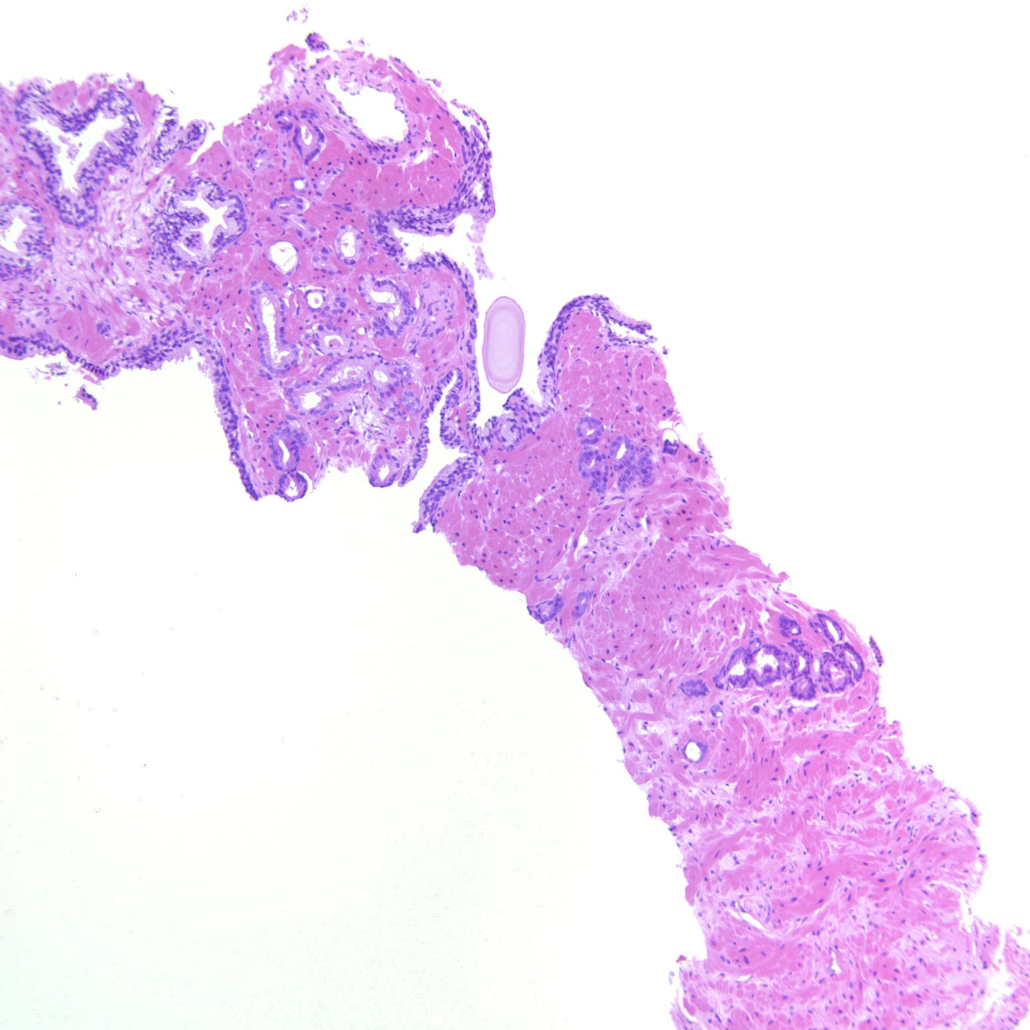
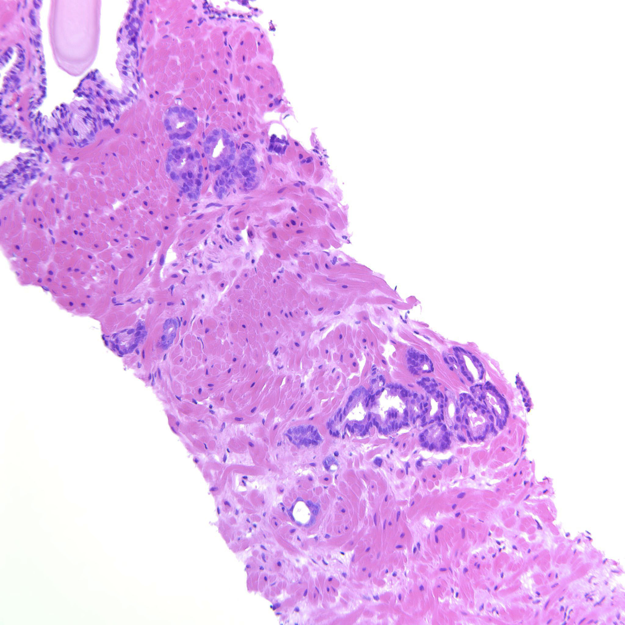
Consensus grade: GS 3+3=6 (ISUP 1)
Show diagnosis by expert panel members| User | Diagnosis | Difficulty | Comment |
|---|---|---|---|
| Pathologist 1 | GS 3+3=6 (ISUP 1) | Typical |
I would never call this 3 + 4 |
| Pathologist 2 | GS 3+3=6 (ISUP 1) | Typical | |
| Pathologist 3 | GS 3+3=6 (ISUP 1) | Typical | |
| Pathologist 4 | GS 3+3=6 (ISUP 1) | Typical | |
| Pathologist 5 | GS 3+3=6 (ISUP 1) | Typical | |
| Pathologist 6 | GS 3+3=6 (ISUP 1) | Typical | |
| Pathologist 7 | GS 3+3=6 (ISUP 1) | Borderline lower | |
| Pathologist 8 | GS 3+3=6 (ISUP 1) | Typical | |
| Pathologist 9 | GS 3+3=6 (ISUP 1) | Typical | |
| Pathologist 10 | GS 3+3=6 (ISUP 1) | Borderline higher | |
| Pathologist 11 | GS 3+3=6 (ISUP 1) | Typical |
typical discrete glands |
| Pathologist 12 | GS 3+3=6 (ISUP 1) | Typical | |
| Pathologist 13 | GS 3+3=6 (ISUP 1) | Typical | |
| Pathologist 14 | GS 3+3=6 (ISUP 1) | Typical | |
| Pathologist 15 | GS 3+3=6 (ISUP 1) | Borderline higher |
Can't exclude tangential sectioning for the glands without an open lumen, therefore default to 3+3=6. |
| Pathologist 16 | GS 3+3=6 (ISUP 1) | Typical | |
| Pathologist 17 | GS 3+3=6 (ISUP 1) | Borderline lower | |
| Pathologist 18 | GS 3+3=6 (ISUP 1) | Typical | |
| Pathologist 19 | GS 3+3=6 (ISUP 1) | Typical | |
| Pathologist 20 | GS 3+3=6 (ISUP 1) | Typical | |
| Pathologist 21 | GS 3+3=6 (ISUP 1) | Typical |
sme beginning confluent aspects, but would leave it on 3 |
| Pathologist 22 | GS 3+3=6 (ISUP 1) | Typical | |
| Pathologist 23 | GS 3+3=6 (ISUP 1) | Typical | |
| Pathologist 24 | GS 3+3=6 (ISUP 1) | Typical |
Case description (by case creator):
A couple of groups of well-formed glands with a few structures that most likely are tangential cuts.
