Case ID: 108
Publication date: 29 May, 2015
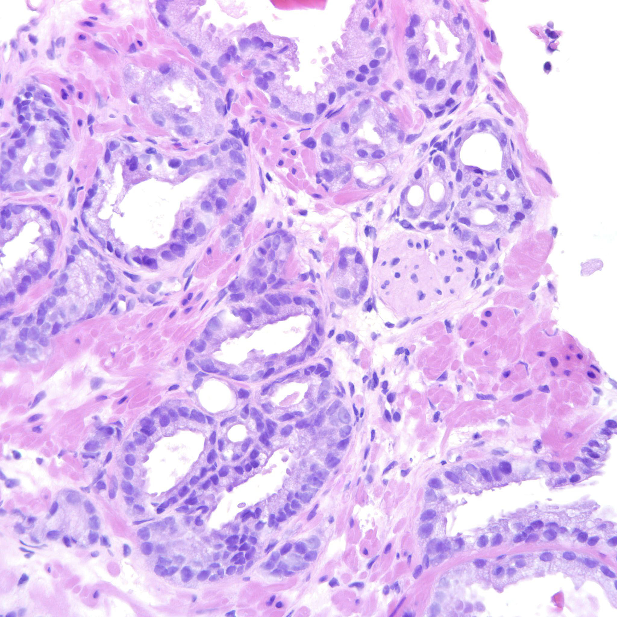
Consensus grade: GS 3+3=6 (ISUP 1)
Show diagnosis by expert panel members| User | Diagnosis | Difficulty | Comment |
|---|---|---|---|
| Pathologist 1 | GS 3+3=6 (ISUP 1) | Typical | |
| Pathologist 2 | GS 3+3=6 (ISUP 1) | Typical | |
| Pathologist 3 | GS 3+3=6 (ISUP 1) | Typical | |
| Pathologist 4 | GS 3+3=6 (ISUP 1) | Borderline higher | |
| Pathologist 5 | GS 3+3=6 (ISUP 1) | Typical | |
| Pathologist 6 | GS 3+3=6 (ISUP 1) | Typical |
there are some back to back glands, but I would not consider them as cribriform |
| Pathologist 7 | GS 3+3=6 (ISUP 1) | Typical | |
| Pathologist 8 | GS 3+4=7 (ISUP 2) | Typical | |
| Pathologist 9 | GS 3+3=6 (ISUP 1) | Borderline higher | |
| Pathologist 10 | GS 3+4=7 (ISUP 2) | Borderline lower |
Possible tangential sectioning and the apparently fused small acini adjacent to the nerve. I would need to see three levels to decide on my best Gleason value. I do not typically call fused acini around a nerve pattern 4 |
| Pathologist 11 | GS 3+3=6 (ISUP 1) | Typical |
A couple of foci suggestive, but not quite good enough for definite pattern 4. |
| Pathologist 12 | GS 3+4=7 (ISUP 2) | Borderline lower | |
| Pathologist 13 | GS 3+4=7 (ISUP 2) | Borderline lower | |
| Pathologist 14 | GS 3+3=6 (ISUP 1) | Borderline higher | |
| Pathologist 15 | GS 3+3=6 (ISUP 1) | Borderline higher | |
| Pathologist 16 | GS 3+3=6 (ISUP 1) | Borderline lower | |
| Pathologist 17 | GS 3+3=6 (ISUP 1) | Typical |
well-formed separate glands |
| Pathologist 18 | GS 3+3=6 (ISUP 1) | Typical | |
| Pathologist 19 | GS 3+3=6 (ISUP 1) | Borderline higher | |
| Pathologist 20 | GS 3+3=6 (ISUP 1) | Typical | |
| Pathologist 21 | GS 3+3=6 (ISUP 1) | Borderline higher | |
| Pathologist 22 | GS 3+3=6 (ISUP 1) | Typical | |
| Pathologist 23 | GS 3+4=7 (ISUP 2) | Borderline lower | |
| Pathologist 24 | GS 3+3=6 (ISUP 1) | Borderline higher |
Case description (by case creator):
3+3=6 with an occasional seemingly fused gland that may be a tangential cut.
