Pathology
Imagebase
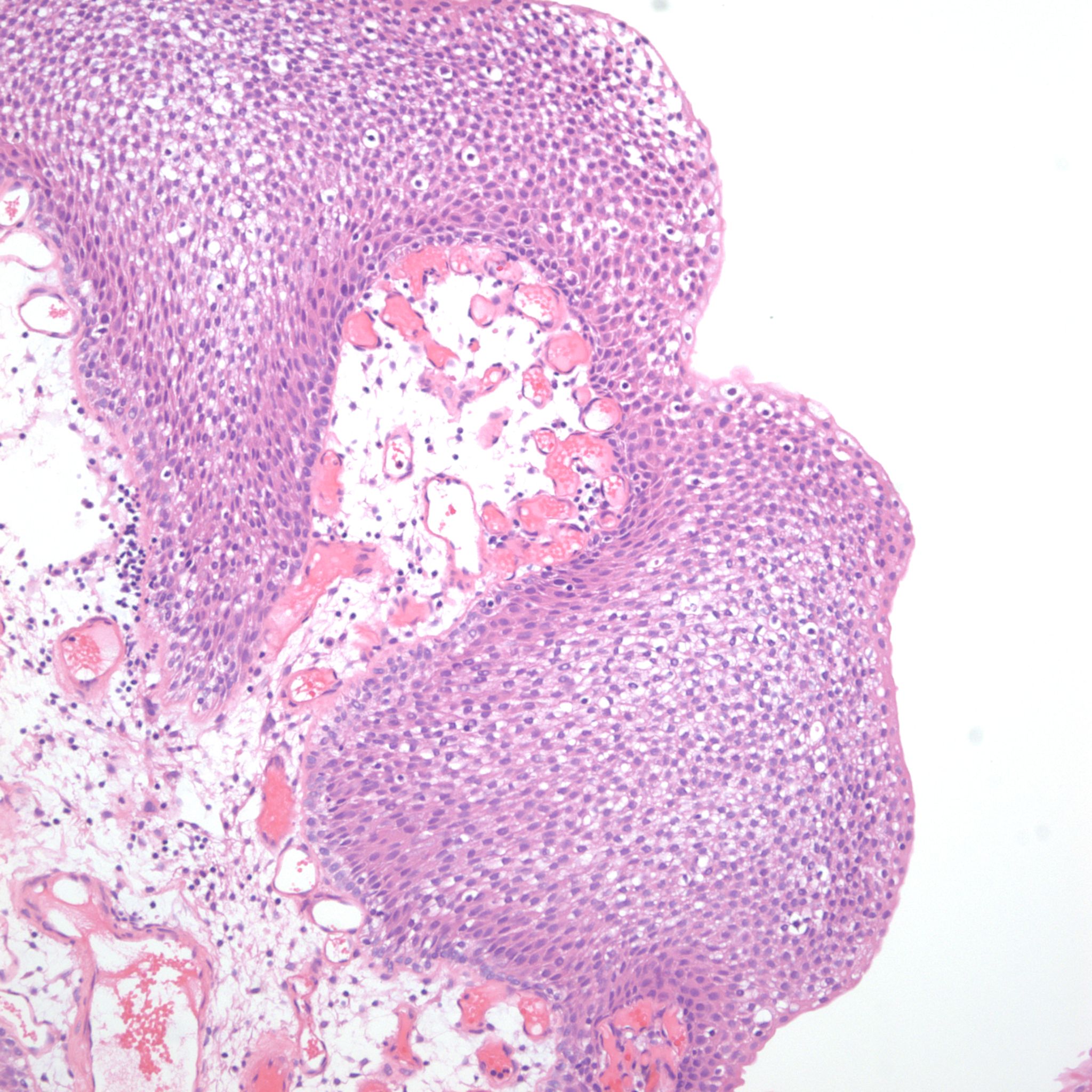
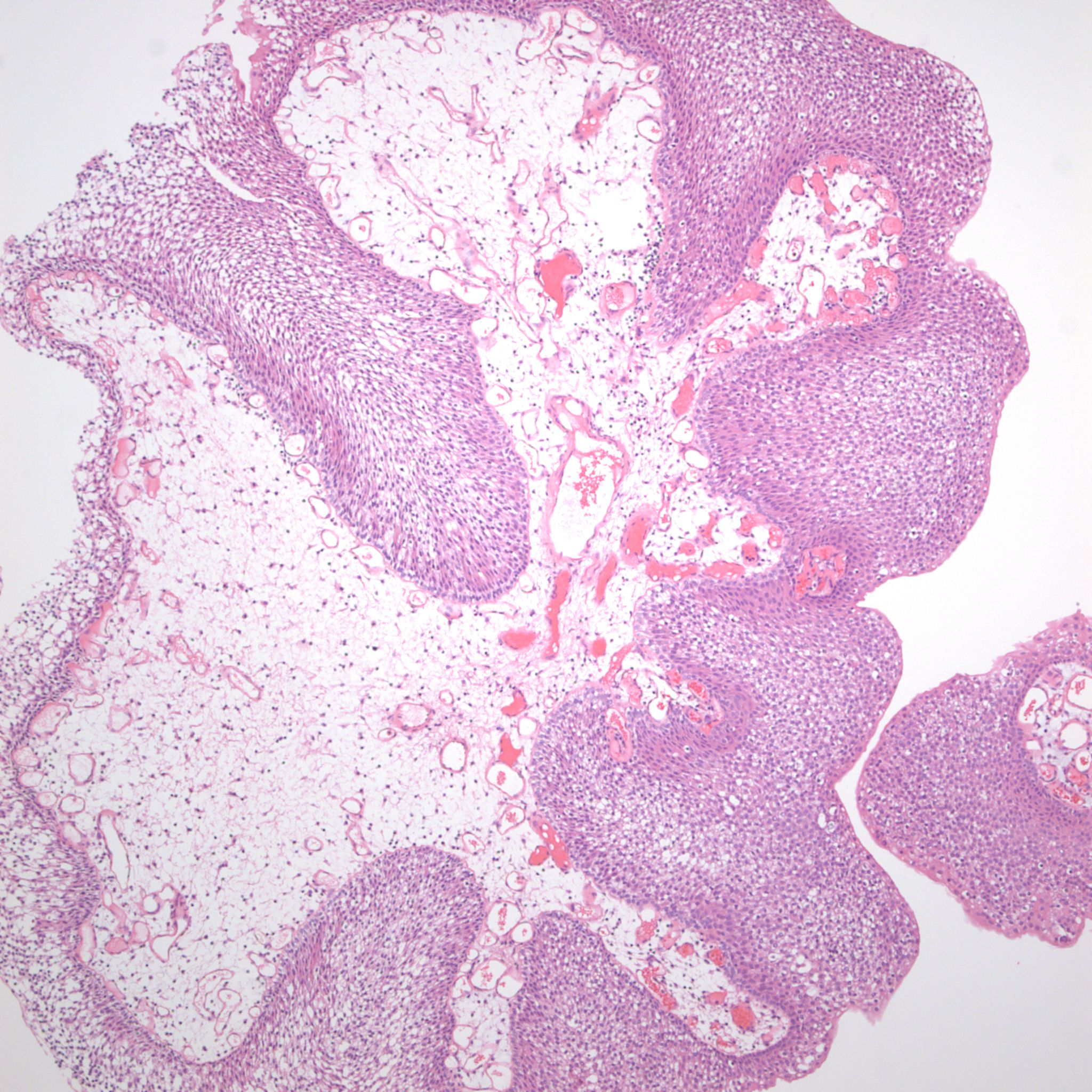
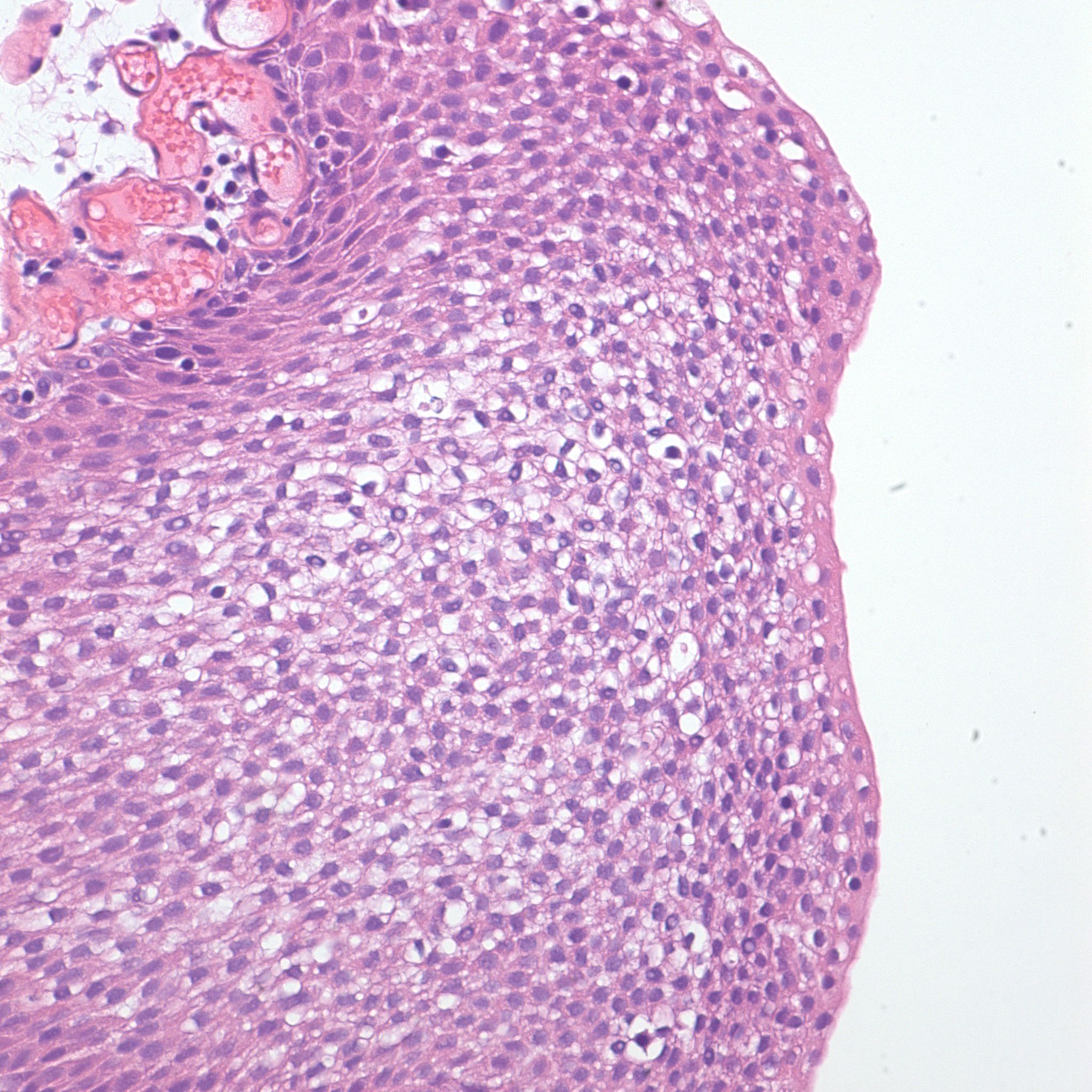
