Case ID: 349

Publication date: 22 Dec, 2015

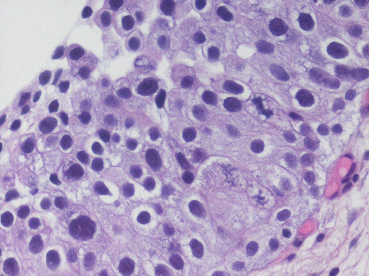
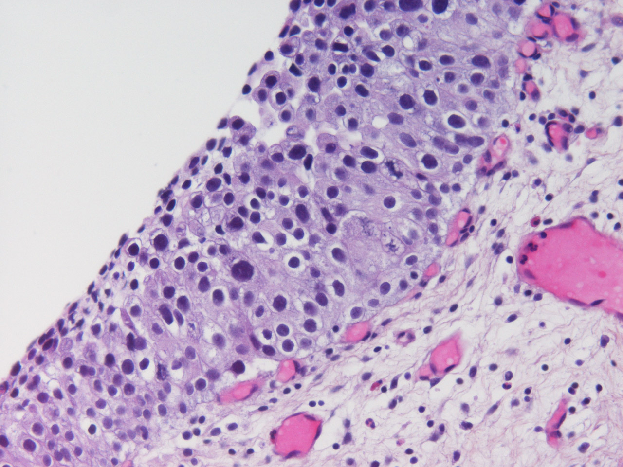
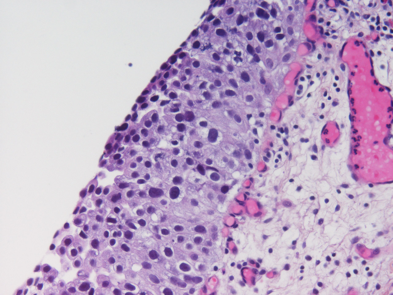
Consensus grade: Carcinoma in situ (CIS)

User Diagnosis Difficulty Comment
Pathologist 1 Atypia/dysplasia Borderline higher
Pathologist 2 Carcinoma in situ (CIS) Borderline lower
Pathologist 3 Carcinoma in situ (CIS) Typical
Pathologist 4 Carcinoma in situ (CIS) Typical
Pathologist 5 Carcinoma in situ (CIS) Typical
Pathologist 6 Carcinoma in situ (CIS) Typical
Pathologist 7 Carcinoma in situ (CIS) Typical
Pathologist 8 Carcinoma in situ (CIS) Typical
Pathologist 9 Atypia/dysplasia Typical
Pathologist 10 Carcinoma in situ (CIS) Typical
Pathologist 11 Carcinoma in situ (CIS) Typical
Pathologist 12 Carcinoma in situ (CIS) Borderline lower
Pathologist 13 Carcinoma in situ (CIS) Typical

No specific comment.

Pathologist 14 Carcinoma in situ (CIS) Typical
Pathologist 15 Carcinoma in situ (CIS) Typical
Pathologist 16 Carcinoma in situ (CIS) Typical
Pathologist 17 Carcinoma in situ (CIS) Typical

Pagetoid

Pathologist 18 Carcinoma in situ (CIS) Typical
Pathologist 19 Carcinoma in situ (CIS) Typical
Pathologist 20 Carcinoma in situ (CIS) Typical


Case description (by case creator):