Case ID: 281

Publication date: 05 Jun, 2015

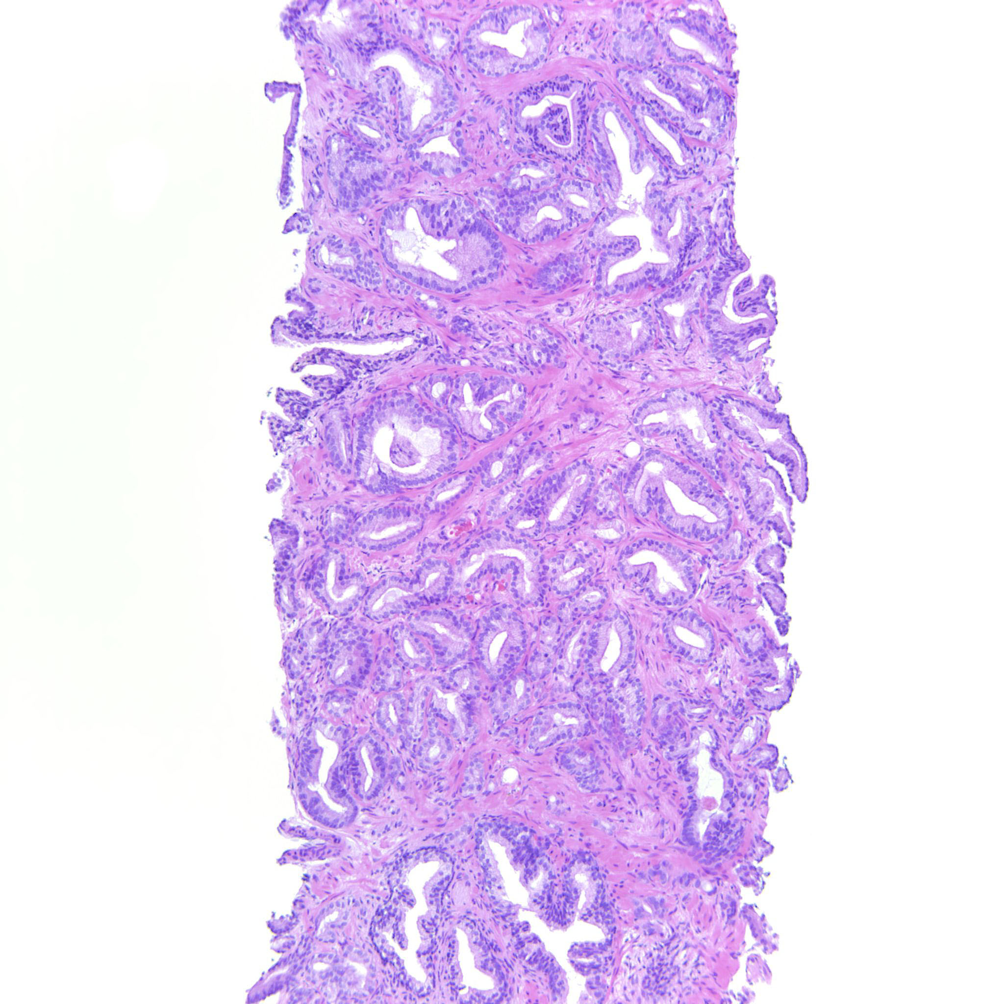
