Pathology
Imagebase
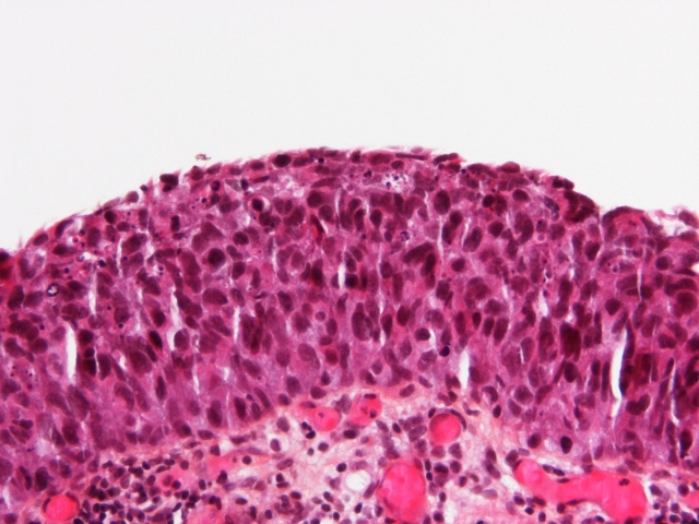
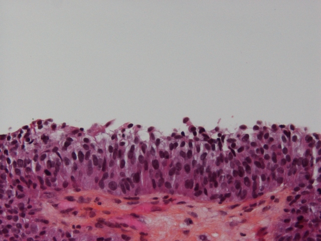
Bladder Flat Lesions
Toggle navigation
Cases
FAQ
About
<< Back to overview
Case ID: 301
Publication date:
22 Dec, 2015
Enter your grading and compare to the grading of the panel group
- Select -
Reactive atypia
Atypia/dysplasia
Carcinoma in situ (CIS)
Evaluate