Case ID: 422

Publication date: 31 Dec, 2015

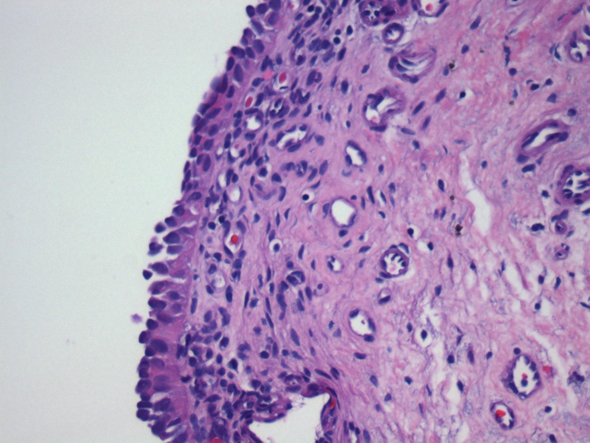
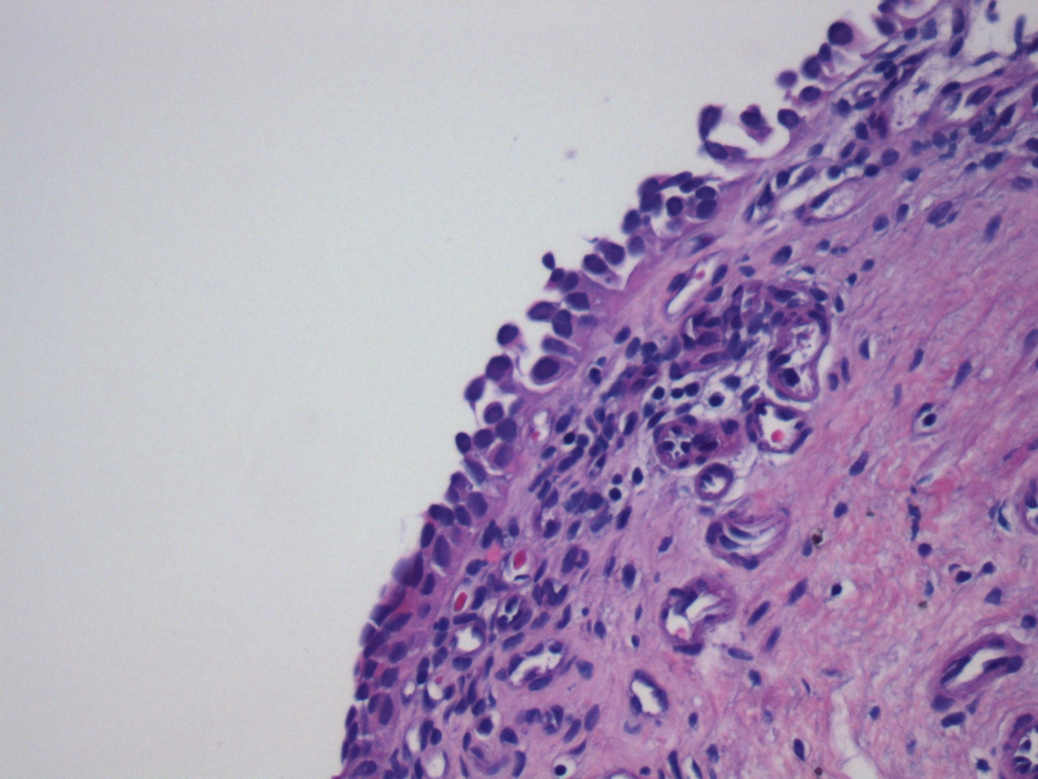
Consensus grade: Carcinoma in situ (CIS)

User Diagnosis Difficulty Comment
Pathologist 1 Carcinoma in situ (CIS) Typical
Pathologist 2 Carcinoma in situ (CIS) Typical
Pathologist 3 Carcinoma in situ (CIS) Typical
Pathologist 4 Carcinoma in situ (CIS) Typical

No specific comment.

Pathologist 5 Carcinoma in situ (CIS) Borderline higher
Pathologist 6 Carcinoma in situ (CIS) Borderline lower
Pathologist 7 Carcinoma in situ (CIS) Typical
Pathologist 8 Carcinoma in situ (CIS) Typical
Pathologist 9 Carcinoma in situ (CIS) Typical
Pathologist 10 Carcinoma in situ (CIS) Typical
Pathologist 11 Carcinoma in situ (CIS) Typical
Pathologist 12 Carcinoma in situ (CIS) Typical
Pathologist 13 Carcinoma in situ (CIS) Borderline higher
Pathologist 14 Carcinoma in situ (CIS) Typical
Pathologist 15 Carcinoma in situ (CIS) Typical
Pathologist 16 Atypia/dysplasia Borderline higher

nuclei not large enough

Pathologist 17 Carcinoma in situ (CIS) Typical
Pathologist 18 Carcinoma in situ (CIS) Typical
Pathologist 19 Carcinoma in situ (CIS) Typical


Case description (by case creator):

Prominent loss of cohesion of highly atypical urothelial cells