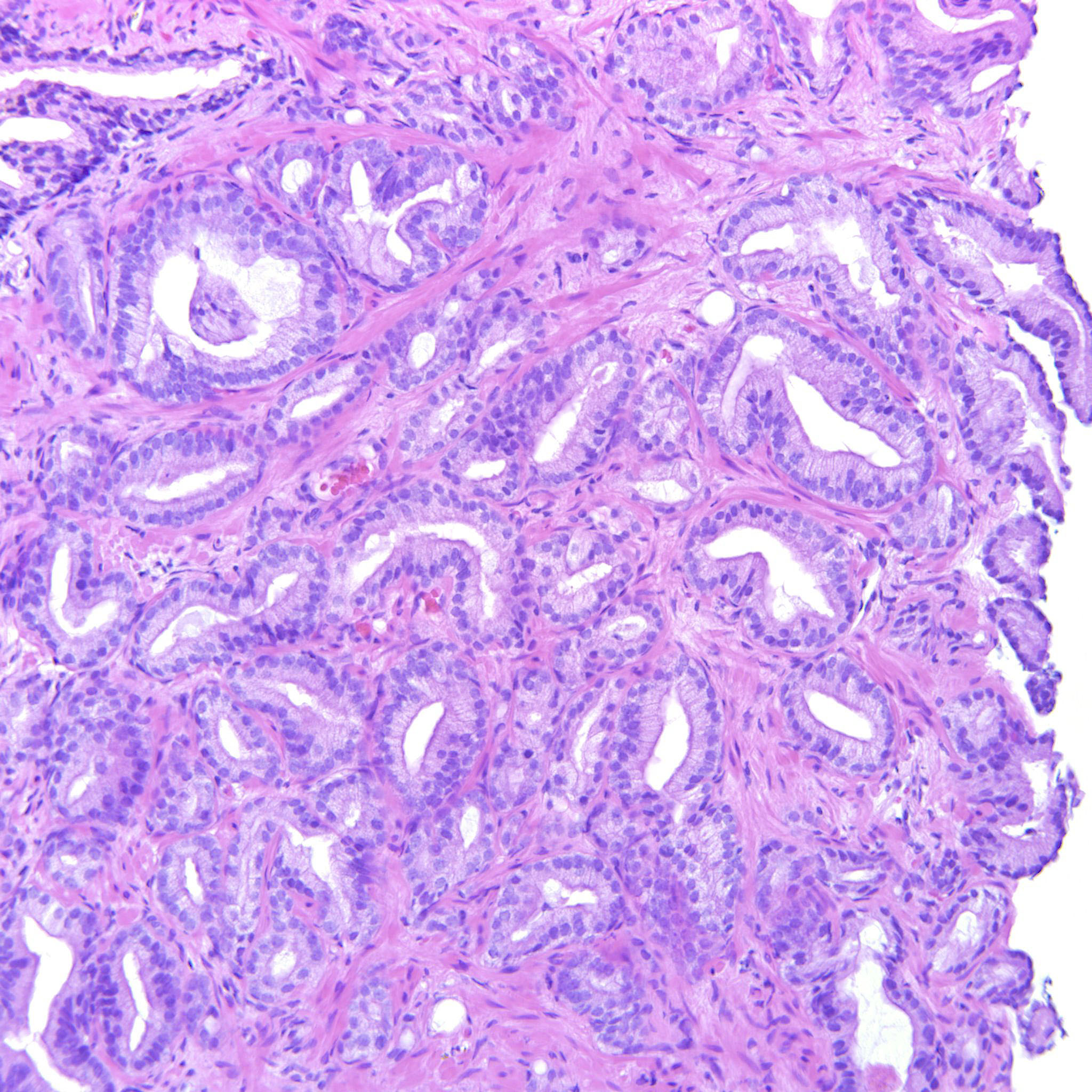
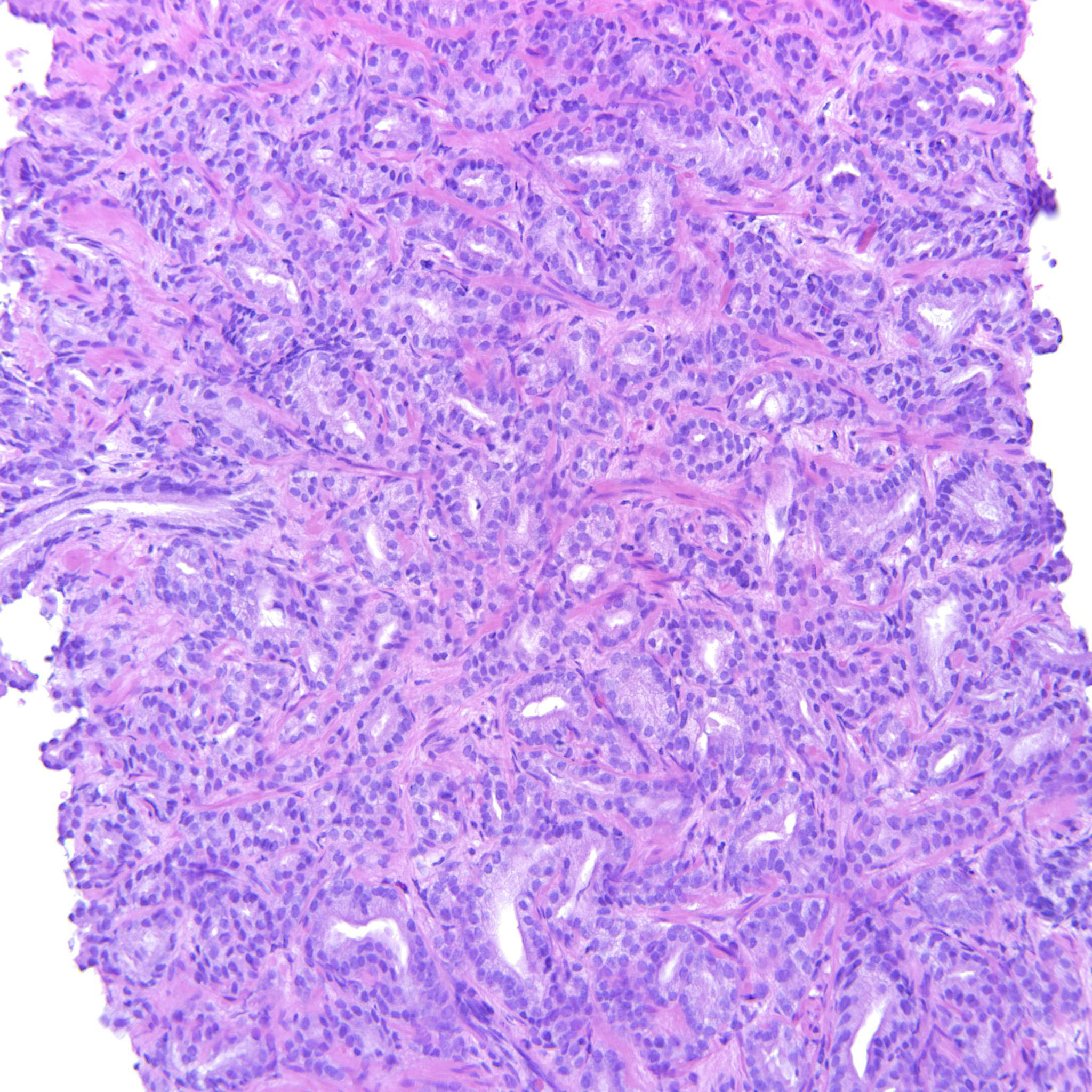
