Case ID: 403
Publication date: 31 Dec, 2015
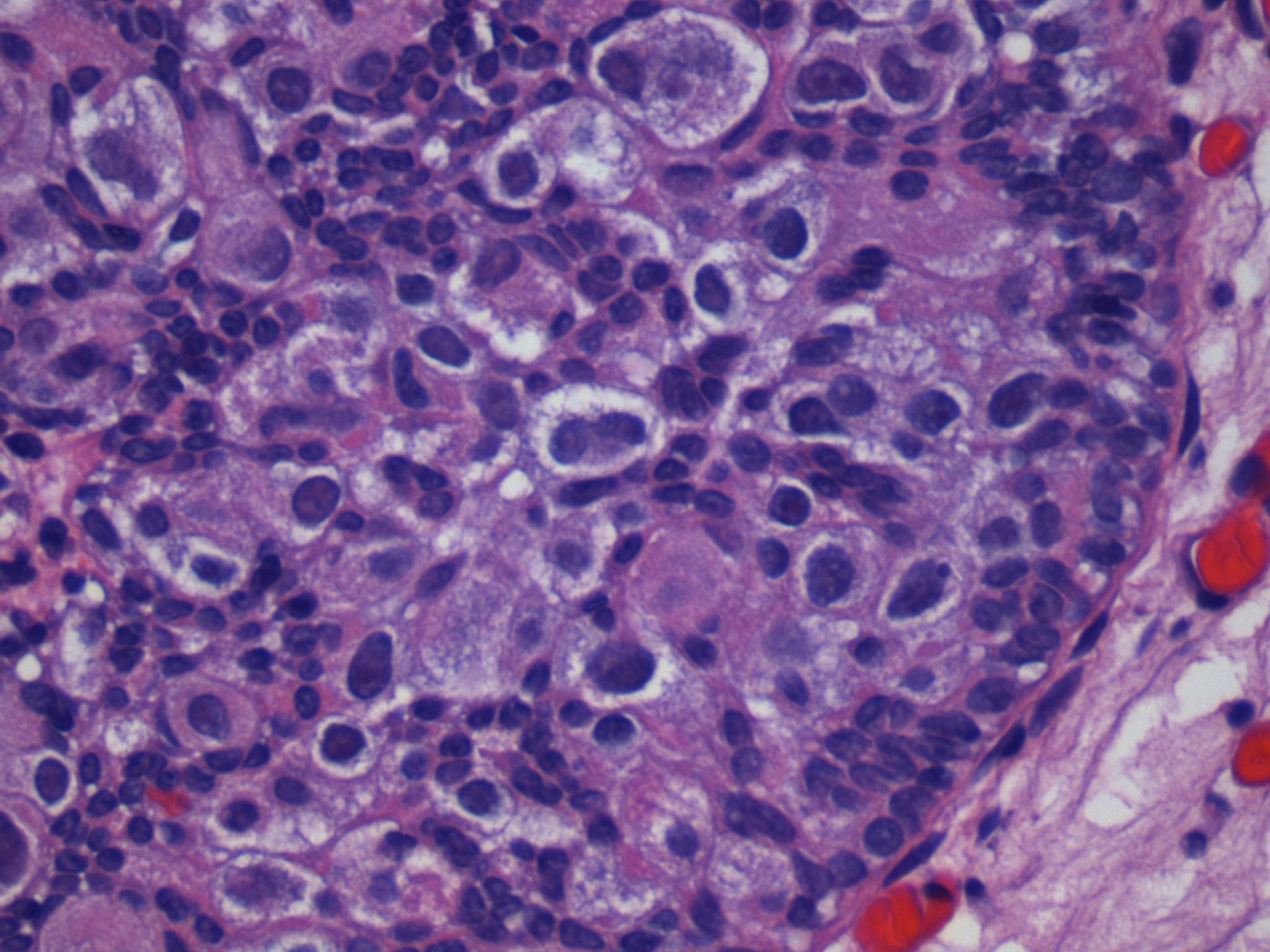
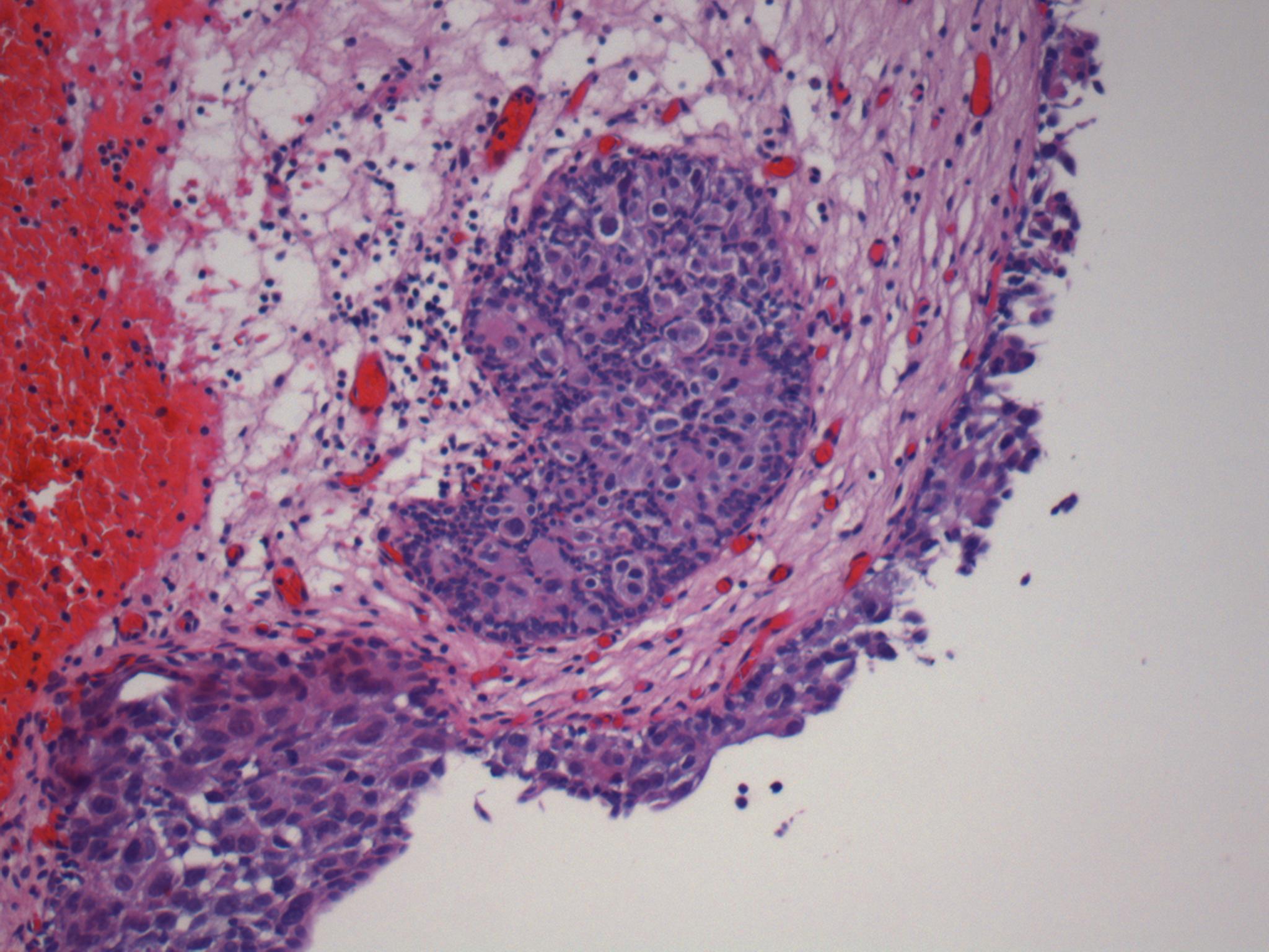
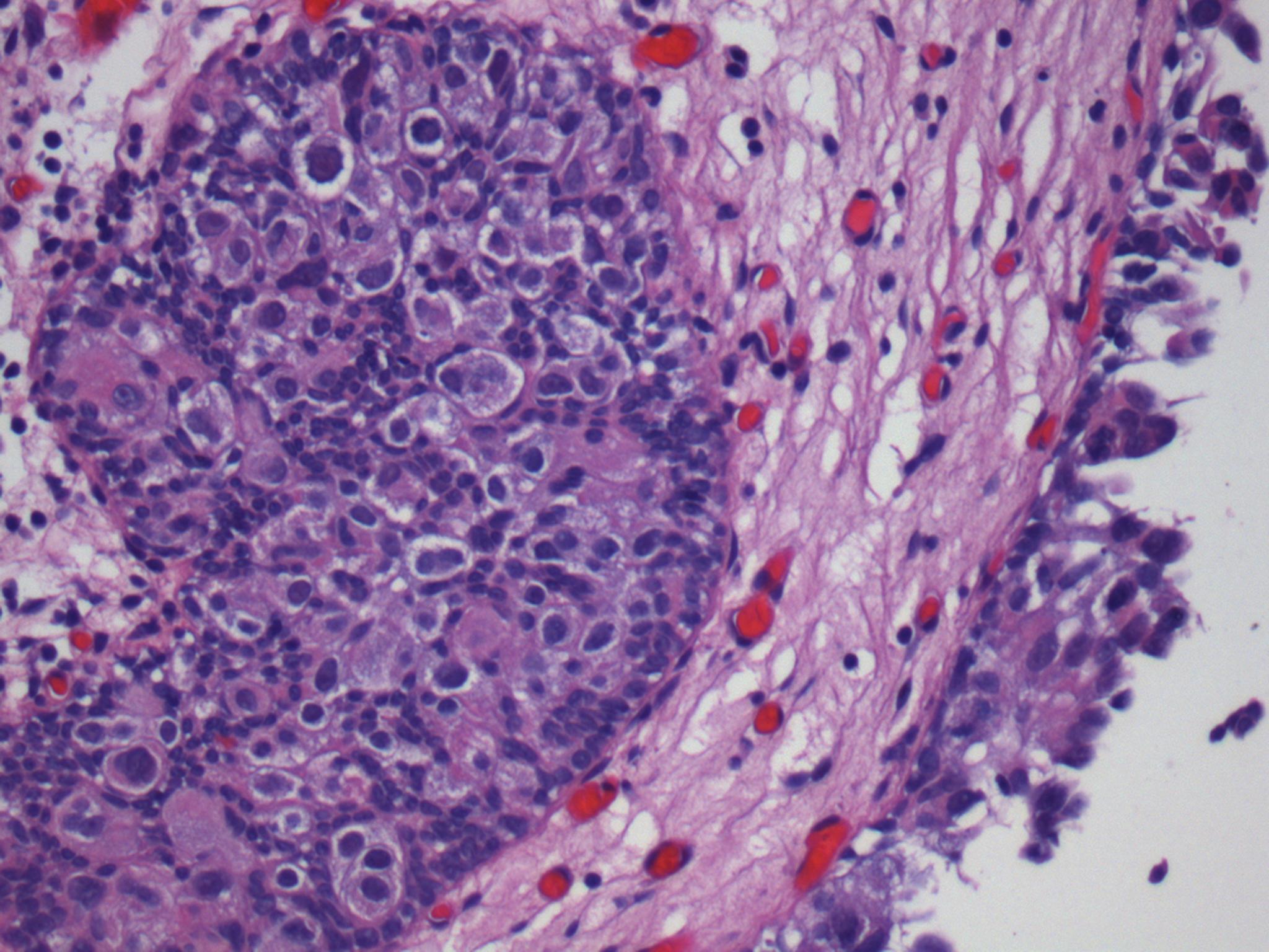
Consensus grade: Carcinoma in situ (CIS)
Show diagnosis by expert panel members| User | Diagnosis | Difficulty | Comment |
|---|---|---|---|
| Pathologist 1 | Carcinoma in situ (CIS) | Typical | |
| Pathologist 2 | Carcinoma in situ (CIS) | Typical |
Pagetoid spread into von Brunn's nest |
| Pathologist 3 | Carcinoma in situ (CIS) | Typical | |
