Case ID: 630

Publication date: 12 Nov, 2015

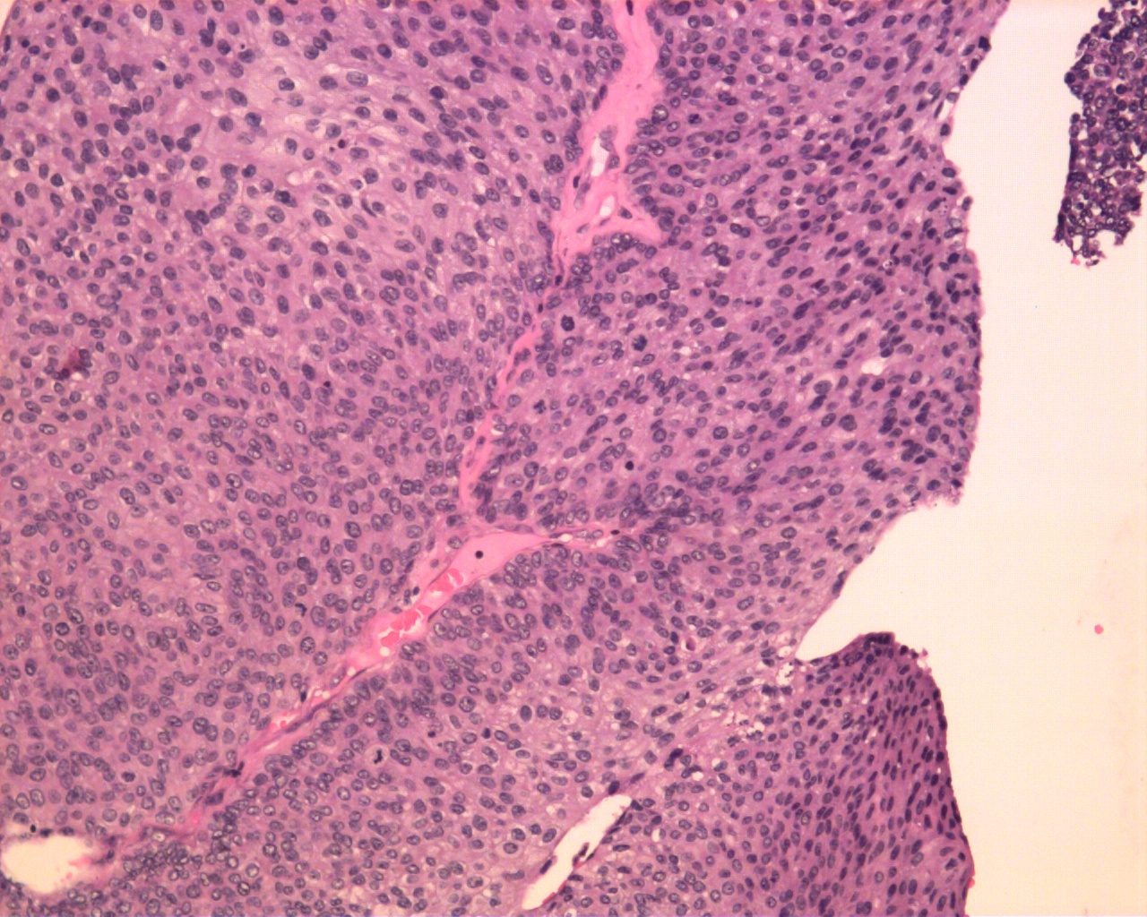
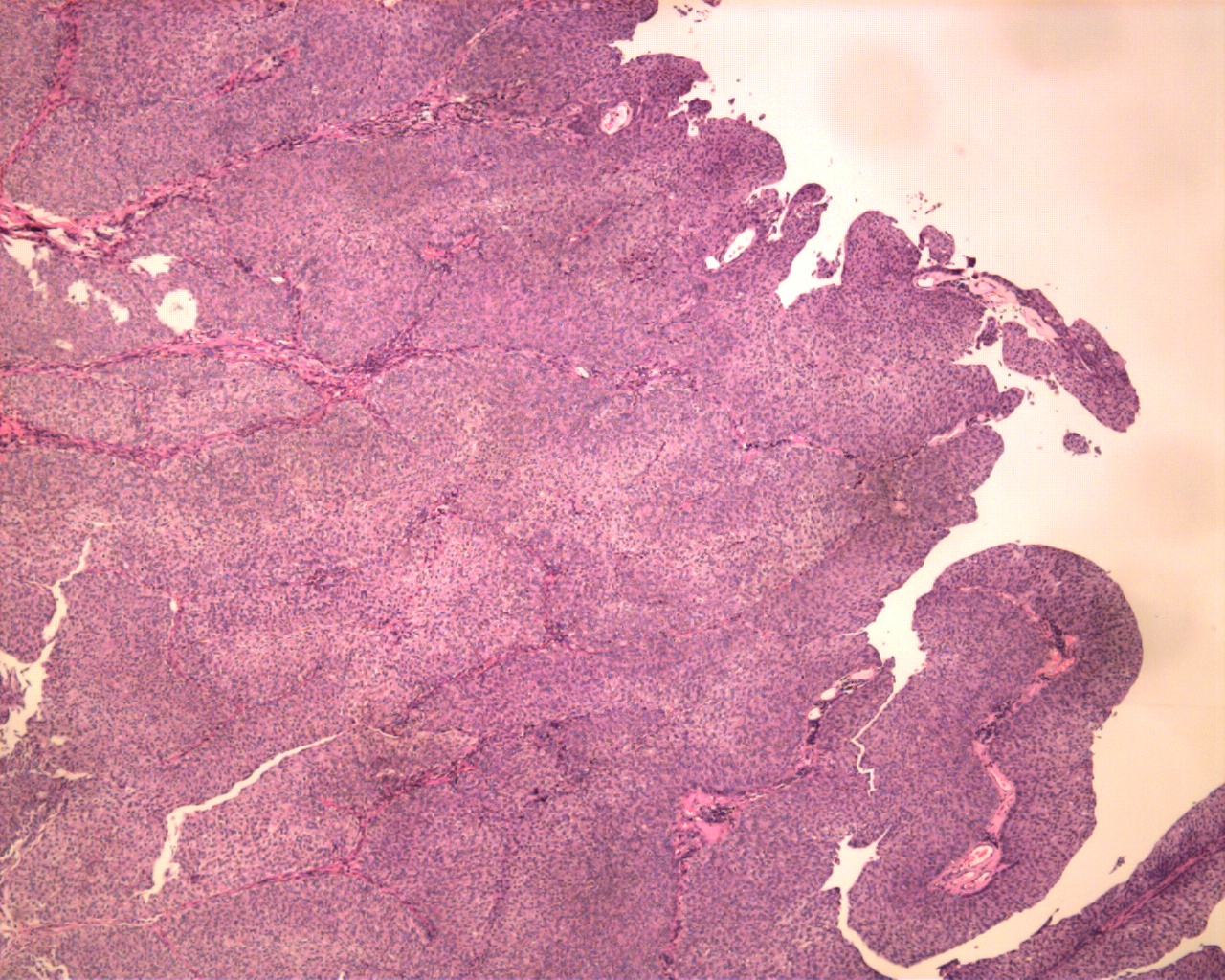
Consensus grade: Low-grade papillary urothelial carcinoma (LG-PUC)

