Case ID: 419
Publication date: 13 Oct, 2015
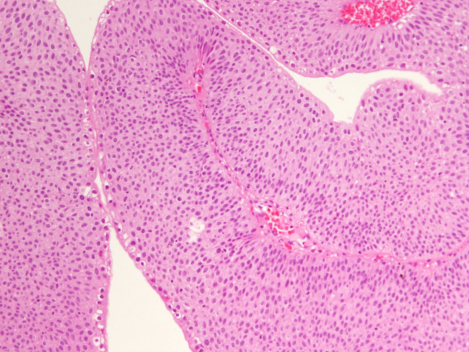
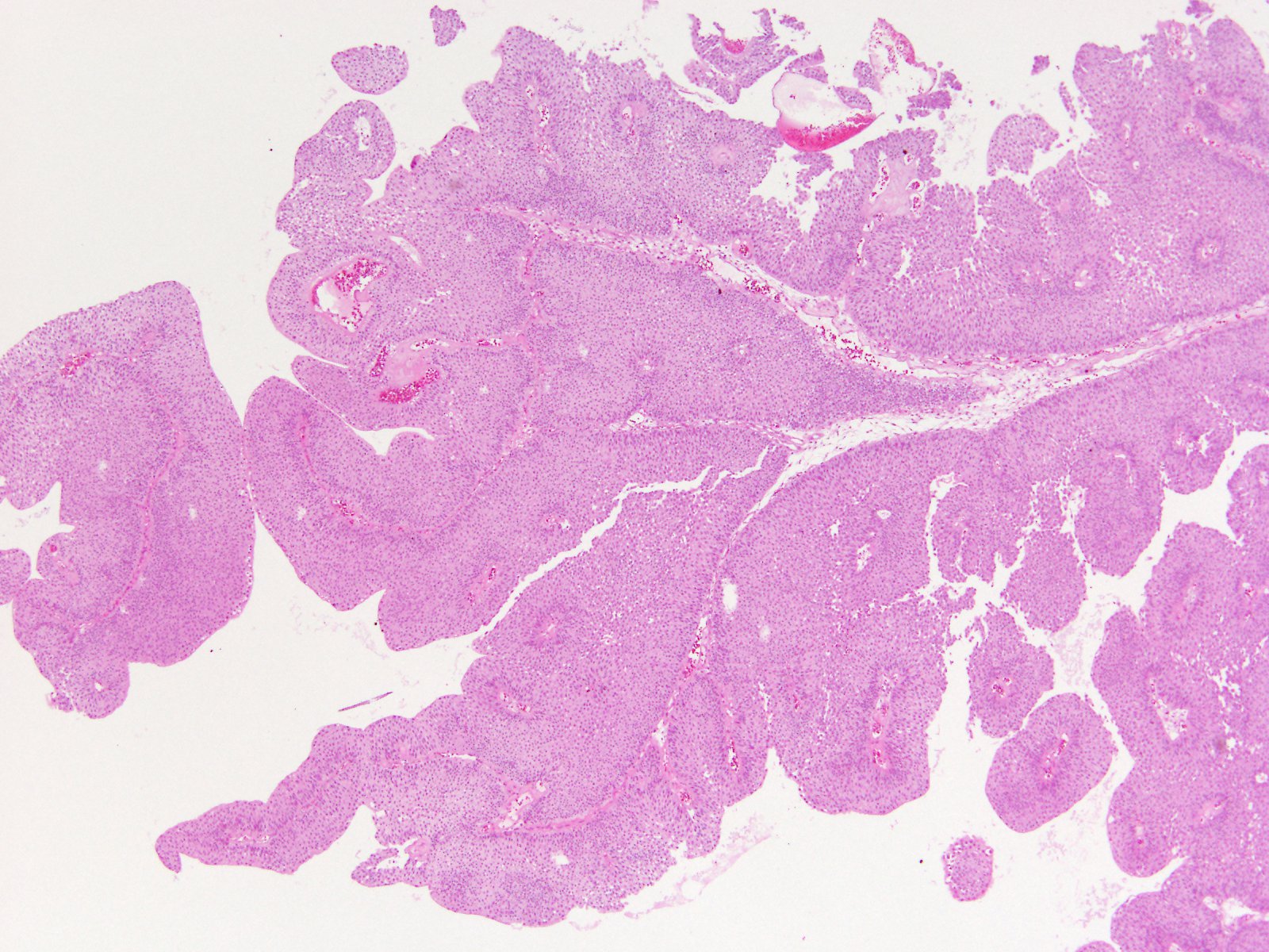
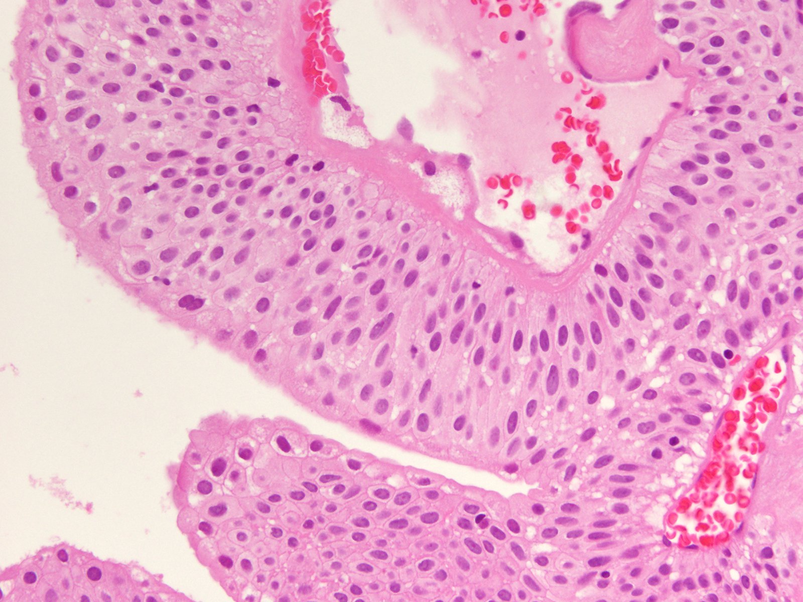
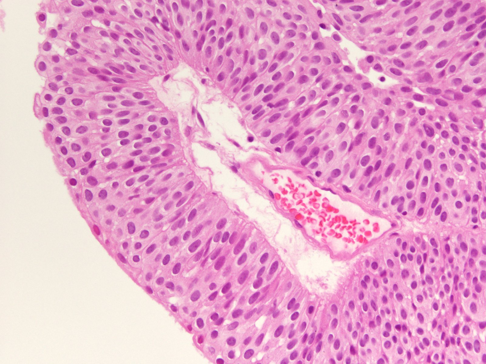
Consensus grade: Low-grade papillary urothelial carcinoma (LG-PUC)
Show diagnosis by expert panel members| User | Diagnosis | Difficulty | Comment |
|---|---|---|---|
| Pathologist 1 | Low-grade papillary urothelial carcinoma (LG-PUC) | Borderline higher | |
| Pathologist 2 | Low-grade papillary urothelial carcinoma (LG-PUC) | Typical | |
| Pathologist 3 | Low-grade papillary urothelial carcinoma (LG-PUC) | Typical | |
| Pathologist 4 | Low-grade papillary urothelial carcinoma (LG-PUC) | Typical | |
| Pathologist 5 | Low-grade papillary urothelial carcinoma (LG-PUC) | Typical | |
| Pathologist 6 | Low-grade papillary urothelial carcinoma (LG-PUC) | Typical | |
| Pathologist 7 | PUNLMP | Typical | |
| Pathologist 8 | Low-grade papillary urothelial carcinoma (LG-PUC) | Borderline higher | |
| Pathologist 9 | Low-grade papillary urothelial carcinoma (LG-PUC) | Typical | |
| Pathologist 10 | Low-grade papillary urothelial carcinoma (LG-PUC) | Typical | |
