Case ID: 151
Publication date: 29 May, 2015
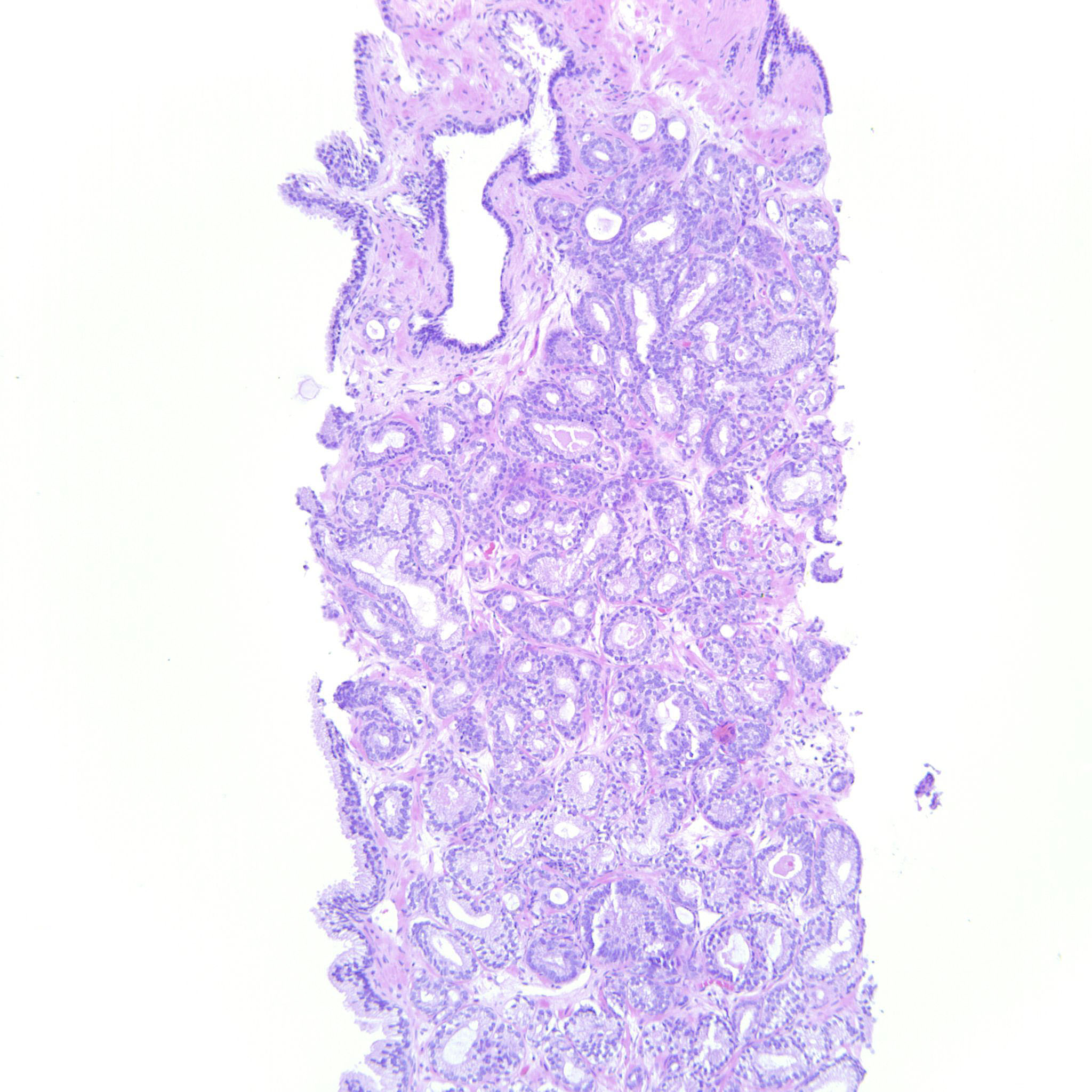
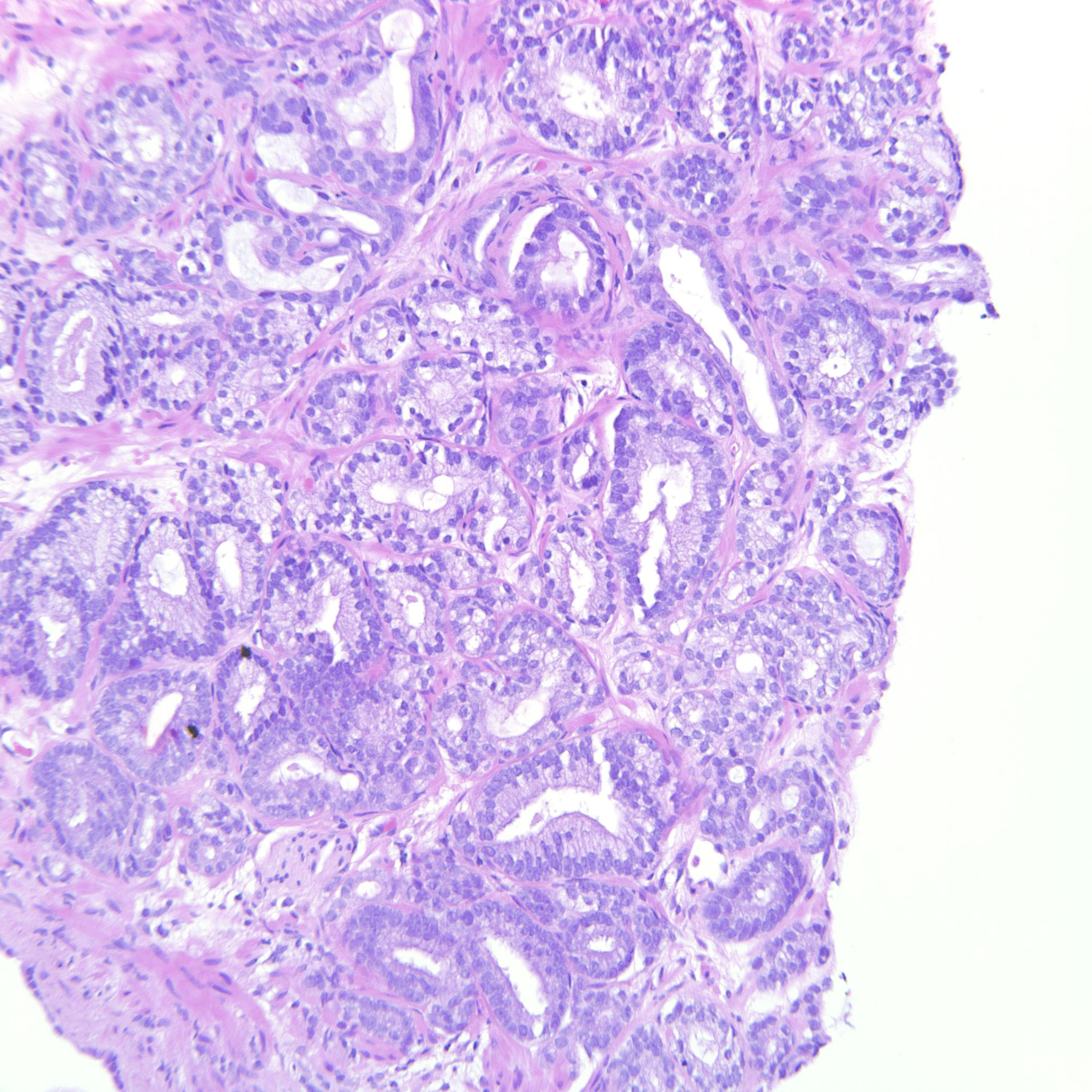
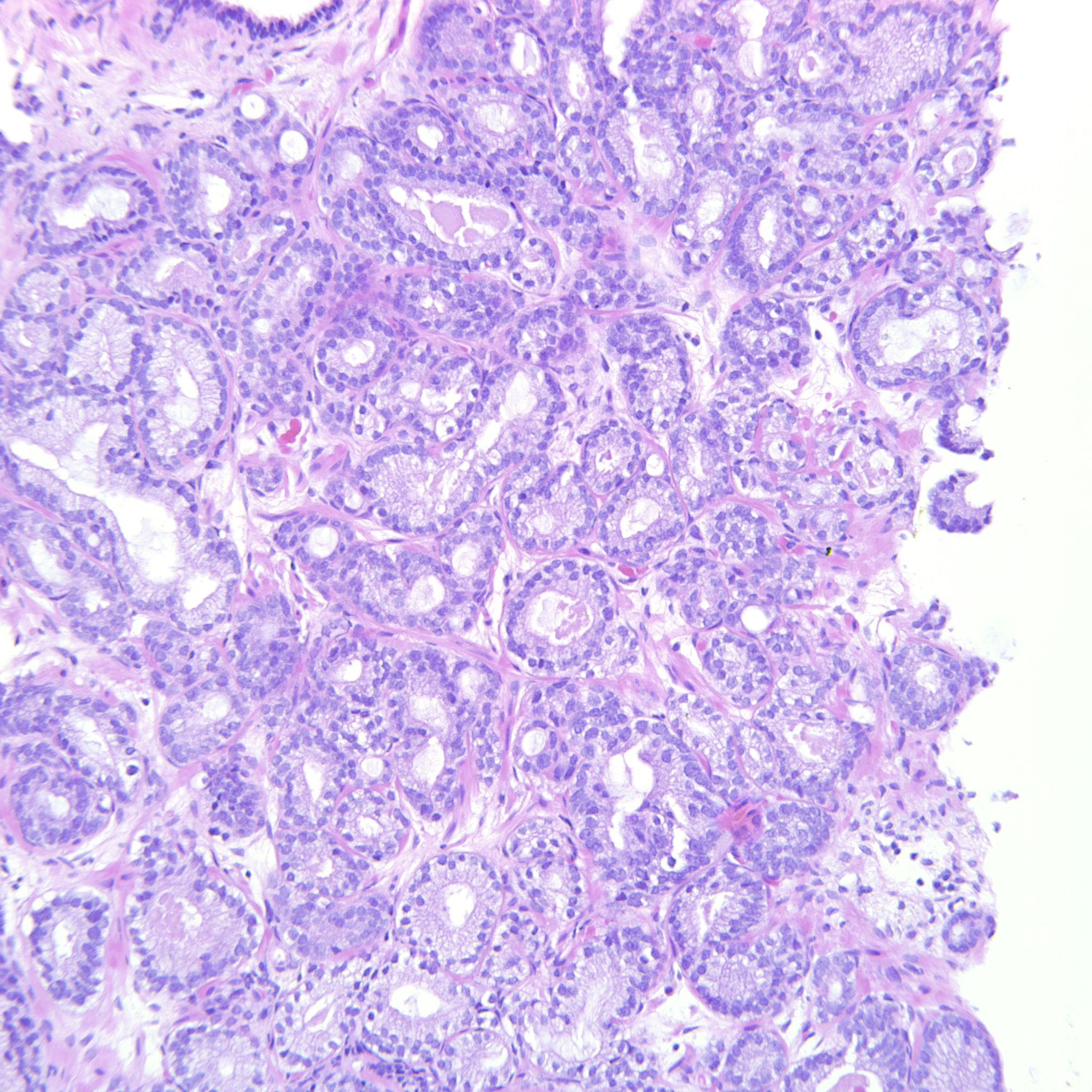
Consensus grade: GS 3+3=6 (ISUP 1)
Show diagnosis by expert panel members| User | Diagnosis | Difficulty | Comment |
|---|---|---|---|
| Pathologist 1 | GS 3+3=6 (ISUP 1) | Typical | |
| Pathologist 2 | GS 3+4=7 (ISUP 2) | Typical |
Rare glands are fused |
| Pathologist 3 | GS 3+3=6 (ISUP 1) | Typical | |
| Pathologist 4 | GS 3+3=6 (ISUP 1) | Typical | |
| Pathologist 5 | GS 3+3=6 (ISUP 1) | Borderline higher |
336 v. 347 case - no definitive fused glands |
| Pathologist 6 | GS 3+3=6 (ISUP 1) | Typical | |
| Pathologist 7 | GS 3+3=6 (ISUP 1) | Typical |
