Case ID: 1247

Publication date: 27 Jan, 2016

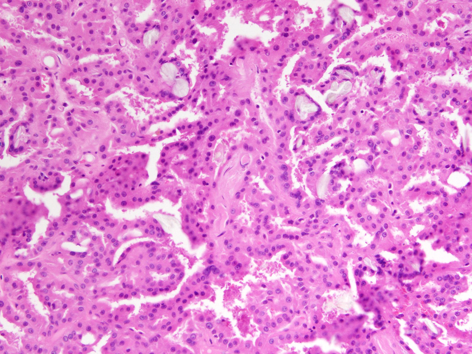
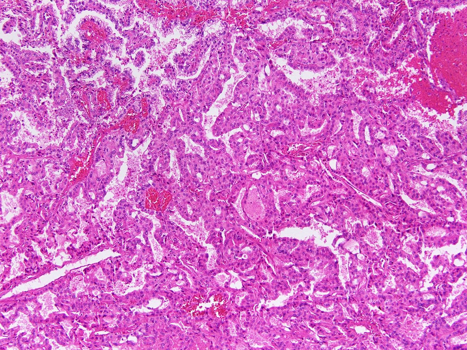
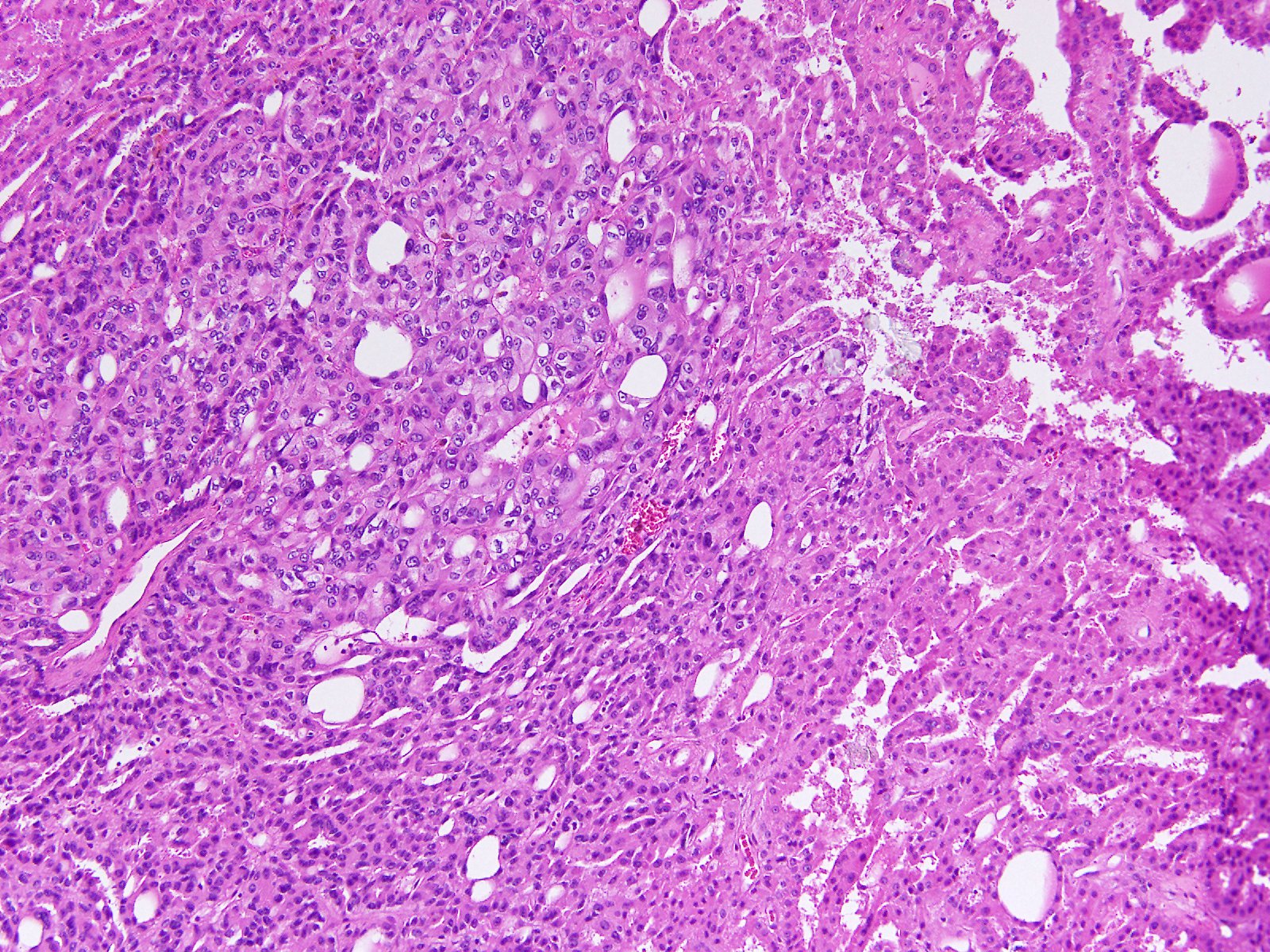
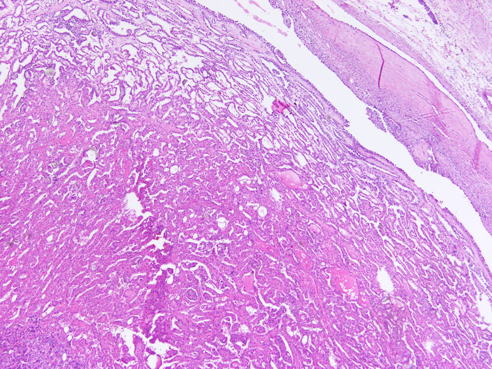
Consensus grade: Acquired cystic disease-associated RCC

User Diagnosis Difficulty Comment
Pathologist 1 Acquired cystic disease-associated RCC Typical
Pathologist 2 Acquired cystic disease-associated RCC Typical
Pathologist 3 Acquired cystic disease-associated RCC Typical
Pathologist 4 Acquired cystic disease-associated RCC Typical
Pathologist 5 Acquired cystic disease-associated RCC Not typical
Pathologist 6 Acquired cystic disease-associated RCC Not typical

Need info of the background kidney tissue

Pathologist 7 Acquired cystic disease-associated RCC Typical
Pathologist 8 Acquired cystic disease-associated RCC Typical
Pathologist 9 Acquired cystic disease-associated RCC Typical
Pathologist 10 Acquired cystic disease-associated RCC Not typical
Pathologist 11 Acquired cystic disease-associated RCC Not typical
Pathologist 12 Acquired cystic disease-associated RCC Typical
Pathologist 13 Acquired cystic disease-associated RCC Typical
Pathologist 14 Renal cell carcinoma, unclassified Not typical

Features of papillar,y clear cell and ACD RCC.
ISUP grade 2

Pathologist 15 Renal cell carcinoma, unclassified Not typical
Pathologist 16 Acquired cystic disease-associated RCC Typical
Pathologist 17 Acquired cystic disease-associated RCC Not typical

More papillary RCC type, however crystaloids are suggestive for ACRD ass RCC. Again, like in previous case.....if there is anamnesis of ESKD....I would vote for ACRD ass RCC

Pathologist 18 Acquired cystic disease-associated RCC Typical


Case description (by case creator):