Case ID: 128
Publication date: 05 Oct, 2015
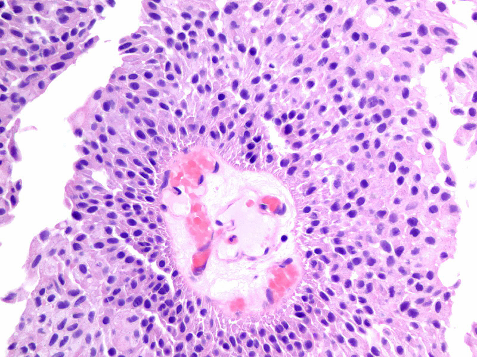
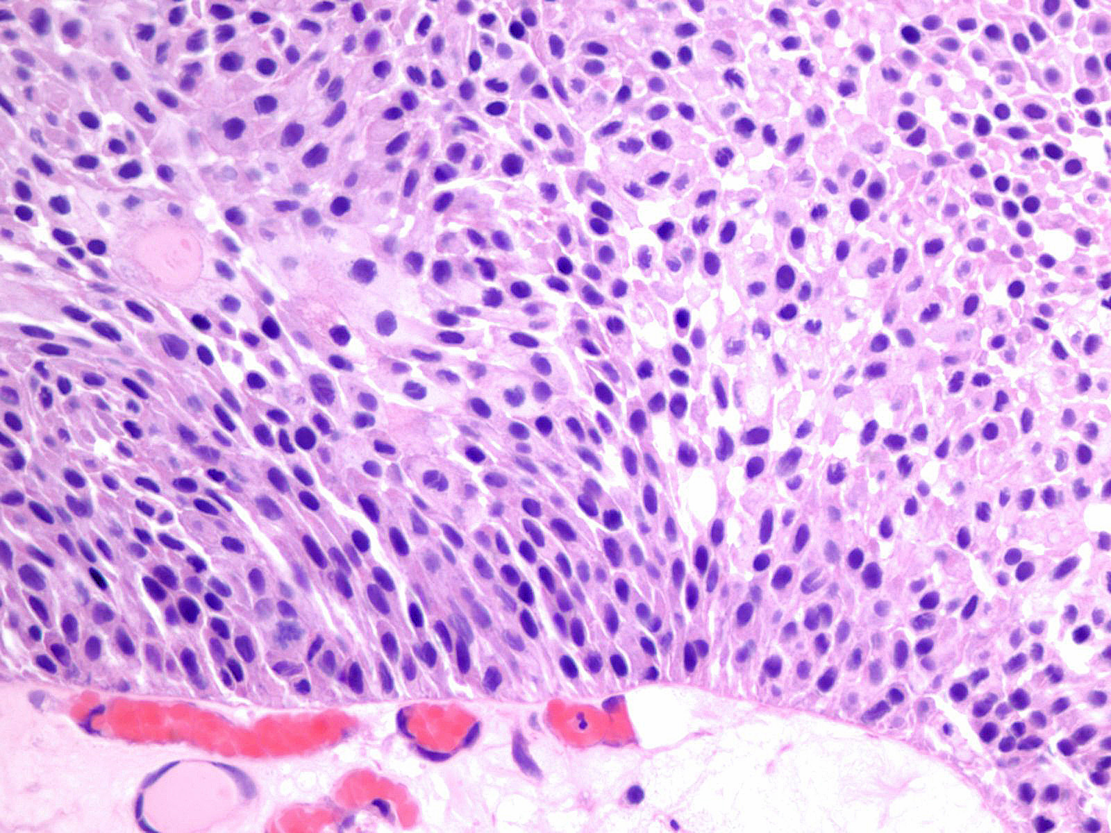
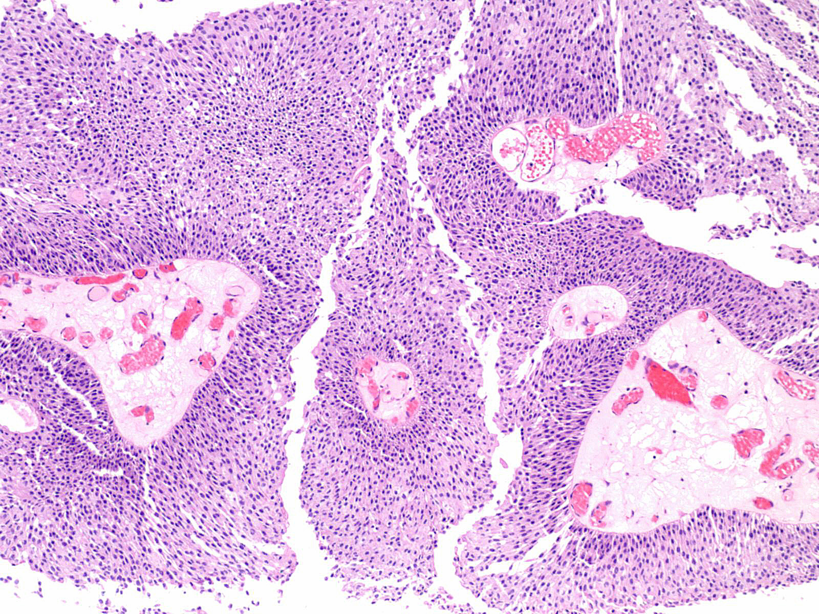
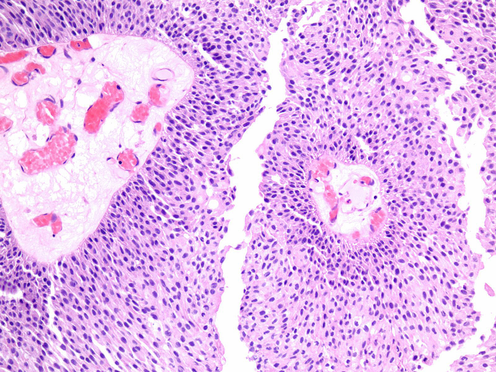
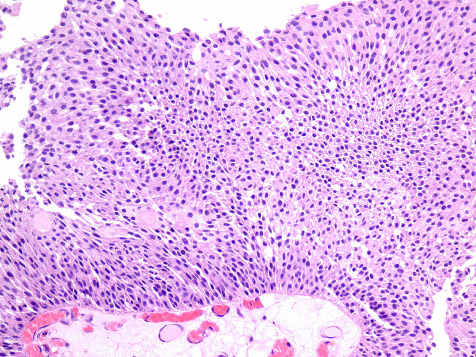
Consensus grade: Low-grade papillary urothelial carcinoma (LG-PUC)
Show diagnosis by expert panel members| User | Diagnosis | Difficulty | Comment |
|---|---|---|---|
| Pathologist 1 | Low-grade papillary urothelial carcinoma (LG-PUC) | Typical | |
| Pathologist 2 | Low-grade papillary urothelial carcinoma (LG-PUC) | Typical | |
| Pathologist 3 | Low-grade papillary urothelial carcinoma (LG-PUC) | Borderline lower | |
| Pathologist 4 | Low-grade papillary urothelial carcinoma (LG-PUC) | Borderline higher | |
| Pathologist 5 | Low-grade papillary urothelial carcinoma (LG-PUC) | Typical | |
| Pathologist 6 | High-grade papillary urothelial carcinoma (HG-PUC) | Typical | |
| Pathologist 7 | Low-grade papillary urothelial carcinoma (LG-PUC) | Typical | |
| Pathologist 8 | PUNLMP | Typical | |
| Pathologist 9 | Low-grade papillary urothelial carcinoma (LG-PUC) | Typical | |
| Pathologist 10 | Low-grade papillary urothelial carcinoma (LG-PUC) | Borderline lower | |
| Pathologist 11 | Low-grade papillary urothelial carcinoma (LG-PUC) | Typical |
