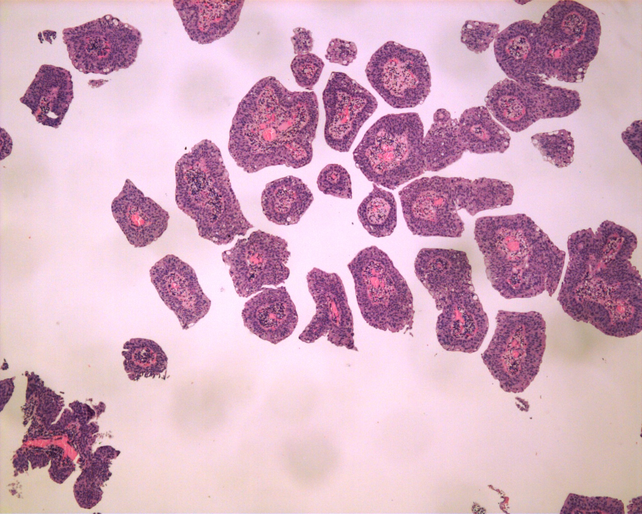
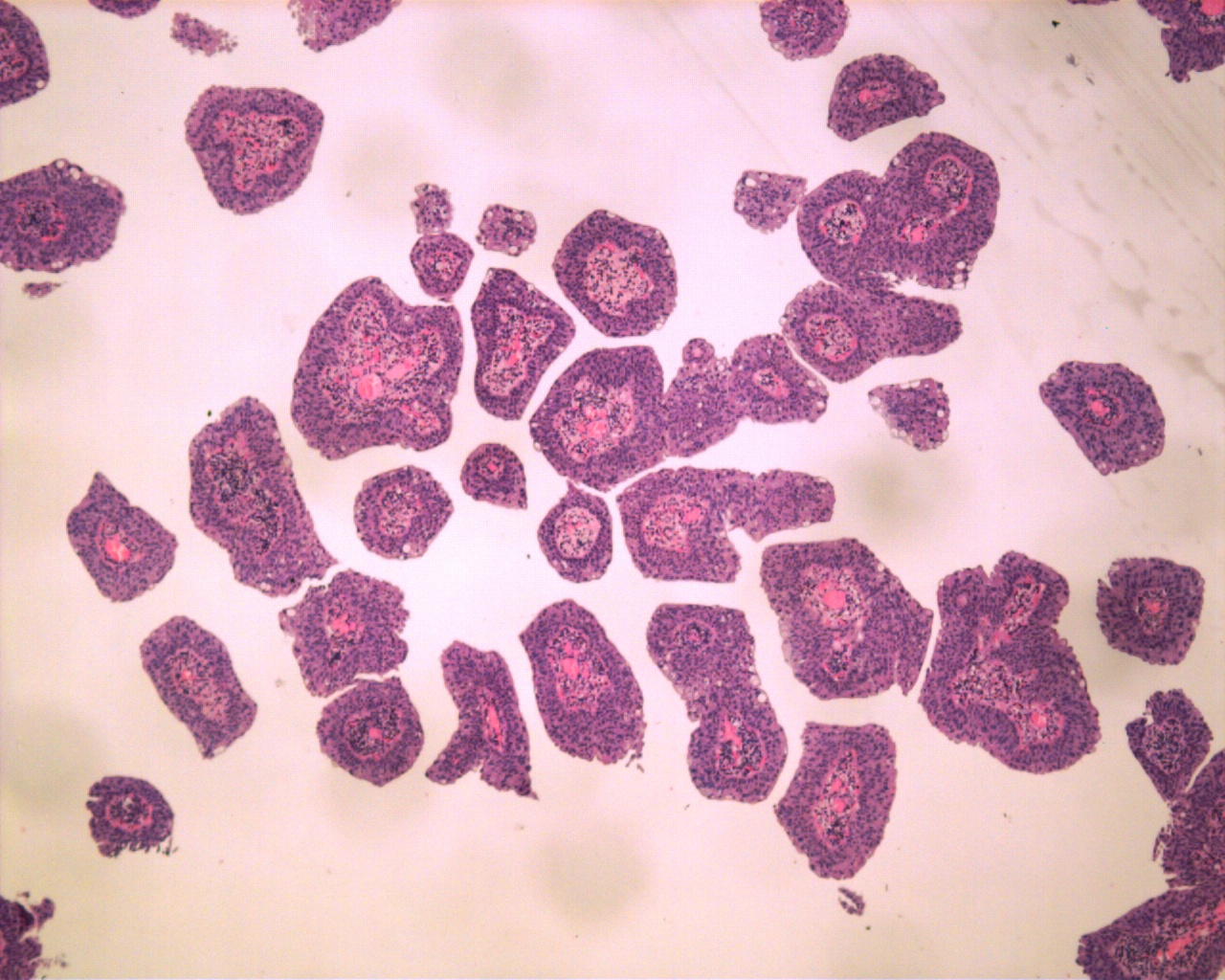
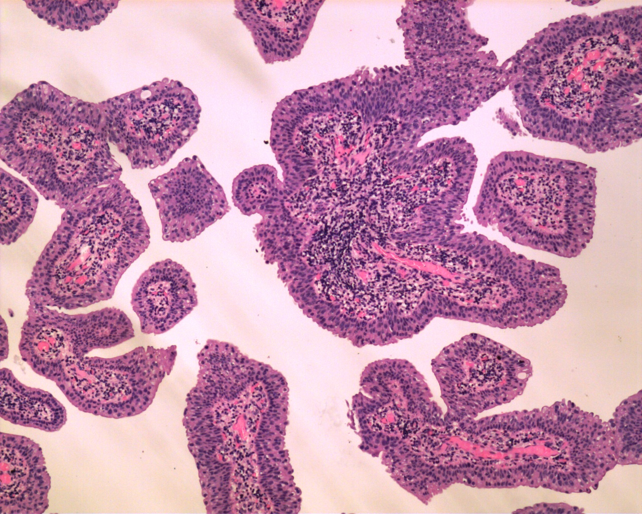
Case ID: 611

Publication date: 12 Nov, 2015

Consensus grade: Papilloma

User Diagnosis Difficulty Comment
Pathologist 1 Low-grade papillary urothelial carcinoma (LG-PUC) Borderline higher
Pathologist 2 Papilloma Typical
Pathologist 3 Low-grade papillary urothelial carcinoma (LG-PUC) Borderline higher
Pathologist 4 PUNLMP Borderline higher
Pathologist 5 Papilloma Typical
Pathologist 6 Low-grade papillary urothelial carcinoma (LG-PUC) Borderline lower
Pathologist 7 Papilloma Typical

typical umbrella cells

Pathologist 8 Papilloma Typical
Pathologist 9 Papilloma Borderline higher
Pathologist 10 Papilloma Borderline lower
Pathologist 11 Papilloma Typical
Pathologist 12 Papilloma Typical

No specific comment.

Pathologist 13 Low-grade papillary urothelial carcinoma (LG-PUC) Bordering on lower
Pathologist 14 Papilloma Typical
Pathologist 15 Papilloma Typical
Pathologist 16 Papilloma Typical
Pathologist 17 Papilloma Typical
Pathologist 18 Papilloma Typical
Pathologist 19 Papilloma Typical
Pathologist 20 PUNLMP Typical
Pathologist 21 Papilloma Typical
Pathologist 22 Papilloma Typical
Pathologist 23 Papilloma Typical


Case description (by case creator):