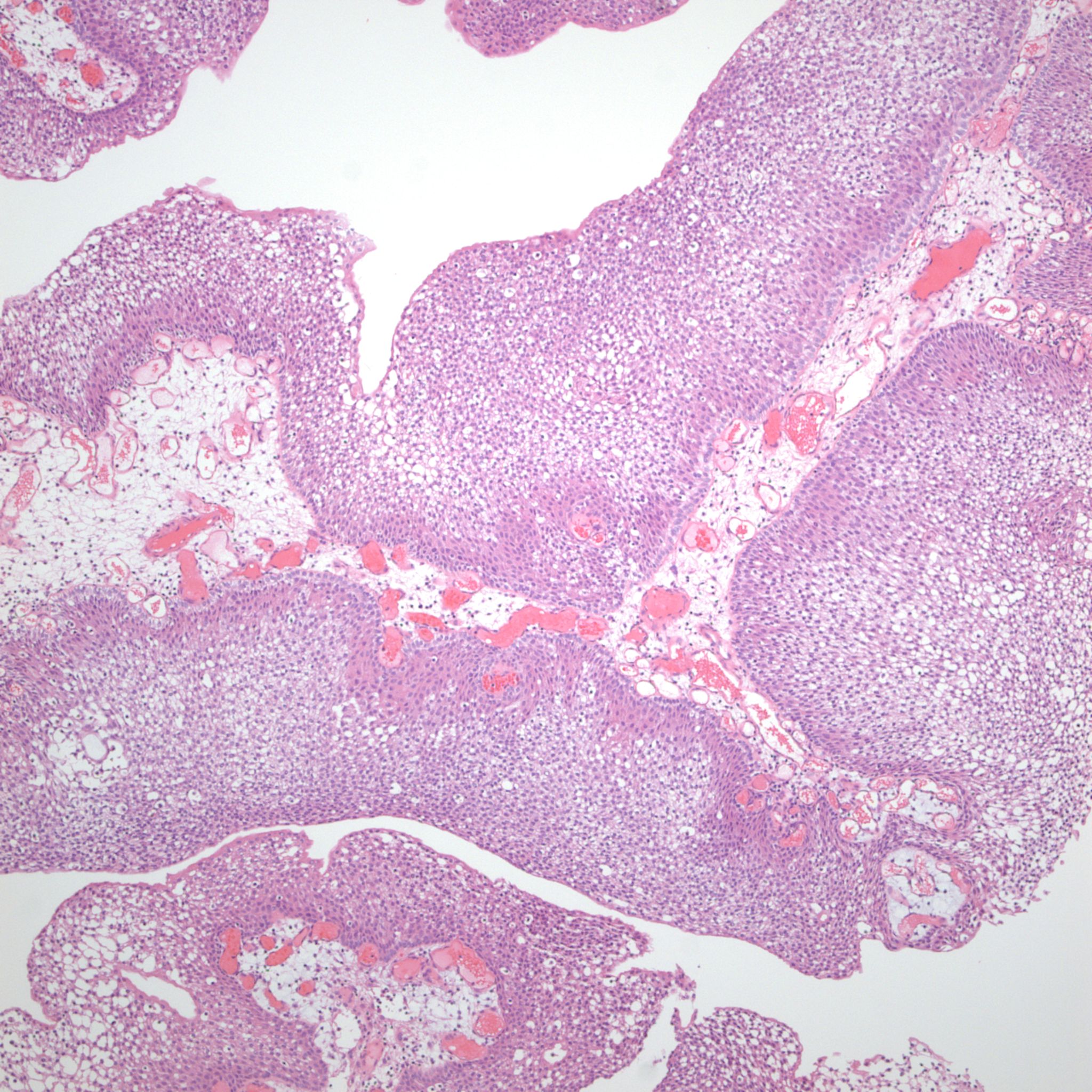
Bladder Papillary Lesions
Toggle navigation
Cases
FAQ
About
<< Back to overview
Case ID: 315
Publication date:
12 Oct, 2015
Enter your grading and compare to the grading of the panel group
- Select -
Papilloma
PUNLMP
Low-grade papillary urothelial carcinoma (LG-PUC)
High-grade papillary urothelial carcinoma (HG-PUC)
Evaluate