No specific comment. |
| Pathologist 12 | Low-grade papillary urothelial carcinoma (LG-PUC) | Typical | |
| Pathologist 13 | Low-grade papillary urothelial carcinoma (LG-PUC) | Typical | |
| Pathologist 14 | High-grade papillary urothelial carcinoma (HG-PUC) | Bordering on lower | |
| Pathologist 15 | PUNLMP | Typical | |
| Pathologist 16 | Low-grade papillary urothelial carcinoma (LG-PUC) | Typical | |
| Pathologist 17 | Low-grade papillary urothelial carcinoma (LG-PUC) | Typical | |
| Pathologist 18 | Low-grade papillary urothelial carcinoma (LG-PUC) | Bordering on lower | |
| Pathologist 19 | Low-grade papillary urothelial carcinoma (LG-PUC) | Typical | |
| Pathologist 20 | Low-grade papillary urothelial carcinoma (LG-PUC) | Typical | |
| Pathologist 21 | Low-grade papillary urothelial carcinoma (LG-PUC) | Bordering on lower | |
| Pathologist 22 | Low-grade papillary urothelial carcinoma (LG-PUC) | Bordering on higher |
mostly still LG |
| Pathologist 23 | High-grade papillary urothelial carcinoma (HG-PUC) | Bordering on lower |
Case description (by case creator):
Lesion shows moderate variation in nuclear size, shape and chromatin. Scattered nuclei are significantly enlarged and hyperchromatic relative to other nuclei. Lesion still maintains an overall orderly appearance.
