Case ID: 135

Publication date: 29 May, 2015

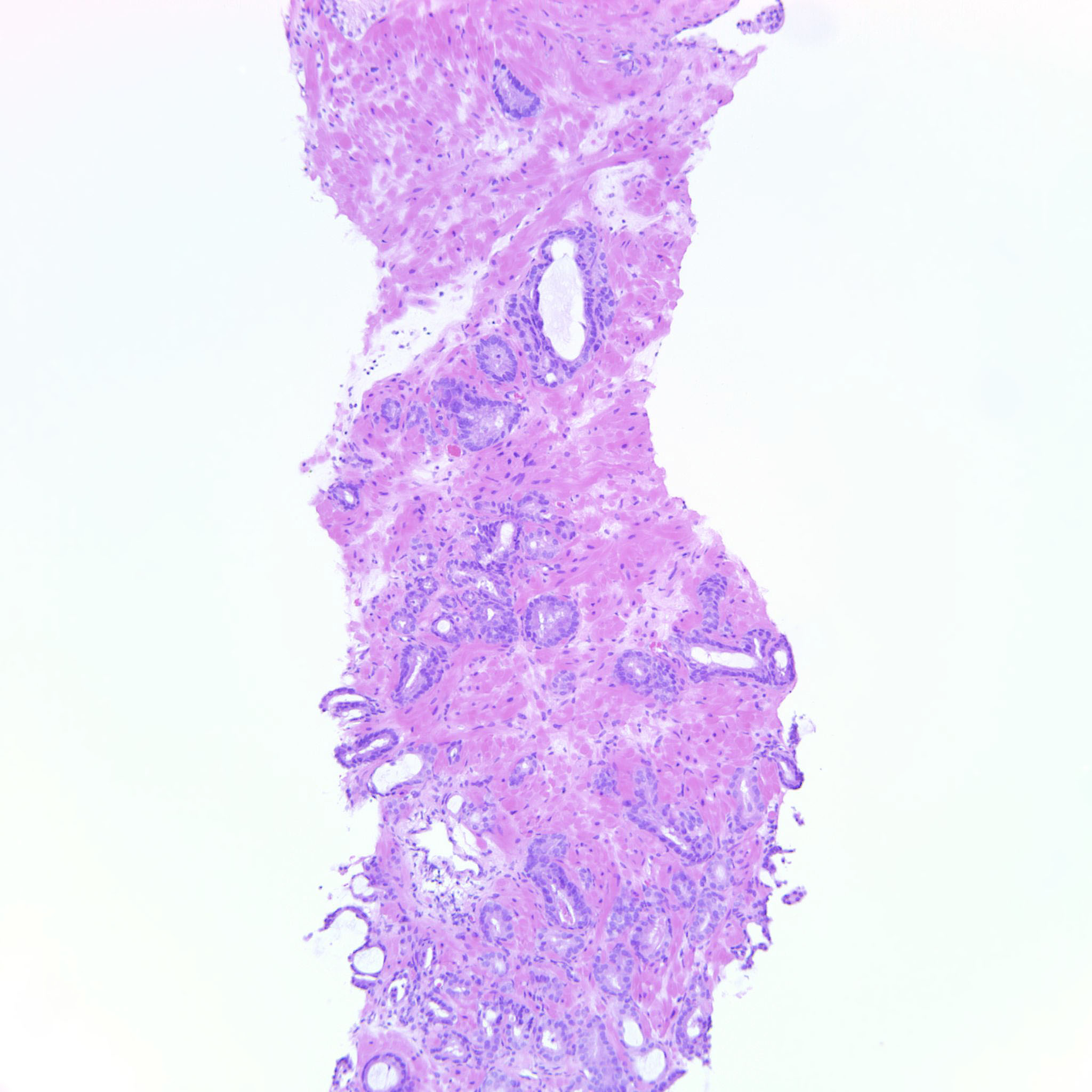
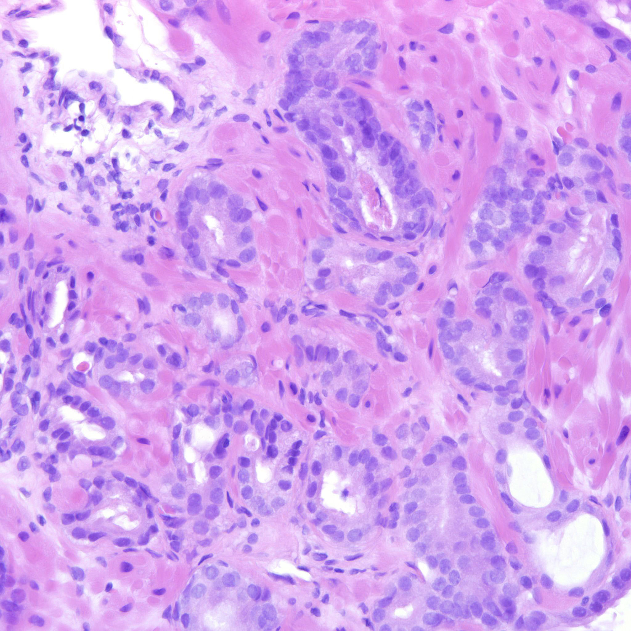
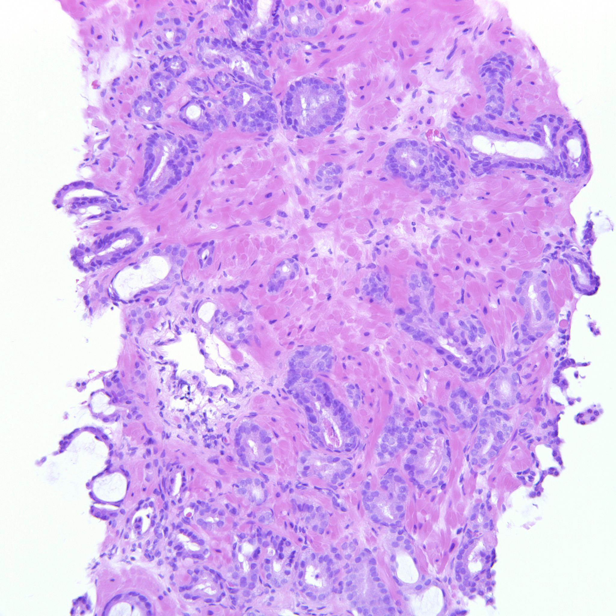
Consensus grade: GS 3+3=6 (ISUP 1)

