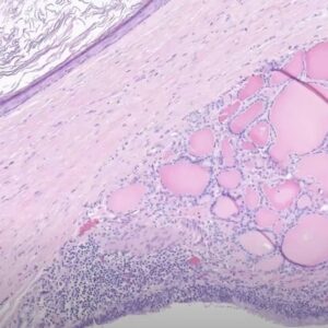
ISUP Presents… Dr. Lara Harik “Glandular neoplasms of the urinary tract and their mimickers” November 2023
YouTube: https://youtu.be/3ycIylJO59k Dr Harik is associate professor in the department of Pathology and Laboratory Medicine at Emory University School of Medicine, where she also serves as Medical Director of the Clinical Laboratory Hospital Service Line at Emory University Hospital. Dr Harik is also co-director of a special program called PEACE (Partnership of Emory and Africa … Continue reading ISUP Presents… Dr. Lara Harik “Glandular neoplasms of the urinary tract and their mimickers” November 2023
ISUP Presents… Dr. Chris VandenBussche – October 2023
YouTube: https://youtu.be/0-k05IXNrwU ISUP Presents… Dr. Chris VandenBussche “Urinary Tract Cytopathology: From Papanicolaou to Paris” Chris VandenBussche is an Associate Professor of Pathology and Oncology, Director of the Pathology Residency Training Program, Associate Director of Cytopathology, and Director of the Cytopathology Fellowship at the Johns Hopkins University School of Medicine. He serves on the American Society … Continue reading ISUP Presents… Dr. Chris VandenBussche – October 2023
ISUP Presents… Dr. Ankur Sangoi “Micropapillary and Plasmacytoid Features in Urothelial Neoplasia” – Sept 2023
YouTube: https://youtu.be/44ftx9V-hBQ Dr. Ankur Sangoi is a Professor of Pathology at Stanford University. He earned his bachelor and medical degrees from Saint Louis University. He completed Anatomic and Clinical Pathology residency with subspecialty Genitourinary Pathology training at Stanford, and is AP/CP board-certified. He was in a busy private practice for many years while continuing active … Continue reading ISUP Presents… Dr. Ankur Sangoi “Micropapillary and Plasmacytoid Features in Urothelial Neoplasia” – Sept 2023
ISUP Presents… Dr. Steven Smith – June 2023
The International Society of Uropathologists Presents an educational lecture by Dr. Steven Smith on “Tribulations with testes: Lessons from ten years of consults and interesting cases” YouTube: https://youtu.be/jrXthHvJY0I
ISUP Presents… Excellence in Urological Pathology Trainee Research Awards – April 2023
The Internatonal Society of Uropathologists Presents the winners of the Excellence in Urological Pathology Trainee Research Awards from 2023.
Dr. Sara Falzarano on “IHC surrogates for molecular testing in GU pathology: potential pitfalls” – March 2023
Dr. Falzarano is a Clinical Associate Professor at University of Florida in Gainesville, FL, where she landed after completing the genitourinary pathology fellowship at the Cleveland Clinic, where she obtained her AP/CP residency training. She had previously completed the Anatomic Pathology residency in Siena, Italy, after graduating summa cum laude from the medical school of … Continue reading Dr. Sara Falzarano on “IHC surrogates for molecular testing in GU pathology: potential pitfalls” – March 2023
Prof Rodolfo Montironi on “The male and female urethra” – February 2023
Prof Rodolfo Montironi, Professor of Pathology, Polytechnic University of the Marche Region, Italy He obtained his MD at the Medical School of the University of Ancona in 1976, the board certificate in pathology and laboratory medicine at the University of Parma in 1979, and in clinical oncology at the University of Ancona in 1982. He … Continue reading Prof Rodolfo Montironi on “The male and female urethra” – February 2023
Dr Turki Al-Hussain on “Testicular biopsies and infertility” – January 2023
Dr Al-Hussain is a Consultant pathologist and Deputy Chairman, Department of Pathology and Laboratory Medicine, King Faisal Specialist Hospital and Research Centre, Riyadh, Saudi Arabia. After completing anatomic pathology residency at King Faisal Specialist Hospital in 2008, he joined the University of North Carolina at Chapel Hill as a fellow in nephropathology (2009-2010), followed by … Continue reading Dr Turki Al-Hussain on “Testicular biopsies and infertility” – January 2023
Dr Antonio Lopez-Beltran on “Variant histology/subtypes in T1 bladder cancer” – December 2022
Dr Antonio Lopez-Beltran is the Director of Pathology, Champalimaud Clinical Center, Lisbon, Portugal, and full Professor of Anatomic Pathology, University of Cordoba, Cordoba, Spain. Scientific dedication: Diagnostic uropathology, mainly bladder pathology. Discovering and/or validation of clinical biomarkers in Uro-oncology practice. Precision medicine. “Highly Cited Author” by the Institute of Scientific Information with h-index of 84. … Continue reading Dr Antonio Lopez-Beltran on “Variant histology/subtypes in T1 bladder cancer” – December 2022