User Diagnosis Difficulty Comment
Pathologist 1 Low-grade papillary urothelial carcinoma (LG-PUC) Typical
Pathologist 2 Low-grade papillary urothelial carcinoma (LG-PUC) Typical
Pathologist 3 Low-grade papillary urothelial carcinoma (LG-PUC) Borderline higher
Pathologist 4 High-grade papillary urothelial carcinoma (HG-PUC) Borderline lower
Pathologist 5 Low-grade papillary urothelial carcinoma (LG-PUC) Typical

Mostly inverted

Pathologist 6 Low-grade papillary urothelial carcinoma (LG-PUC) Typical
Pathologist 7 High-grade papillary urothelial carcinoma (HG-PUC) Borderline lower
Pathologist 8 Low-grade papillary urothelial carcinoma (LG-PUC) Typical
Pathologist 9 Low-grade papillary urothelial carcinoma (LG-PUC) Typical
Pathologist 10 Low-grade papillary urothelial carcinoma (LG-PUC) Typical
Pathologist 11 Low-grade papillary urothelial carcinoma (LG-PUC) Borderline higher
Pathologist 12 Low-grade papillary urothelial carcinoma (LG-PUC) Typical

No specific comment.

Pathologist 13 Low-grade papillary urothelial carcinoma (LG-PUC) Bordering on higher
Pathologist 14 High-grade papillary urothelial carcinoma (HG-PUC) Bordering on lower
Pathologist 15 Low-grade papillary urothelial carcinoma (LG-PUC) Typical
Pathologist 16 Low-grade papillary urothelial carcinoma (LG-PUC) Bordering on higher
Pathologist 17 Low-grade papillary urothelial carcinoma (LG-PUC) Typical
Pathologist 18 Low-grade papillary urothelial carcinoma (LG-PUC) Typical
Pathologist 19 High-grade papillary urothelial carcinoma (HG-PUC) Typical

poor quality low power

Pathologist 20 Low-grade papillary urothelial carcinoma (LG-PUC) Typical
Pathologist 21 Low-grade papillary urothelial carcinoma (LG-PUC) Typical
Pathologist 22 High-grade papillary urothelial carcinoma (HG-PUC) Bordering on higher
Pathologist 23 Low-grade papillary urothelial carcinoma (LG-PUC) Typical
Pathologist 24 High-grade papillary urothelial carcinoma (HG-PUC) Bordering on lower


Case description (by case creator):