Case ID: 141
Publication date: 29 May, 2015
Consensus grade: GS 9-10 (ISUP 5)
Show diagnosis by expert panel members| User | Diagnosis | Difficulty | Comment |
|---|---|---|---|
| Pathologist 1 | GS 9-10 (ISUP 5) | Typical |
4+5 |
| Pathologist 2 | GS 9-10 (ISUP 5) | Typical | |
| Pathologist 3 | GS 9-10 (ISUP 5) | Typical | |
| Pathologist 4 | GS 4+3=7 (ISUP 3) | Borderline lower |
I am quite sure that some people (many??) have given a grde 5 on that. There is lots of 4, on the borders you have these weird glands, where you don't know whether it is 5 or not, I admit that I give 5 rarely, I think these are just tangential cuts of badly formed galnds. And there are still some 3 easily recognizable elements; In a bad day I might go up to 8 |
| Pathologist 5 | GS 9-10 (ISUP 5) | Typical | |
| Pathologist 6 | GS 9-10 (ISUP 5) | Typical | |
| Pathologist 7 | GS 9-10 (ISUP 5) | Borderline higher |
fused glands and some single cells |
| Pathologist 8 | GS 9-10 (ISUP 5) | Typical | |
| Pathologist 9 | GS 9-10 (ISUP 5) | Typical | |
| Pathologist 10 | GS 9-10 (ISUP 5) | Typical | |
| Pathologist 11 | GS 9-10 (ISUP 5) | Typical | |
| Pathologist 12 | GS 4+4=8 (ISUP 4) | Borderline higher | |
| Pathologist 13 | GS 9-10 (ISUP 5) | Typical | |
| Pathologist 14 | GS 9-10 (ISUP 5) | Typical | |
| Pathologist 15 | GS 9-10 (ISUP 5) | Typical | |
| Pathologist 16 | GS 9-10 (ISUP 5) | Typical |
Gleason score 4 + 5 = 9 |
| Pathologist 17 | GS 9-10 (ISUP 5) | Typical |
Fused glands, poorly-formed glands and single cell strands |
| Pathologist 18 | GS 9-10 (ISUP 5) | Typical | |