| Pathologist 11 | Low-grade papillary urothelial carcinoma (LG-PUC) | Typical | |
| Pathologist 12 | Low-grade papillary urothelial carcinoma (LG-PUC) | Typical |
No specific comment. |
| Pathologist 13 | Low-grade papillary urothelial carcinoma (LG-PUC) | Typical | |
| Pathologist 14 | Low-grade papillary urothelial carcinoma (LG-PUC) | Bordering on lower | |
| Pathologist 15 | Low-grade papillary urothelial carcinoma (LG-PUC) | Typical | |
| Pathologist 16 | Low-grade papillary urothelial carcinoma (LG-PUC) | Typical | |
| Pathologist 17 | Low-grade papillary urothelial carcinoma (LG-PUC) | Typical | |
| Pathologist 18 | Low-grade papillary urothelial carcinoma (LG-PUC) | Typical |
would call it LG, but PUNLMP is an option. I thought there are too many layers to call it PUNLMP |
| Pathologist 19 | Low-grade papillary urothelial carcinoma (LG-PUC) | Typical | |
| Pathologist 20 | Low-grade papillary urothelial carcinoma (LG-PUC) | Bordering on lower | |
| Pathologist 21 | Low-grade papillary urothelial carcinoma (LG-PUC) | Typical | |
| Pathologist 22 | Low-grade papillary urothelial carcinoma (LG-PUC) | Bordering on higher |
borderline between PUNLMP and LGPUC |
Case description (by case creator):
71 y/o, bladder tumor.