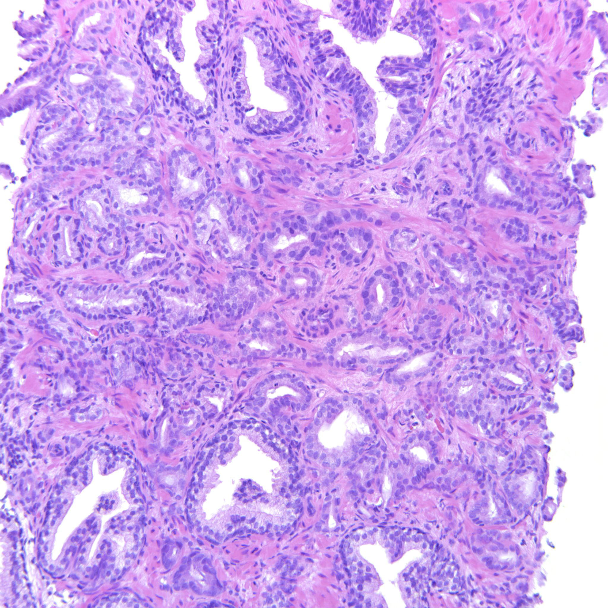
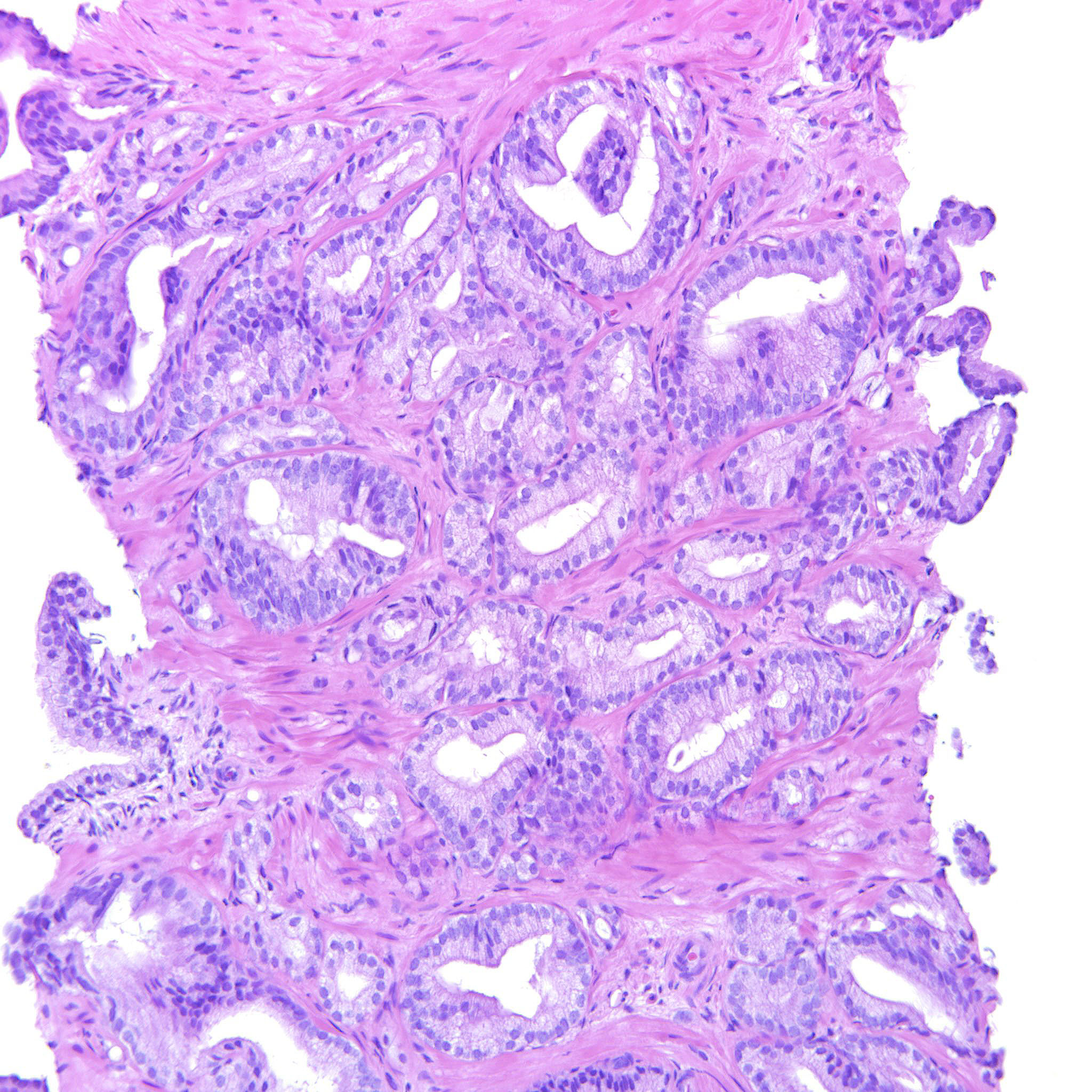