User Diagnosis Difficulty Comment
Pathologist 1 GS 3+3=6 (ISUP 1) Typical
Pathologist 2 GS 3+3=6 (ISUP 1) Typical
Pathologist 3 GS 3+3=6 (ISUP 1) Typical

some arguments are in favour of a minor 4, if it helps for the consensus, consider as 3+4

Pathologist 4 GS 3+3=6 (ISUP 1) Typical
Pathologist 5 GS 3+3=6 (ISUP 1) Typical
Pathologist 6 GS 3+3=6 (ISUP 1) Borderline higher

some tangentially cut glands

Pathologist 7 GS 3+3=6 (ISUP 1) Typical
Pathologist 8 GS 3+3=6 (ISUP 1) Borderline higher
Pathologist 9 GS 3+3=6 (ISUP 1) Borderline higher
Pathologist 10 GS 3+3=6 (ISUP 1) Borderline higher
Pathologist 11 GS 3+3=6 (ISUP 1) Borderline higher

Jsut short of 3 + 4 = 7

Pathologist 12 GS 3+4=7 (ISUP 2) Borderline lower
Pathologist 13 GS 3+3=6 (ISUP 1) Typical
Pathologist 14 GS 3+3=6 (ISUP 1) Borderline higher
Pathologist 15 GS 3+3=6 (ISUP 1) Typical
Pathologist 16 GS 3+3=6 (ISUP 1) Borderline lower
Pathologist 17 GS 3+4=7 (ISUP 2) Borderline lower

Mainly well-formed separate glands with a tiny component of poorly formed glands

Pathologist 18 GS 3+3=6 (ISUP 1) Typical
Pathologist 19 GS 3+3=6 (ISUP 1) Typical
Pathologist 20 GS 3+3=6 (ISUP 1) Borderline higher
Pathologist 21 GS 3+3=6 (ISUP 1) Typical
Pathologist 22 GS 3+3=6 (ISUP 1) Borderline higher
Pathologist 23 GS 4+3=7 (ISUP 3) Borderline lower
Pathologist 24 GS 3+3=6 (ISUP 1) Borderline higher


Case description (by case creator):

3+3=6 bordering towards 3+4. There are rare seemingly poorly formed glands but they can still be overlooked.