Case ID: 430
Publication date: 13 Oct, 2015
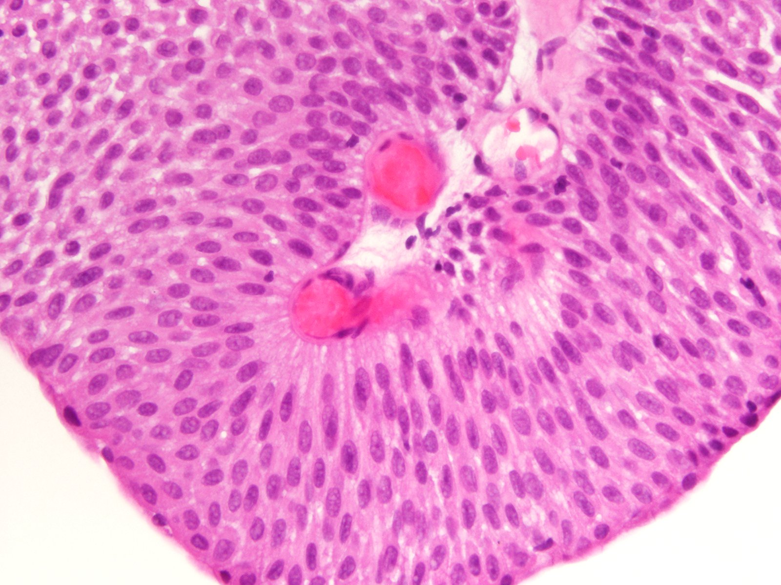
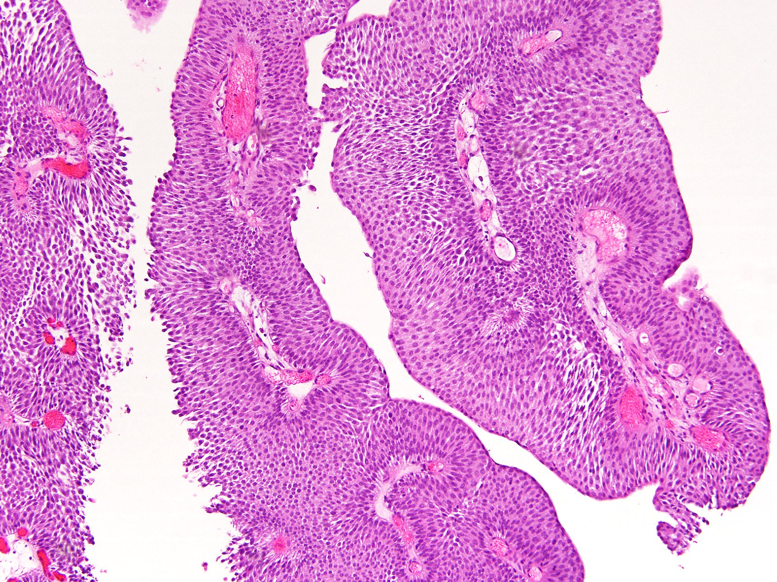
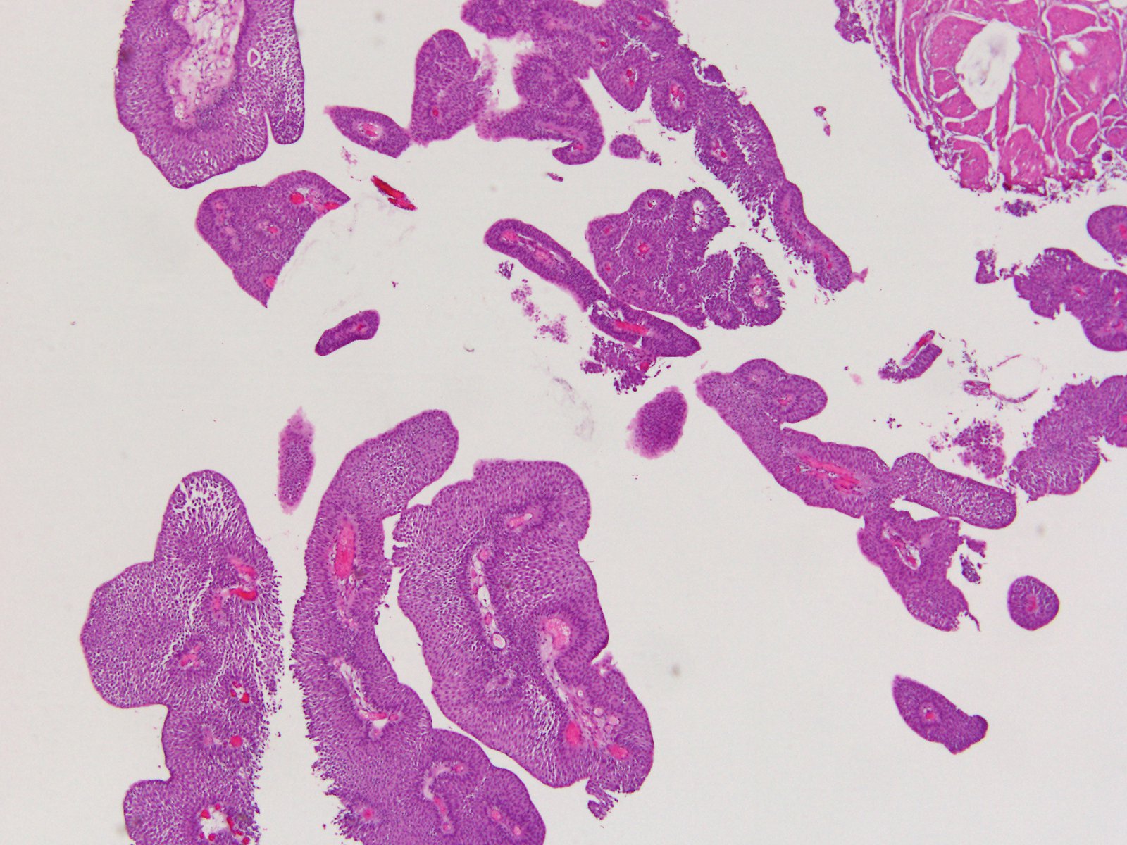
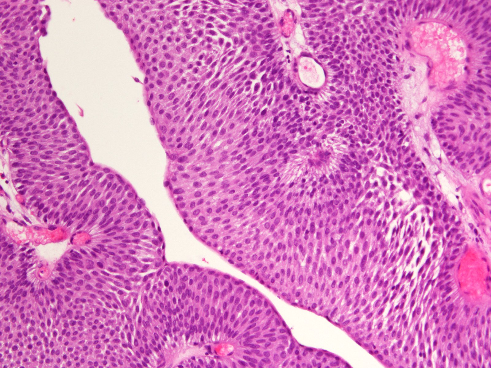
Consensus grade: PUNLMP
Show diagnosis by expert panel members| User | Diagnosis | Difficulty | Comment |
|---|---|---|---|
| Pathologist 1 | PUNLMP | Borderline higher | |
| Pathologist 2 | PUNLMP | Typical | |
| Pathologist 3 | Low-grade papillary urothelial carcinoma (LG-PUC) | Borderline lower | |
| Pathologist 4 | Low-grade papillary urothelial carcinoma (LG-PUC) | Typical | |
| Pathologist 5 | PUNLMP | Typical | |
| Pathologist 6 | PUNLMP | Typical | |
| Pathologist 7 | PUNLMP | Typical | |
| Pathologist 8 | PUNLMP | Typical | |
| Pathologist 9 | PUNLMP | Typical | |
| Pathologist 10 | Low-grade papillary urothelial carcinoma (LG-PUC) | Typical | |
| Pathologist 11 | PUNLMP | Bordering on higher | |
| Pathologist 12 | PUNLMP | Typical | |
| Pathologist 13 | Low-grade papillary urothelial carcinoma (LG-PUC) | Typical |
No specific comment. |
| Pathologist 14 | PUNLMP | Typical | |
| Pathologist 15 | PUNLMP | Bordering on higher | |
| Pathologist 16 | PUNLMP | Typical | |
| Pathologist 17 | PUNLMP | Typical | |
| Pathologist 18 | Low-grade papillary urothelial carcinoma (LG-PUC) | Typical |
you can hesitate with PUNLMP |
| Pathologist 19 | PUNLMP | Typical | |
| Pathologist 20 | PUNLMP | Typical | |
| Pathologist 21 | PUNLMP | Typical | |
| Pathologist 22 | PUNLMP | Typical | |
| Pathologist 23 | PUNLMP | Typical |
Case description (by case creator):
87 y/o. Bladder tumor.