| Pathologist 4 | Carcinoma in situ (CIS) | Typical |
No specific comment. |
| Pathologist 5 | Carcinoma in situ (CIS) | Borderline lower | |
| Pathologist 6 | Carcinoma in situ (CIS) | Typical | |
| Pathologist 7 | Carcinoma in situ (CIS) | Typical | |
| Pathologist 8 | Carcinoma in situ (CIS) | Typical | |
| Pathologist 9 | Carcinoma in situ (CIS) | Typical | |
| Pathologist 10 | Carcinoma in situ (CIS) | Typical | |
| Pathologist 11 | Carcinoma in situ (CIS) | Typical | |
| Pathologist 12 | Carcinoma in situ (CIS) | Typical |
partially pagetoid |
| Pathologist 13 | Carcinoma in situ (CIS) | Typical | |
| Pathologist 14 | Carcinoma in situ (CIS) | Typical | |
| Pathologist 15 | Carcinoma in situ (CIS) | Typical | |
| Pathologist 16 | Carcinoma in situ (CIS) | Typical |
pagetoid |
| Pathologist 17 | Carcinoma in situ (CIS) | Typical | |
| Pathologist 18 | Carcinoma in situ (CIS) | Typical | |
| Pathologist 19 | Carcinoma in situ (CIS) | Typical |
Case description (by case creator):
Pagetoid involvement of von Brunn nests by malignant cells. The surface urothelium displays loss of cohesion
