Case ID: 657
Publication date: 08 Dec, 2015
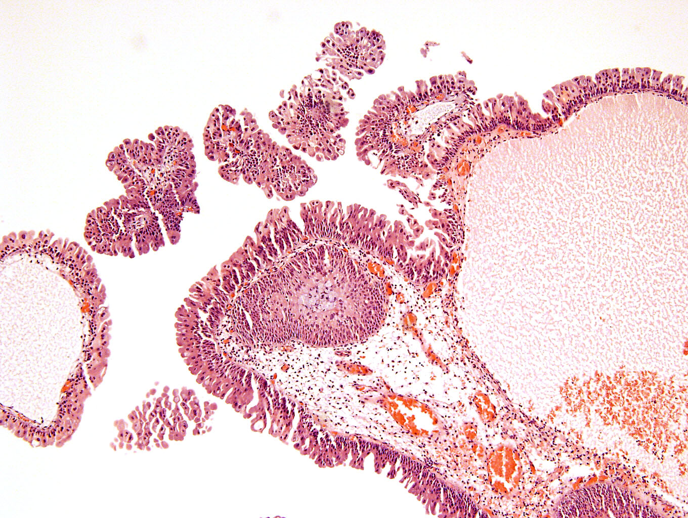
Consensus grade: Papilloma
Show diagnosis by expert panel members| User | Diagnosis | Difficulty | Comment |
|---|---|---|---|
| Pathologist 1 | Papilloma | Typical | |
| Pathologist 2 | Papilloma | Borderline higher | |
| Pathologist 3 | Papilloma | Typical | |
| Pathologist 4 | Papilloma | Typical | |
| Pathologist 5 | Papilloma | Typical | |
| Pathologist 6 | Papilloma | Typical | |
| Pathologist 7 | Papilloma | Typical | |
| Pathologist 8 | Papilloma | Typical | |
| Pathologist 9 | Papilloma | Typical | |
| Pathologist 10 | Papilloma | Typical |
same as previous |
| Pathologist 11 | Papilloma | Borderline higher | |
| Pathologist 12 | Papilloma | Typical | |
| Pathologist 13 | Papilloma | Typical | |
| Pathologist 14 | Papilloma | Typical | |
| Pathologist 15 | Papilloma | Typical | |
| Pathologist 16 | Papilloma | Typical | |
| Pathologist 17 | Papilloma | Typical | |
| Pathologist 18 | Papilloma | Typical |
No specific comment. |
| Pathologist 19 | Papilloma | Typical | |
| Pathologist 20 | Papilloma | Typical | |
| Pathologist 21 | Papilloma | Typical | |
| Pathologist 22 | Papilloma | Typical |
Case description (by case creator):