| Pathologist 19 | GS 9-10 (ISUP 5) | Borderline lower | |
| Pathologist 20 | GS 9-10 (ISUP 5) | Typical |
4+5=9 |
| Pathologist 21 | GS 9-10 (ISUP 5) | Borderline higher | |
| Pathologist 22 | GS 9-10 (ISUP 5) | Typical | |
| Pathologist 23 | GS 9-10 (ISUP 5) | Typical | |
| Pathologist 24 | GS 9-10 (ISUP 5) | Typical |
4+5 |
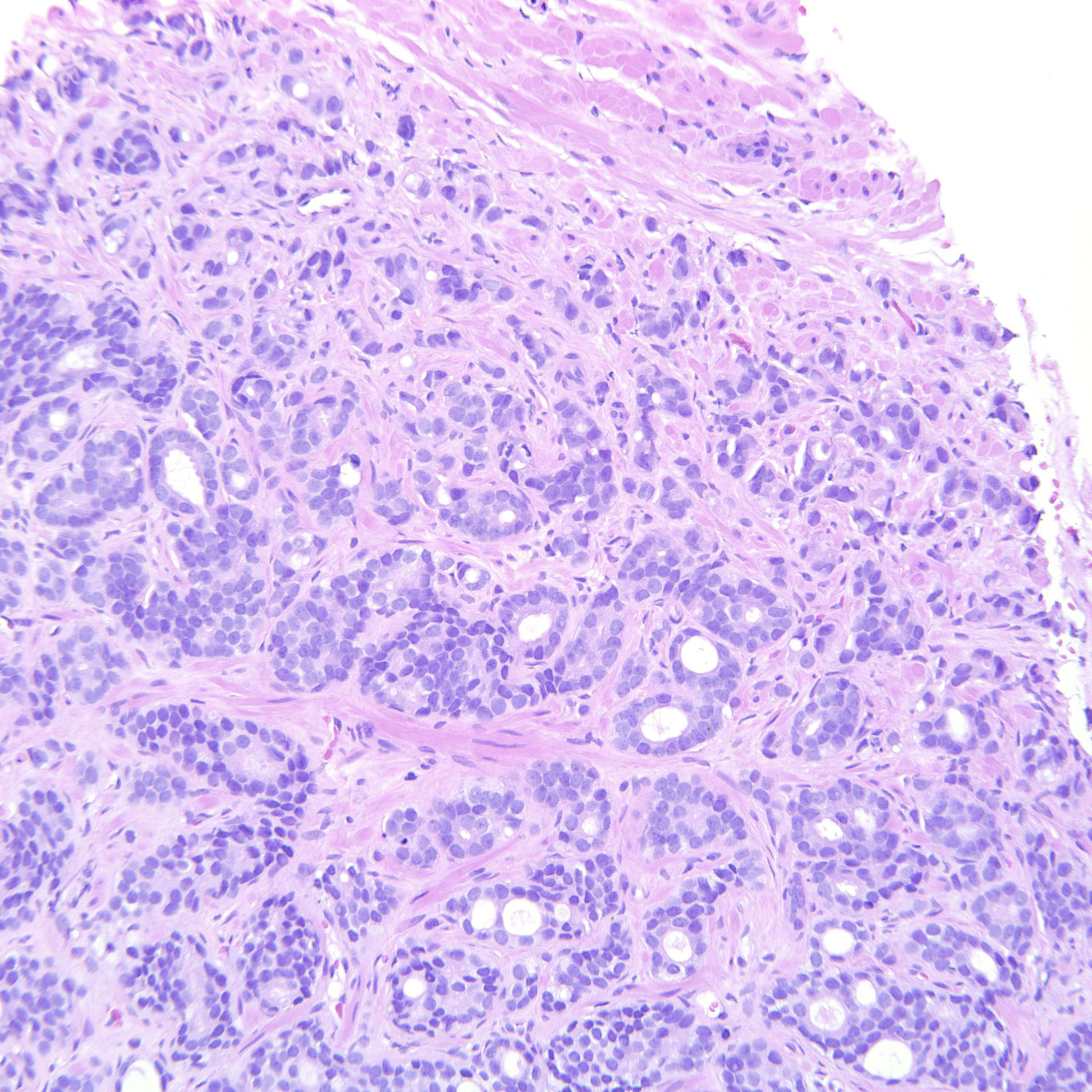
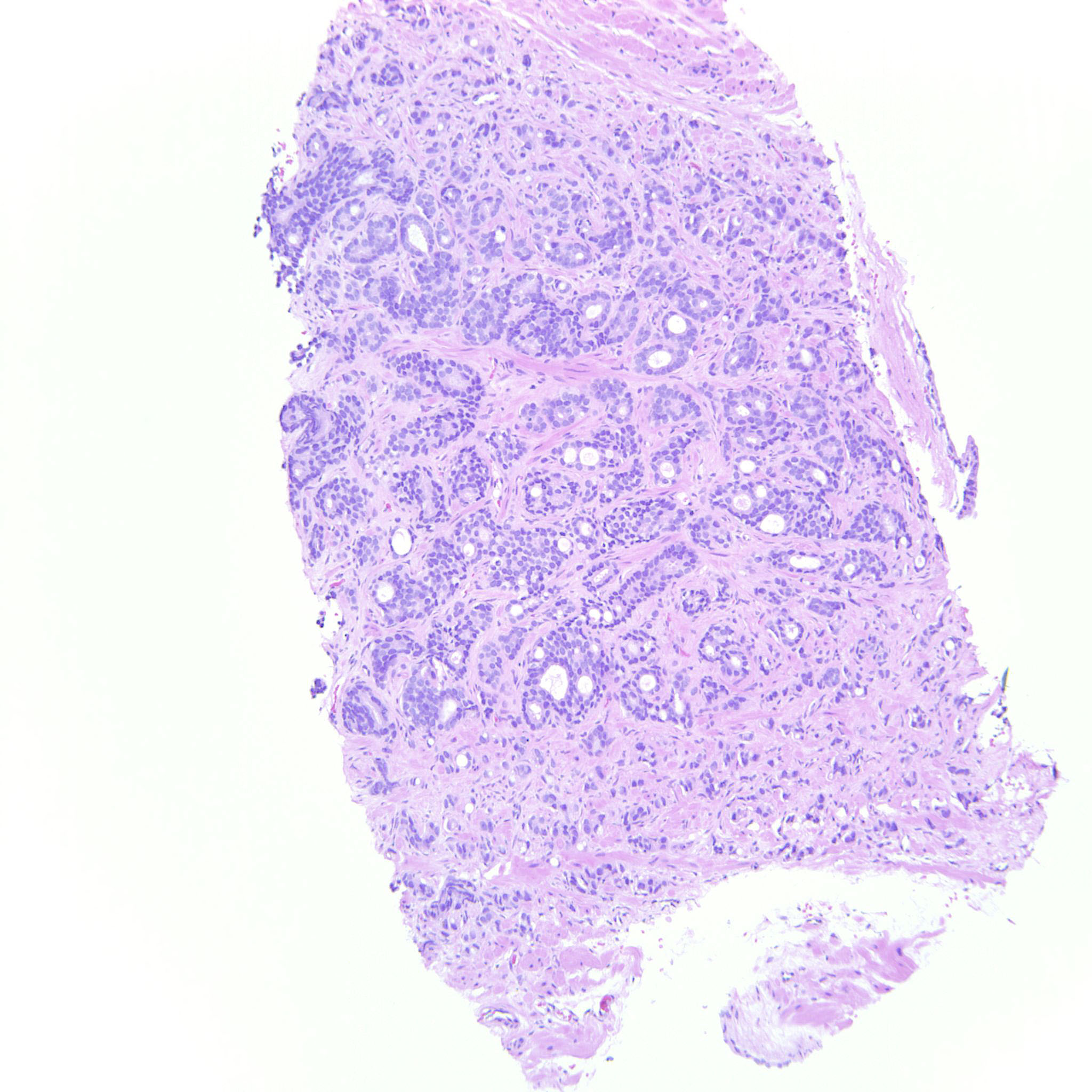
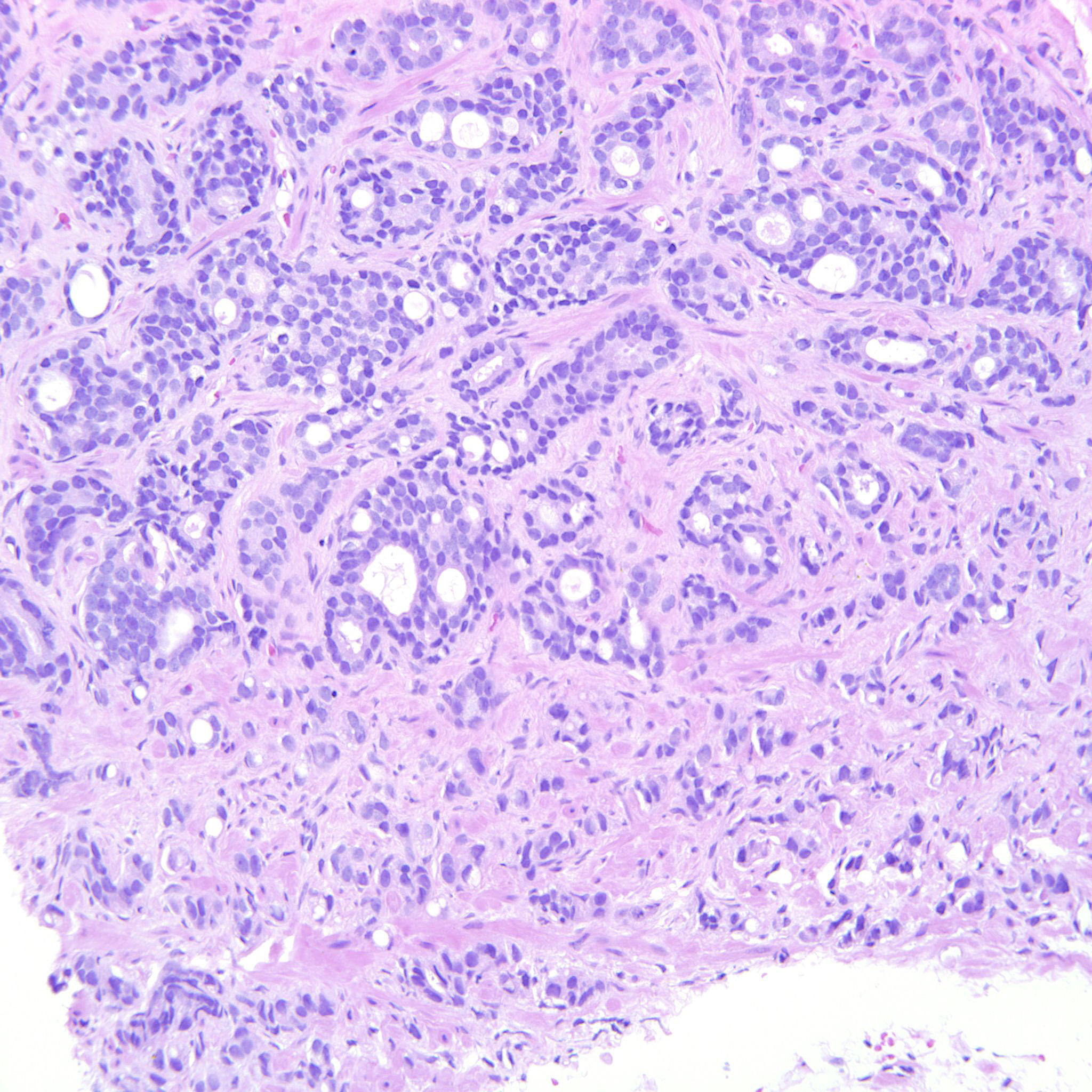
Case description (by case creator):
The tumor is dominated by GP4 with mainly cribriform and fused glands but also some poorly formed glands. There is also a component of GP5 with single cells and indian files. These cells occupy an area that can be seen already at 10x. The GP5 component looks immature but is not suspicious for small cell carcinoma.
