Case ID: 616

Publication date: 12 Nov, 2015

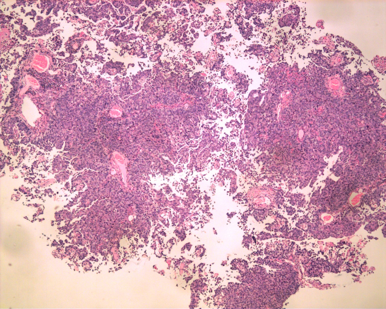
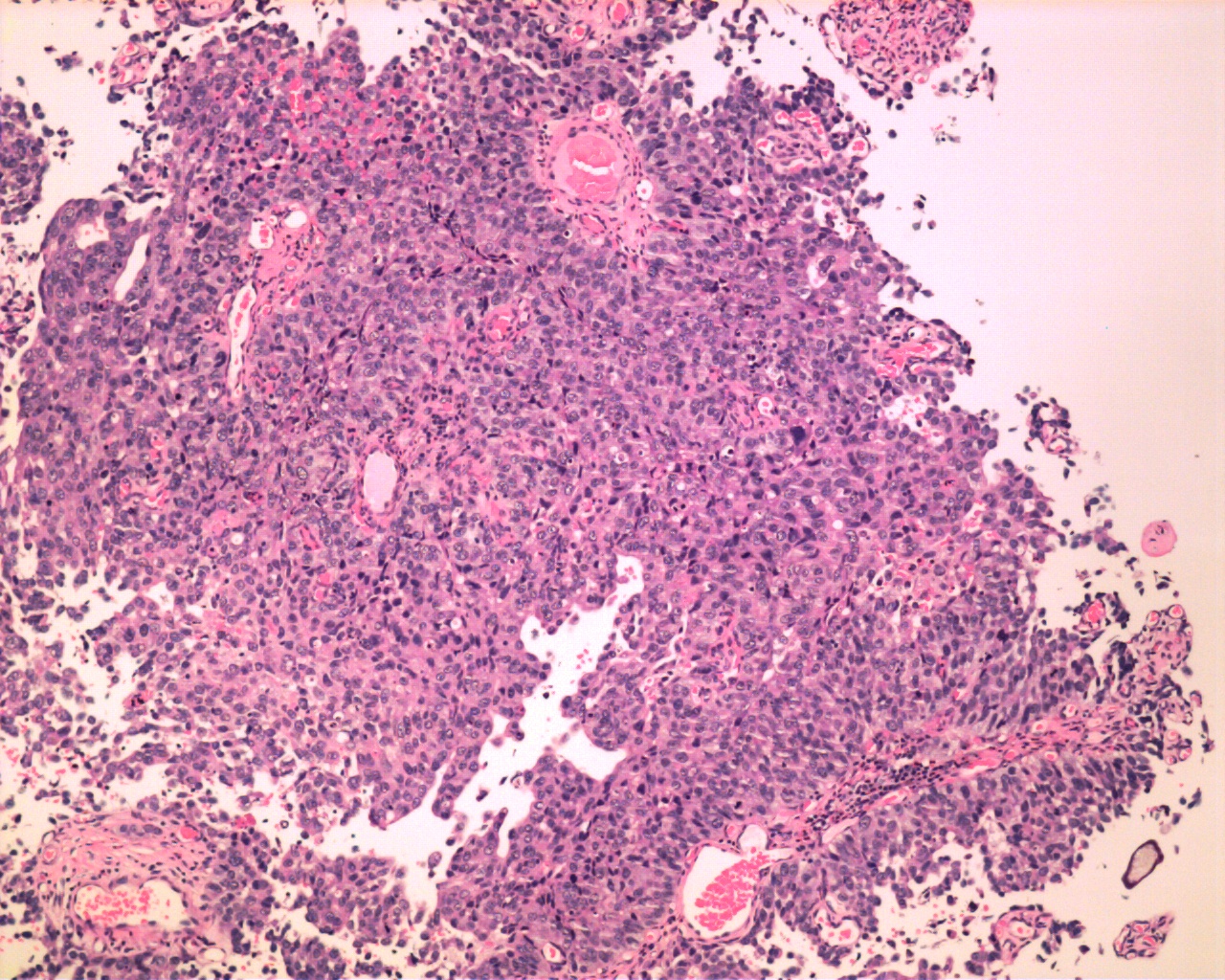
Consensus grade: High-grade papillary urothelial carcinoma (HG-PUC)

User Diagnosis Difficulty Comment
Pathologist 1 High-grade papillary urothelial carcinoma (HG-PUC) Typical
Pathologist 2 High-grade papillary urothelial carcinoma (HG-PUC) Typical
Pathologist 3 High-grade papillary urothelial carcinoma (HG-PUC) Typical
Pathologist 4 High-grade papillary urothelial carcinoma (HG-PUC) Typical
Pathologist 5 High-grade papillary urothelial carcinoma (HG-PUC) Typical
Pathologist 6 High-grade papillary urothelial carcinoma (HG-PUC) Typical
Pathologist 7 High-grade papillary urothelial carcinoma (HG-PUC) Typical
Pathologist 8 High-grade papillary urothelial carcinoma (HG-PUC) Borderline lower
Pathologist 9 High-grade papillary urothelial carcinoma (HG-PUC) Typical
Pathologist 10 High-grade papillary urothelial carcinoma (HG-PUC) Typical
Pathologist 11 High-grade papillary urothelial carcinoma (HG-PUC) Typical

No specific comment.

Pathologist 12 High-grade papillary urothelial carcinoma (HG-PUC) Typical
Pathologist 13 High-grade papillary urothelial carcinoma (HG-PUC) Typical
Pathologist 14 High-grade papillary urothelial carcinoma (HG-PUC) Typical
Pathologist 15 High-grade papillary urothelial carcinoma (HG-PUC) Typical
Pathologist 16 High-grade papillary urothelial carcinoma (HG-PUC) Typical
Pathologist 17 High-grade papillary urothelial carcinoma (HG-PUC) Typical
Pathologist 18 High-grade papillary urothelial carcinoma (HG-PUC) Typical
Pathologist 19 High-grade papillary urothelial carcinoma (HG-PUC) Typical
Pathologist 20 High-grade papillary urothelial carcinoma (HG-PUC) Typical
Pathologist 21 High-grade papillary urothelial carcinoma (HG-PUC) Typical
Pathologist 22 High-grade papillary urothelial carcinoma (HG-PUC) Typical


Case description (by case creator):