Case ID: 188
Publication date: 27 Nov, 2015
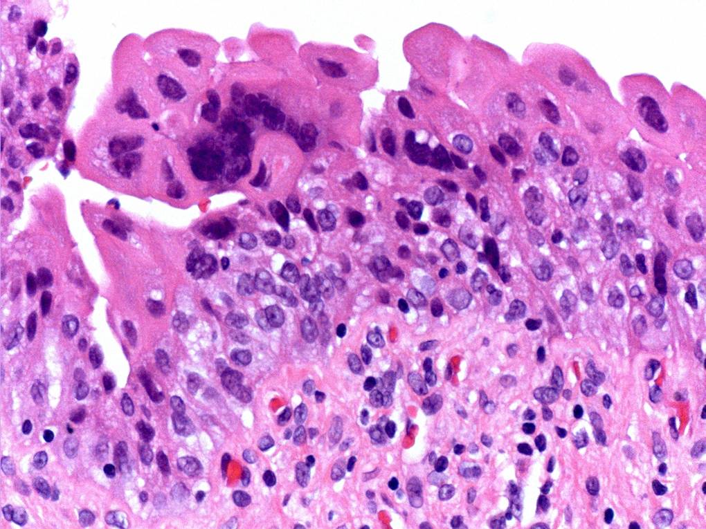
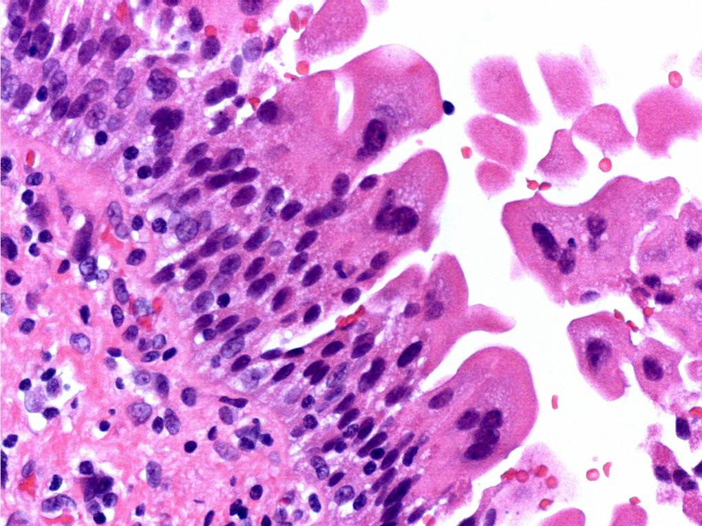
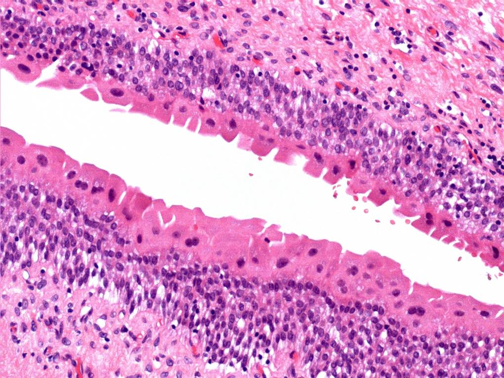
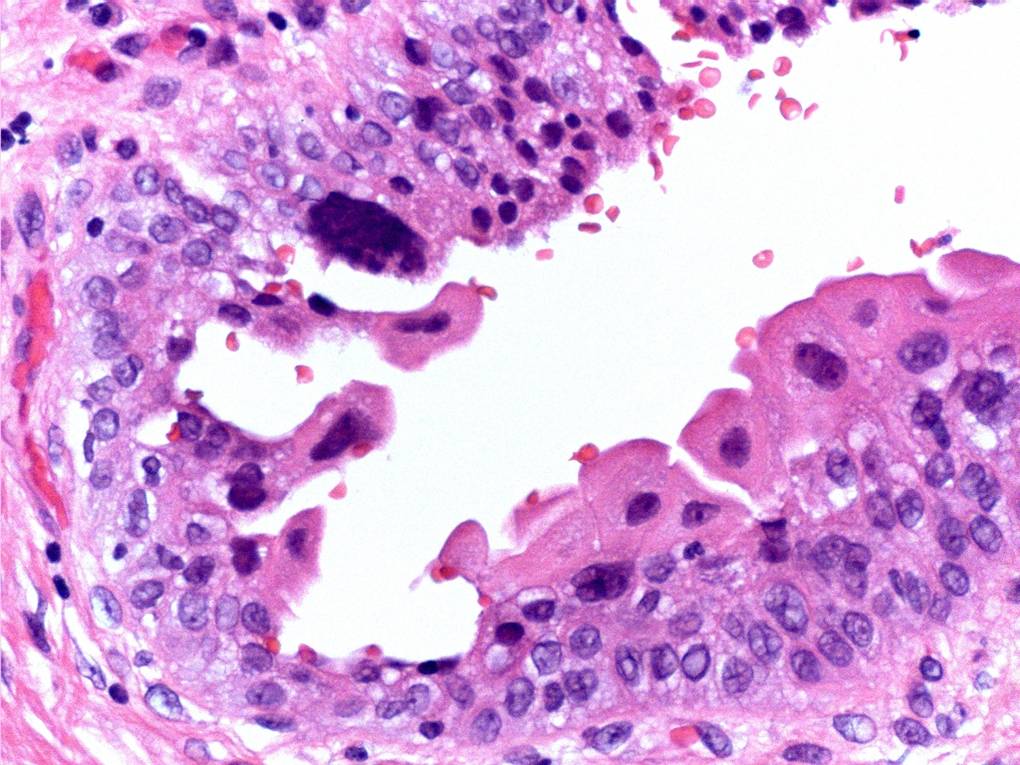
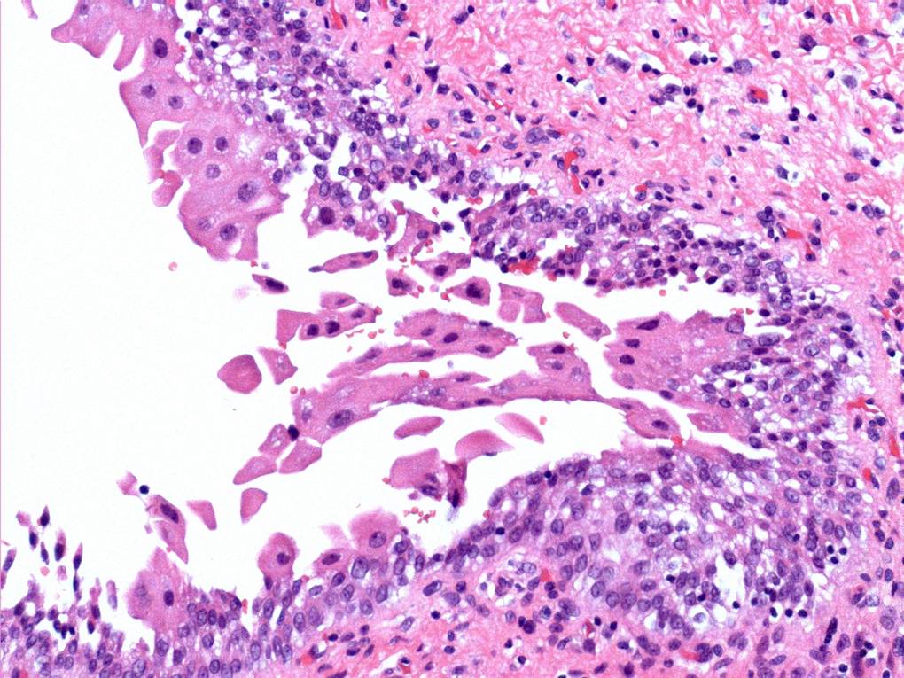
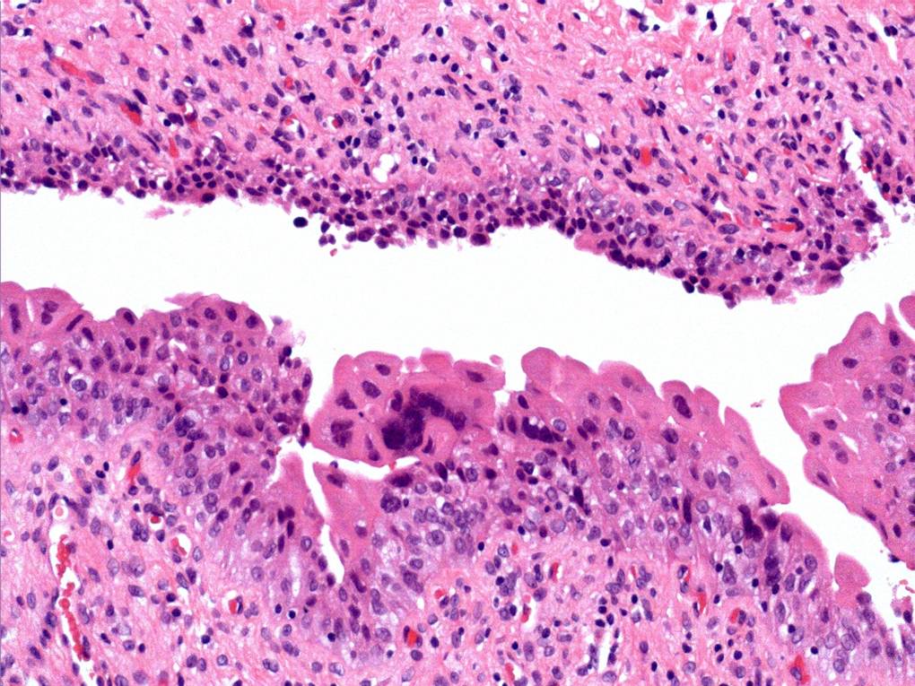
Consensus grade: Reactive atypia
Show diagnosis by expert panel members| User | Diagnosis | Difficulty | Comment |
|---|---|---|---|
| Pathologist 1 | Reactive atypia | Typical | |
| Pathologist 2 | Reactive atypia | Typical | |
| Pathologist 3 | Reactive atypia | Typical | |
| Pathologist 4 | Reactive atypia | Typical | |
