Case ID: 531
Publication date: 27 Aug, 2015
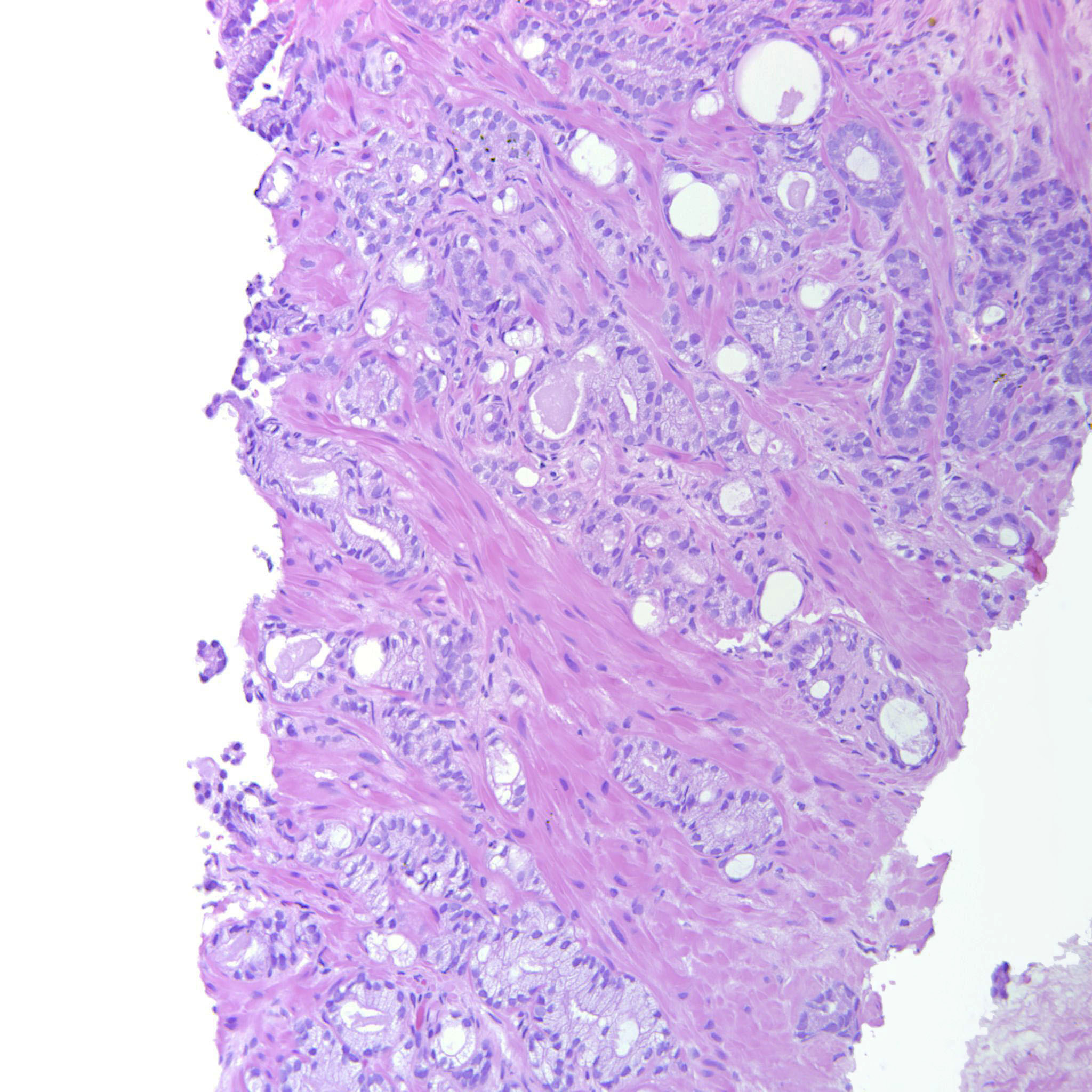
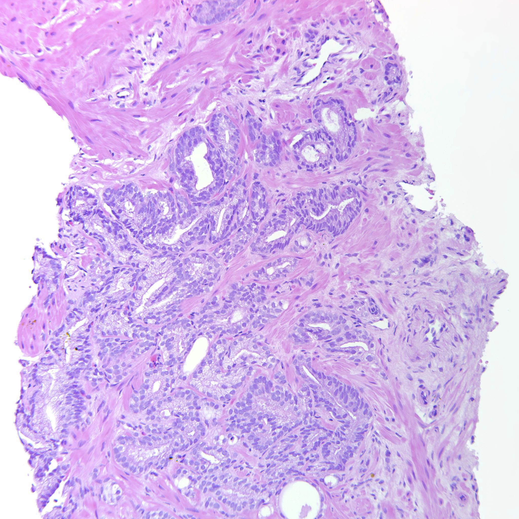
Consensus grade: GS 3+4=7 (ISUP 2)
Show diagnosis by expert panel members| User | Diagnosis | Difficulty | Comment |
|---|---|---|---|
| Pathologist 1 | GS 3+4=7 (ISUP 2) | Borderline higher | |
| Pathologist 2 | GS 3+4=7 (ISUP 2) | Typical | |
| Pathologist 3 | GS 4+3=7 (ISUP 3) | Typical | |
| Pathologist 4 | GS 3+4=7 (ISUP 2) | Borderline lower |
I am really on the fence, here. |
| Pathologist 5 | GS 3+4=7 (ISUP 2) | Borderline higher |
many tangential cuts but some 4 exists |
| Pathologist 6 | GS 3+4=7 (ISUP 2) | Typical | |
| Pathologist 7 | GS 3+4=7 (ISUP 2) | Typical |
Few fused glands |
| Pathologist 8 | GS 3+4=7 (ISUP 2) | Typical | |
| Pathologist 9 | GS 3+4=7 (ISUP 2) | Borderline higher | |
| Pathologist 10 | GS 3+4=7 (ISUP 2) | Borderline higher |
discrete glands and a few irregular fused glands |
| Pathologist 11 | GS 3+4=7 (ISUP 2) | Typical | |
| Pathologist 12 | GS 3+4=7 (ISUP 2) | Typical | |
| Pathologist 13 | GS 3+4=7 (ISUP 2) | Typical | |
| Pathologist 14 | GS 4+3=7 (ISUP 3) | Borderline higher |
50-60% pattern 4. Main difficulty is estimating 5G4 from screen images. Not convinced there is any pattern 5 in last 2 images - think it is tangential sectioning. |
| Pathologist 15 | GS 3+3=6 (ISUP 1) | Borderline higher | |
| Pathologist 16 | GS 3+4=7 (ISUP 2) | Typical | |
| Pathologist 17 | GS 3+4=7 (ISUP 2) | Borderline higher | |
| Pathologist 18 | GS 3+4=7 (ISUP 2) | Borderline higher | |
| Pathologist 19 | GS 4+3=7 (ISUP 3) | Typical | |
| Pathologist 20 | GS 4+3=7 (ISUP 3) | Typical |
quite atypically looking, but borderline with 3+4 |
| Pathologist 21 | GS 3+4=7 (ISUP 2) | Typical | |
| Pathologist 22 | GS 3+3=6 (ISUP 1) | Borderline higher | |
| Pathologist 23 | GS 4+3=7 (ISUP 3) | Borderline lower | |
| Pathologist 24 | GS 3+4=7 (ISUP 2) | Typical |
Case description (by case creator):
Poorly formed and fused glands are seen.