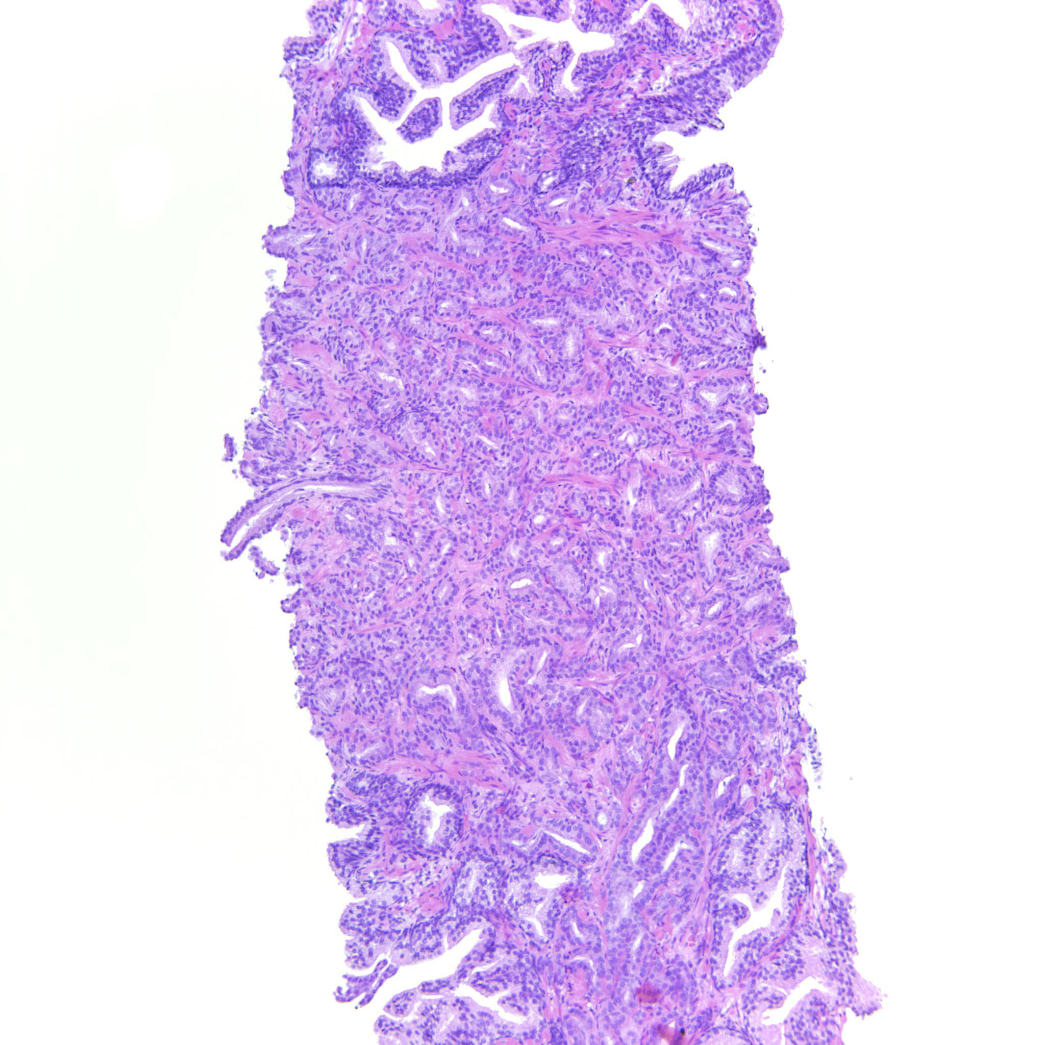
Consensus grade: GS 3+4=7 (ISUP 2)

