Case ID: 92
Publication date: 22 Sep, 2015
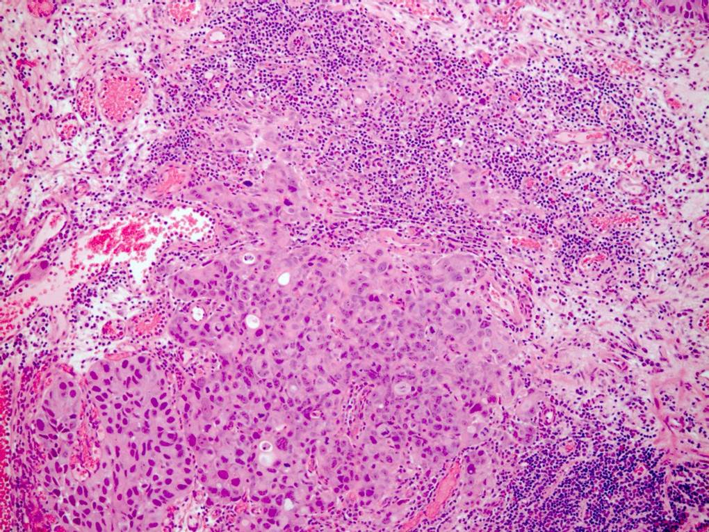
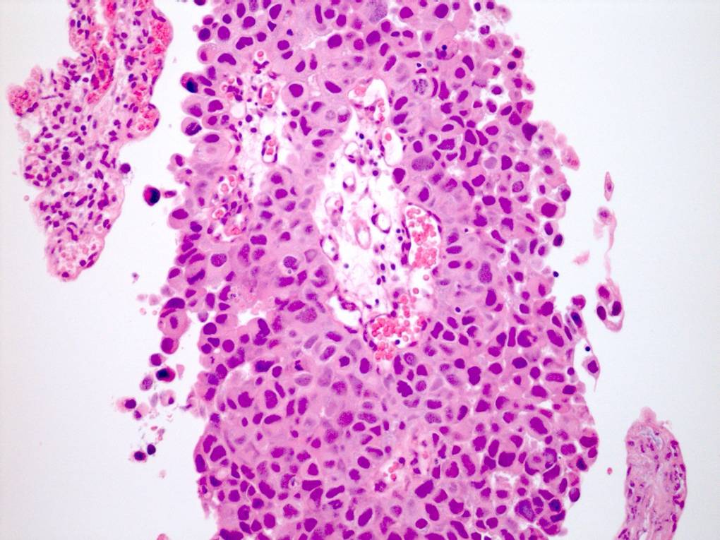
Consensus grade: High-grade papillary urothelial carcinoma (HG-PUC)
Show diagnosis by expert panel members| User | Diagnosis | Difficulty | Comment |
|---|---|---|---|
| Pathologist 1 | High-grade papillary urothelial carcinoma (HG-PUC) | Typical | |
| Pathologist 2 | High-grade papillary urothelial carcinoma (HG-PUC) | Typical | |
| Pathologist 3 | High-grade papillary urothelial carcinoma (HG-PUC) | Typical | |
| Pathologist 4 | High-grade papillary urothelial carcinoma (HG-PUC) | Typical | |
| Pathologist 5 | High-grade papillary urothelial carcinoma (HG-PUC) | Typical | |
| Pathologist 6 | High-grade papillary urothelial carcinoma (HG-PUC) | Typical | |
| Pathologist 7 | High-grade papillary urothelial carcinoma (HG-PUC) | Borderline lower | |
| Pathologist 8 | High-grade papillary urothelial carcinoma (HG-PUC) | Borderline lower |
invasive |
| Pathologist 9 | High-grade papillary urothelial carcinoma (HG-PUC) | Typical | |
| Pathologist 10 | High-grade papillary urothelial carcinoma (HG-PUC) | Typical |
No specific comment. |
| Pathologist 11 | High-grade papillary urothelial carcinoma (HG-PUC) | Typical |
invasive? would remove last image |
| Pathologist 12 | High-grade papillary urothelial carcinoma (HG-PUC) | Typical | |
| Pathologist 13 | High-grade papillary urothelial carcinoma (HG-PUC) | Typical | |
| Pathologist 14 | High-grade papillary urothelial carcinoma (HG-PUC) | Typical | |
| Pathologist 15 | High-grade papillary urothelial carcinoma (HG-PUC) | Typical |
would ask for recuts, if pT1 |
| Pathologist 16 | High-grade papillary urothelial carcinoma (HG-PUC) | Typical | |
| Pathologist 17 | High-grade papillary urothelial carcinoma (HG-PUC) | Typical |
This cases seems to invade the lamina propria. |
| Pathologist 18 | High-grade papillary urothelial carcinoma (HG-PUC) | Typical |
This case is invasive urothelial carcinoma |
| Pathologist 19 | High-grade papillary urothelial carcinoma (HG-PUC) | Typical |
Also shows lamina propria invasion |
| Pathologist 20 | High-grade papillary urothelial carcinoma (HG-PUC) | Typical |
High grade papillary urothelial carcinoma with invasion of lamina propria |
| Pathologist 21 | High-grade papillary urothelial carcinoma (HG-PUC) | Typical |
Case description (by case creator):
61 year old male. History of haematuria. Diagnosis = high grade papillary urothelial carcinoma with lamina propria invasion.
