Pathology
Imagebase
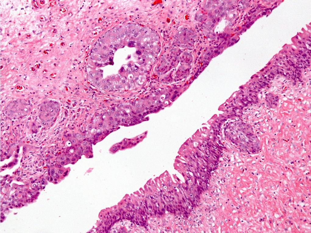
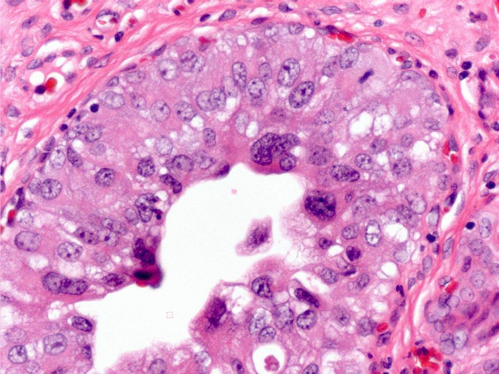
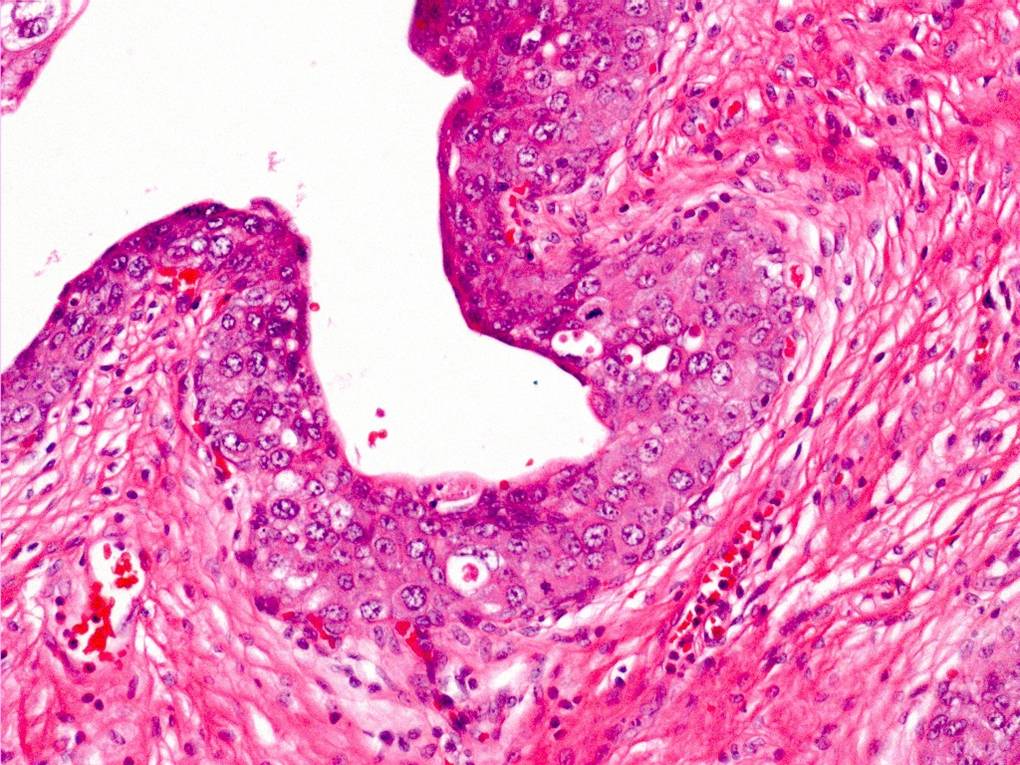
Bladder Flat Lesions
Toggle navigation
Cases
FAQ
About
<< Back to overview
Case ID: 145
Publication date:
16 Nov, 2015
Enter your grading and compare to the grading of the panel group
- Select -
Reactive atypia
Atypia/dysplasia
Carcinoma in situ (CIS)
Evaluate