| Pathologist 5 | Reactive atypia | Typical | |
| Pathologist 6 | Carcinoma in situ (CIS) | Borderline lower | |
| Pathologist 7 | Reactive atypia | Typical | |
| Pathologist 8 | Reactive atypia | Typical |
superficial cells |
| Pathologist 9 | Reactive atypia | Typical | |
| Pathologist 10 | Reactive atypia | Typical | |
| Pathologist 11 | Reactive atypia | Typical | |
| Pathologist 12 | Reactive atypia | Borderline higher | |
| Pathologist 13 | Reactive atypia | Typical | |
| Pathologist 14 | Reactive atypia | Typical | |
| Pathologist 15 | Reactive atypia | Typical |
No specific comment. |
| Pathologist 16 | Reactive atypia | Bordering on higher | |
| Pathologist 17 | Reactive atypia | Bordering on lower | |
| Pathologist 18 | Reactive atypia | Bordering on higher | |
| Pathologist 19 | Reactive atypia | Typical | |
| Pathologist 20 | Reactive atypia | Bordering on higher | |
| Pathologist 21 | Reactive atypia | Typical | |
| Pathologist 22 | Reactive atypia | Typical |
Case description (by case creator):
The main change here is ‘degenerative’ nuclear atypia in a rather unusually prominent umbrella cell layer. The underlying urothelium shows mild reactive changes in places with some chronic inflammation in the lamina propria.
