Case ID: 1254
Publication date: 27 Jan, 2016
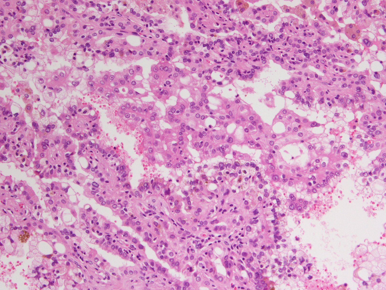
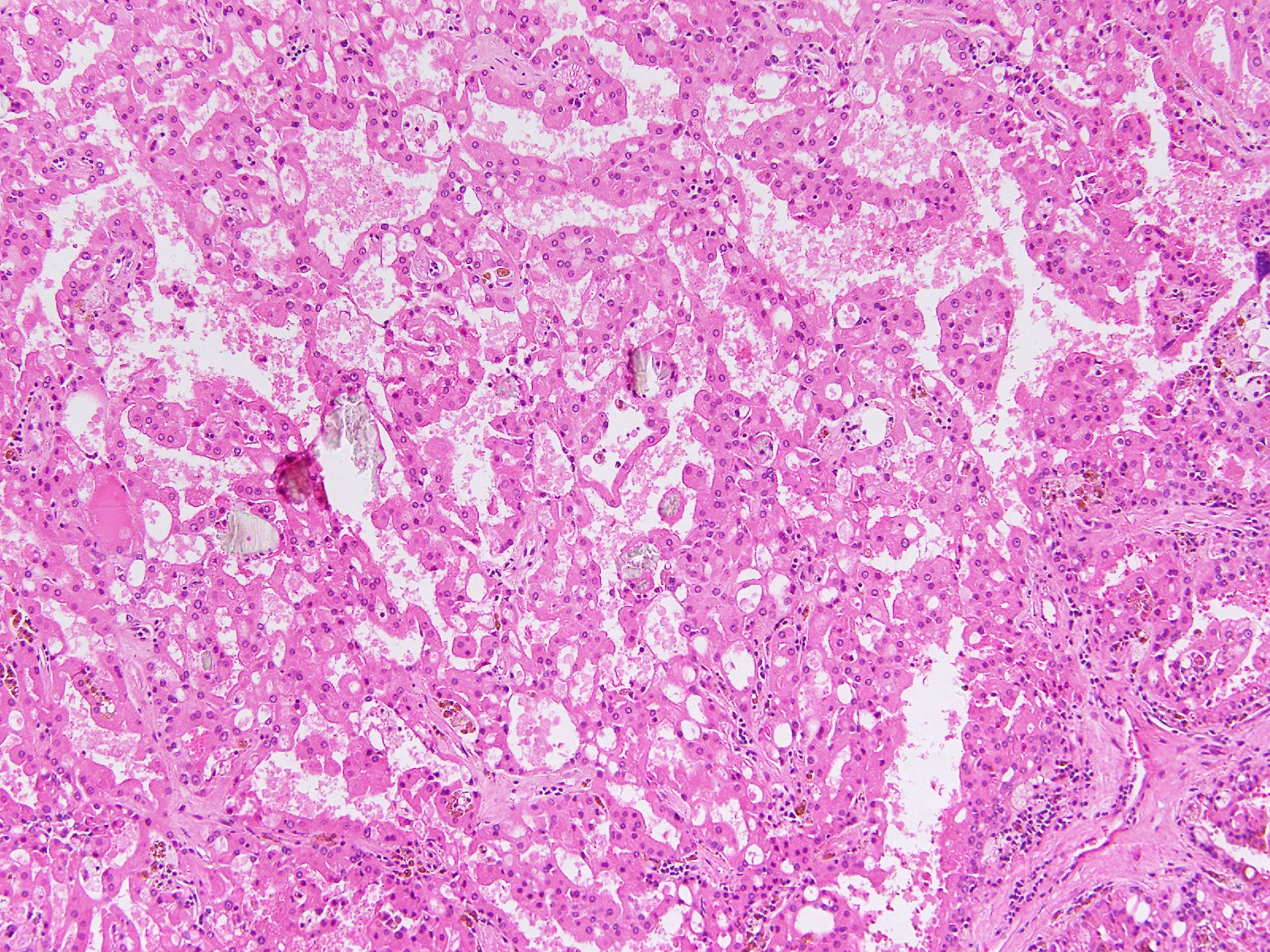
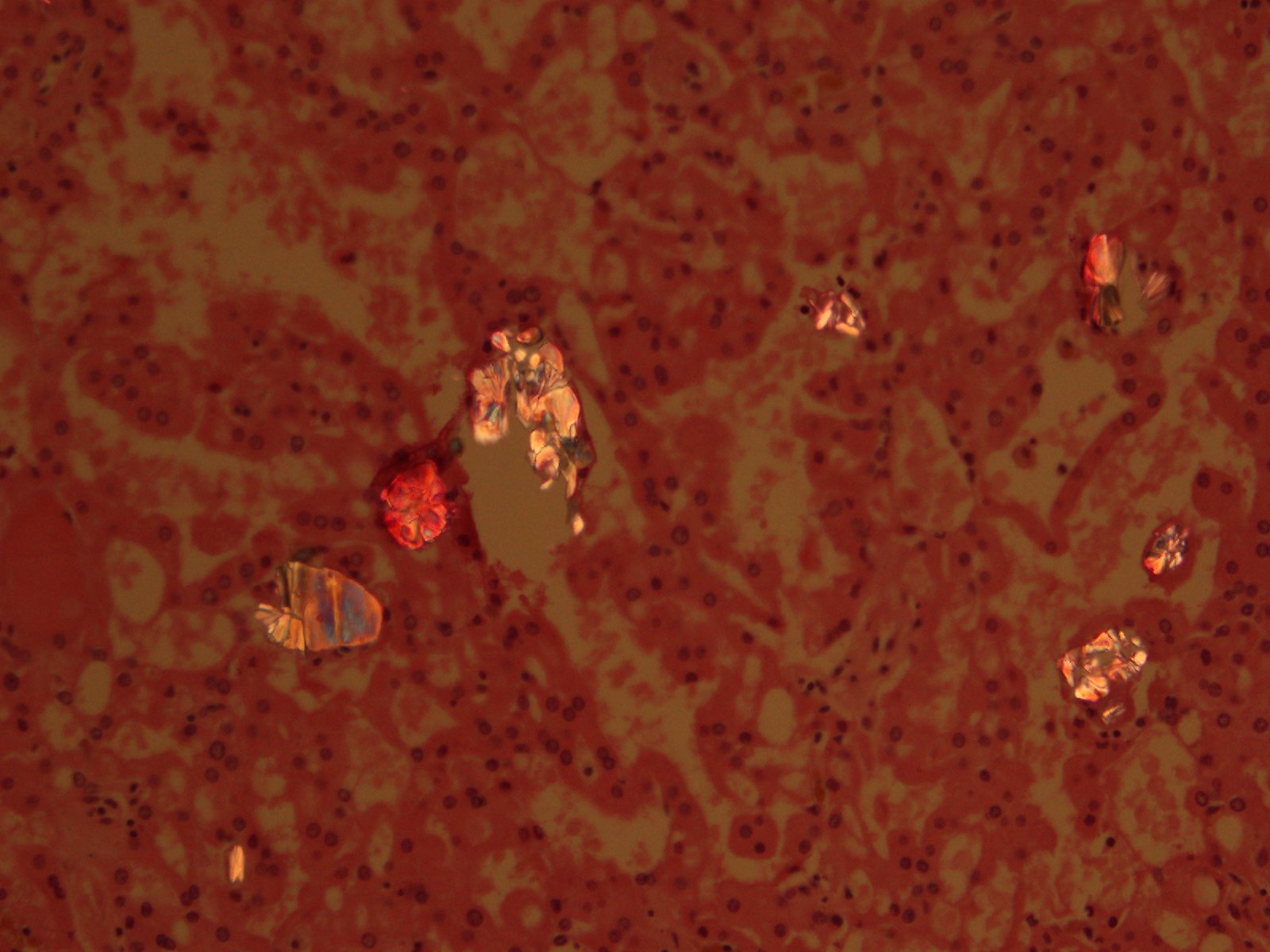
Consensus grade: Acquired cystic disease-associated RCC
Show diagnosis by expert panel members| User | Diagnosis | Difficulty | Comment |
|---|---|---|---|
| Pathologist 1 | Acquired cystic disease-associated RCC | Typical | |
| Pathologist 2 | Acquired cystic disease-associated RCC | Typical | |
| Pathologist 3 | Acquired cystic disease-associated RCC | Typical | |
| Pathologist 4 | Acquired cystic disease-associated RCC | Typical | |
| Pathologist 5 | Acquired cystic disease-associated RCC | Not typical | |
| Pathologist 6 | Acquired cystic disease-associated RCC | Typical | |
| Pathologist 7 | Acquired cystic disease-associated RCC | Typical | |
| Pathologist 8 | Acquired cystic disease-associated RCC | Typical | |
| Pathologist 9 | Acquired cystic disease-associated RCC | Typical | |
| Pathologist 10 | Acquired cystic disease-associated RCC | Not typical | |
| Pathologist 11 | Acquired cystic disease-associated RCC | Not typical | |
| Pathologist 12 | Acquired cystic disease-associated RCC | Typical | |
| Pathologist 13 | Acquired cystic disease-associated RCC | Typical | |
| Pathologist 14 | Acquired cystic disease-associated RCC | Typical | |
| Pathologist 15 | Acquired cystic disease-associated RCC | Typical | |
| Pathologist 16 | Acquired cystic disease-associated RCC | Typical | |
| Pathologist 17 | Acquired cystic disease-associated RCC | Not typical |
With proper anamnesis of ESKD I would make dg of ACRD ass RCC |
| Pathologist 18 | Acquired cystic disease-associated RCC | Typical |
Case description (by case creator):
