Case ID: 124
Publication date: 20 Oct, 2015
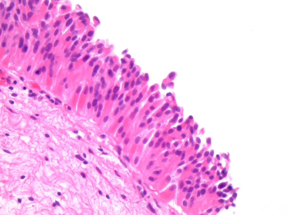
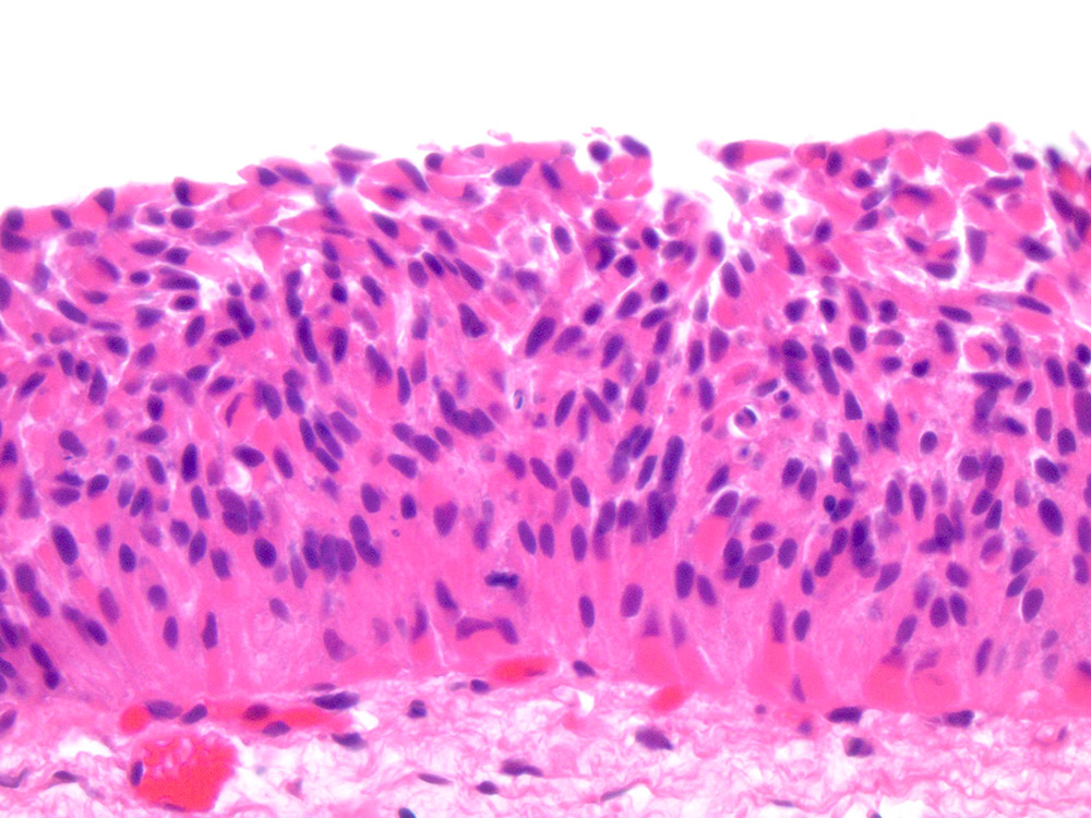
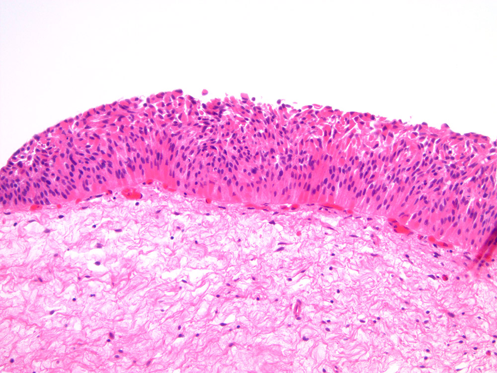
Consensus grade: Atypia/dysplasia
Show diagnosis by expert panel members| User | Diagnosis | Difficulty | Comment |
|---|---|---|---|
| Pathologist 1 | Atypia/dysplasia | Typical | |
| Pathologist 2 | Atypia/dysplasia | Typical | |
| Pathologist 3 | Atypia/dysplasia | Typical | |
| Pathologist 4 | Reactive atypia | Typical | |
| Pathologist 5 | Reactive atypia | Typical | |
| Pathologist 6 | Atypia/dysplasia | Typical | |
| Pathologist 7 | Atypia/dysplasia | Typical |
before 2016 I would have called it hyperplasia :-) |
| Pathologist 8 | Atypia/dysplasia | Borderline higher | |
| Pathologist 9 | Atypia/dysplasia | Borderline higher | |
| Pathologist 10 | Atypia/dysplasia | Typical | |
| Pathologist 11 | Atypia/dysplasia | Borderline lower | |
| Pathologist 12 | Atypia/dysplasia | Bordering on higher |
No specific comment. |
| Pathologist 13 | Atypia/dysplasia | Typical | |
| Pathologist 14 | Atypia/dysplasia | Bordering on lower | |
| Pathologist 15 | Atypia/dysplasia | Typical | |
| Pathologist 16 | Atypia/dysplasia | Bordering on higher | |
| Pathologist 17 | Atypia/dysplasia | Typical | |
| Pathologist 18 | Atypia/dysplasia | Bordering on higher | |
| Pathologist 19 | Reactive atypia | Bordering on lower | |
| Pathologist 20 | Atypia/dysplasia | Bordering on higher |
Bordering on reactive atypia vs low grade dysplasia : No significant inflammation noted: not sufficeint for CIS; I may get CK 20 and look for full thickness staining to confirm low grade urothelial dysplasia. |
| Pathologist 21 | Atypia/dysplasia | Bordering on lower | |
| Pathologist 22 | Atypia/dysplasia | Typical |
Case description (by case creator):
Flat lesion
