Case ID: 381
Publication date: 28 Dec, 2015
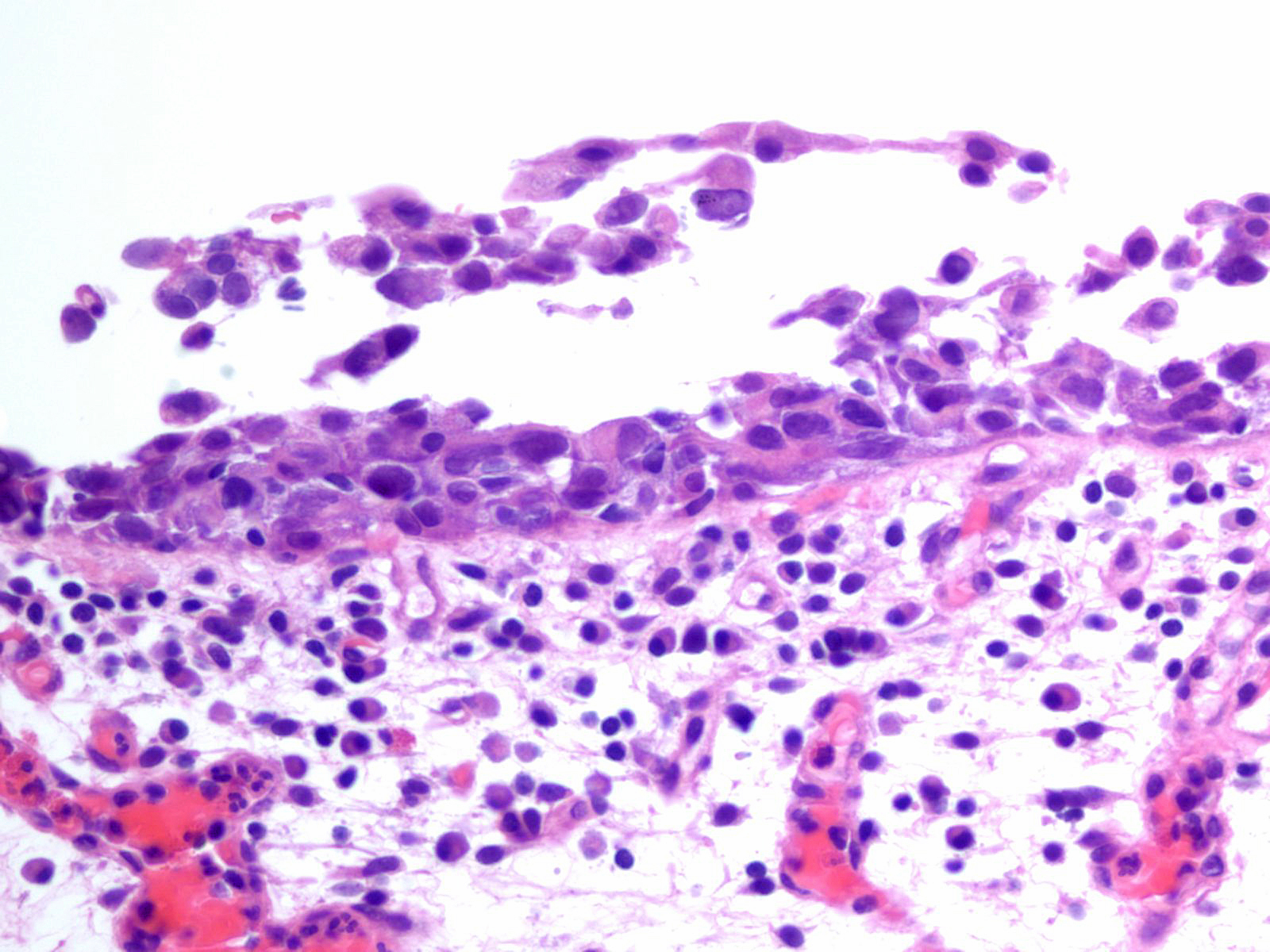
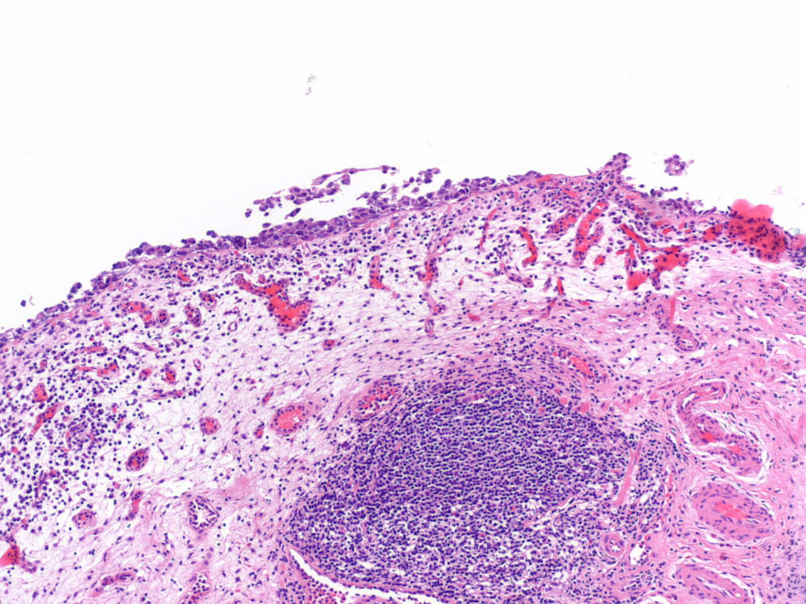
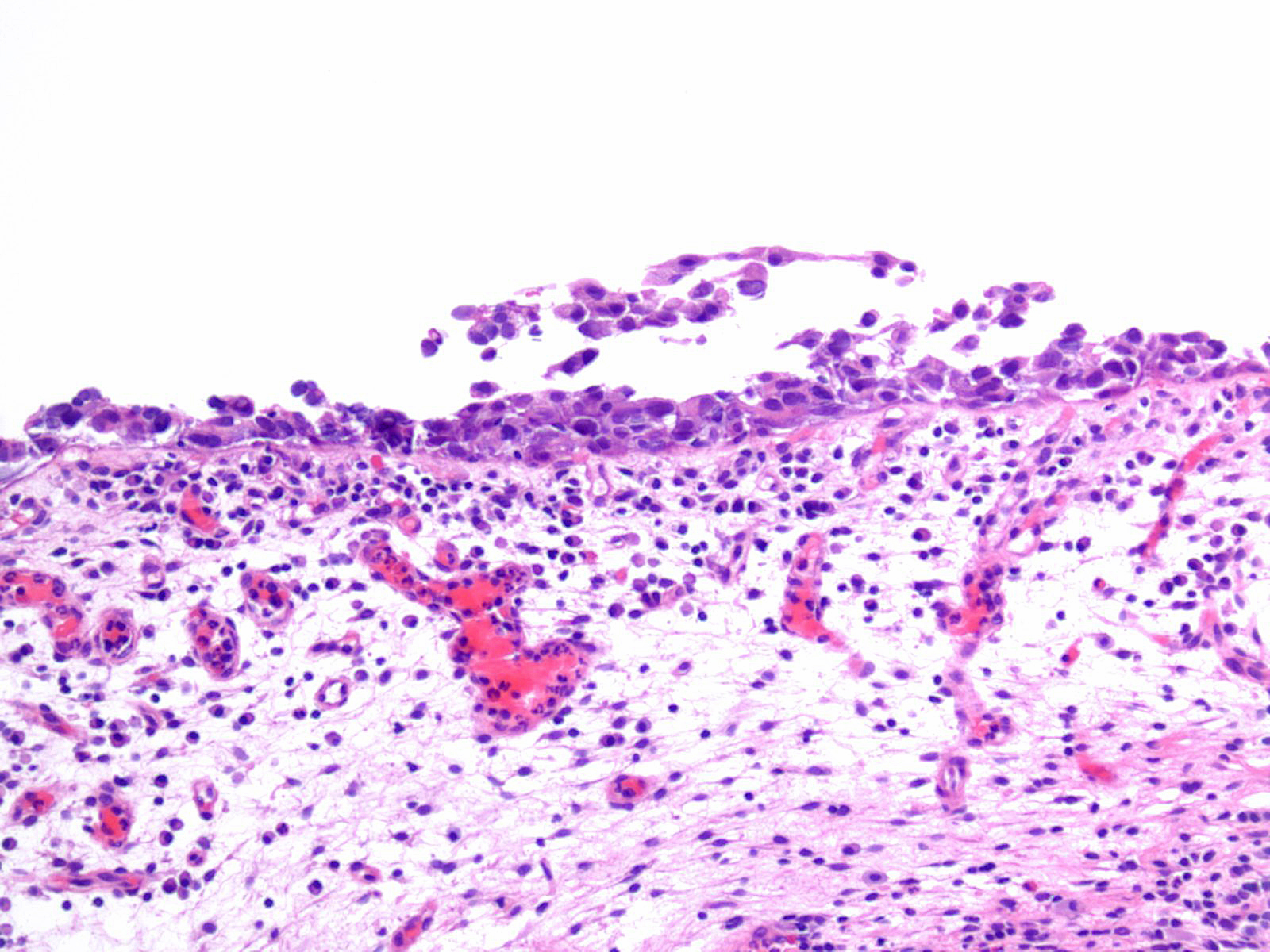
Consensus grade: Carcinoma in situ (CIS)
Show diagnosis by expert panel members| User | Diagnosis | Difficulty | Comment |
|---|---|---|---|
| Pathologist 1 | Carcinoma in situ (CIS) | Typical | |
| Pathologist 2 | Carcinoma in situ (CIS) | Typical | |
| Pathologist 3 | Atypia/dysplasia | Borderline higher | |
| Pathologist 4 | Carcinoma in situ (CIS) | Typical | |
| Pathologist 5 | Carcinoma in situ (CIS) | Typical | |
| Pathologist 6 | Carcinoma in situ (CIS) | Typical | |
| Pathologist 7 | Carcinoma in situ (CIS) | Typical | |
| Pathologist 8 | Carcinoma in situ (CIS) | Typical | |
| Pathologist 9 | Carcinoma in situ (CIS) | Typical | |
| Pathologist 10 | Carcinoma in situ (CIS) | Typical | |
| Pathologist 11 | Carcinoma in situ (CIS) | Typical | |
| Pathologist 12 | Carcinoma in situ (CIS) | Typical | |
| Pathologist 13 | Carcinoma in situ (CIS) | Typical | |
| Pathologist 14 | Carcinoma in situ (CIS) | Typical | |
| Pathologist 15 | Carcinoma in situ (CIS) | Typical |
No specific comment. |
| Pathologist 16 | Carcinoma in situ (CIS) | Borderline lower |
would use IHCH to verify, could also be reactive |
| Pathologist 17 | Carcinoma in situ (CIS) | Typical | |
| Pathologist 18 | Carcinoma in situ (CIS) | Typical | |
| Pathologist 19 | Carcinoma in situ (CIS) | Typical |
Case description (by case creator):
Lesion shows marked variation in nuclear size, shape and chromatin. Architecturally, cells appear irregularly clustered and the epithelium is disorganized.