User Diagnosis Difficulty Comment
Pathologist 1 GS 3+4=7 (ISUP 2) Borderline higher

Glands crowded but also focally fused

Pathologist 2 GS 3+4=7 (ISUP 2) Typical
Pathologist 3 GS 3+4=7 (ISUP 2) Typical
Pathologist 4 GS 3+4=7 (ISUP 2) Typical
Pathologist 5 GS 3+4=7 (ISUP 2) Borderline lower

one could also discuss a Score 6, but there is some glomerulation and congfluence

Pathologist 6 GS 3+4=7 (ISUP 2) Borderline lower
Pathologist 7 GS 3+3=6 (ISUP 1) Borderline higher

No convincing fusion of poorly formed glands.

Pathologist 8 GS 3+3=6 (ISUP 1) Borderline higher
Pathologist 9 GS 3+4=7 (ISUP 2) Typical
Pathologist 10 GS 4+3=7 (ISUP 3) Typical
Pathologist 11 GS 4+3=7 (ISUP 3) Typical
Pathologist 12 GS 3+4=7 (ISUP 2) Typical
Pathologist 13 GS 3+4=7 (ISUP 2) Borderline higher
Pathologist 14 GS 3+3=6 (ISUP 1) Typical

3 with typical tangential cut

Pathologist 15 GS 3+4=7 (ISUP 2) Typical
Pathologist 16 GS 4+3=7 (ISUP 3) Borderline higher

Difficult to judge percentages on images sometimes when Gleason grade 3 predominates in some and grade 4 is more prevalent in others, therefore also strongly considered 3 + 4.

Pathologist 17 GS 3+4=7 (ISUP 2) Typical

Mainly single glands. Some fused and poorly formed glands also

Pathologist 18 GS 3+3=6 (ISUP 1) Borderline higher
Pathologist 19 GS 3+4=7 (ISUP 2) Borderline higher
Pathologist 20 GS 3+4=7 (ISUP 2) Borderline higher
Pathologist 21 GS 3+4=7 (ISUP 2) Borderline higher
Pathologist 22 GS 3+4=7 (ISUP 2) Borderline higher
Pathologist 23 GS 4+3=7 (ISUP 3) Typical
Pathologist 24 GS 3+4=7 (ISUP 2) Typical


Case description (by case creator):

Some images only contain GP3 but there are also areas with poorly formed and fused glands justifying 347.