would still consider as 6(3+3). glands are well delimitated |
| Pathologist 8 | GS 3+3=6 (ISUP 1) | Typical | |
| Pathologist 9 | GS 3+4=7 (ISUP 2) | Borderline lower | |
| Pathologist 10 | GS 3+4=7 (ISUP 2) | Borderline lower |
? tangential sectioning - would look at 3 levels before deciding 3+4 vs 3+3 |
| Pathologist 11 | GS 3+4=7 (ISUP 2) | Borderline lower | |
| Pathologist 12 | GS 3+4=7 (ISUP 2) | Typical | |
| Pathologist 13 | GS 3+3=6 (ISUP 1) | Typical | |
| Pathologist 14 | GS 3+4=7 (ISUP 2) | Borderline higher | |
| Pathologist 15 | GS 3+3=6 (ISUP 1) | Borderline higher | |
| Pathologist 16 | GS 3+4=7 (ISUP 2) | Borderline lower | |
| Pathologist 17 | GS 3+4=7 (ISUP 2) | Typical |
A couple of small, but convincing, cribriform glands present. |
| Pathologist 18 | GS 3+3=6 (ISUP 1) | Typical |
Well-formed separate glands |
| Pathologist 19 | GS 3+3=6 (ISUP 1) | Borderline higher |
one gland looks like its trying to fuse |
| Pathologist 20 | GS 3+3=6 (ISUP 1) | Borderline higher | |
| Pathologist 21 | GS 3+3=6 (ISUP 1) | Borderline higher | |
| Pathologist 22 | GS 3+3=6 (ISUP 1) | Typical | |
| Pathologist 23 | GS 3+3=6 (ISUP 1) | Borderline higher | |
| Pathologist 24 | GS 3+4=7 (ISUP 2) | Borderline lower | |
| Pathologist 25 | GS 3+3=6 (ISUP 1) | Typical |
Case description (by case creator):
3+3=6 with occasional seemingly poorly formed glands. These are however seen between well-formed glands and probably represent tangential cuts.
