Case ID: 1225
Publication date: 26 Jan, 2016
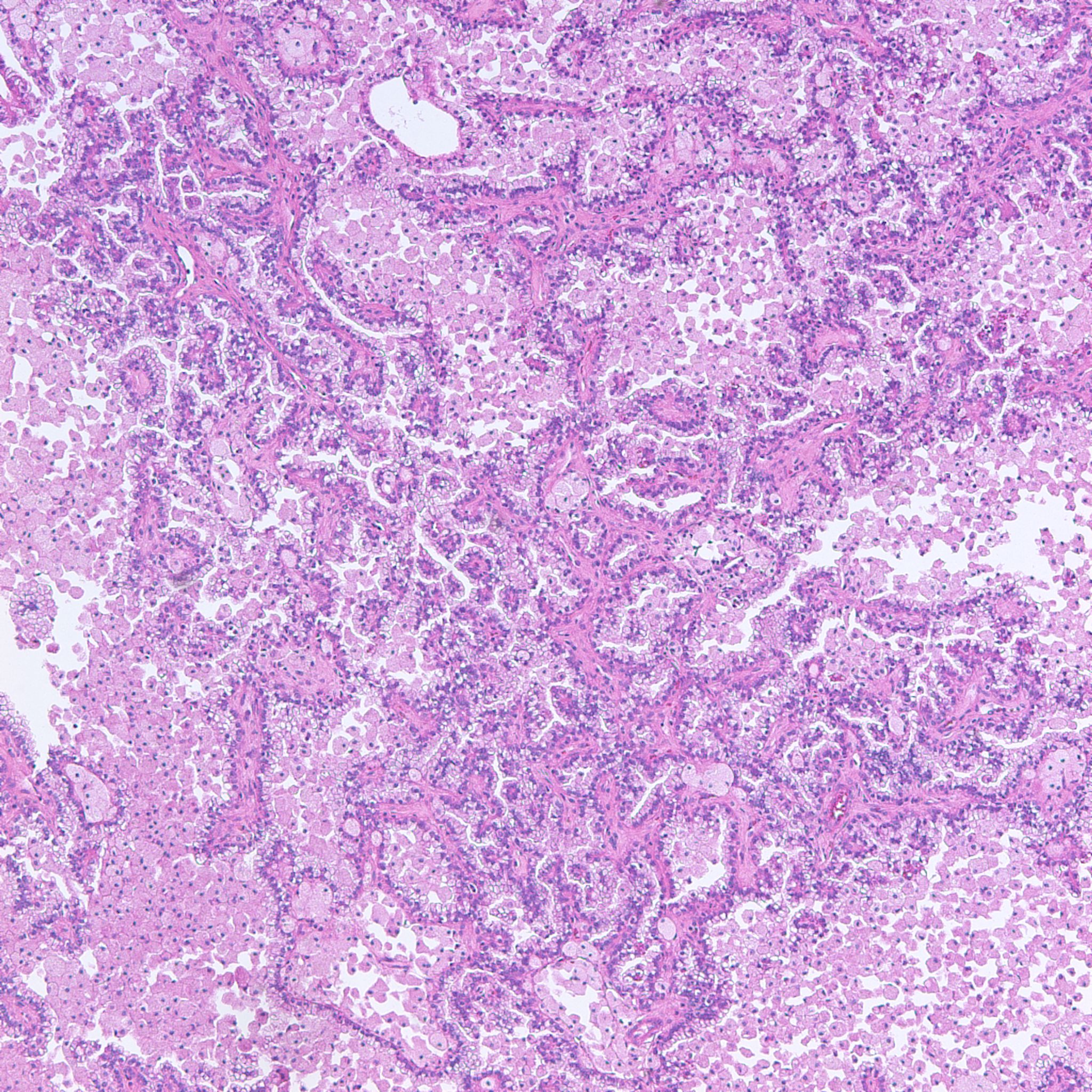
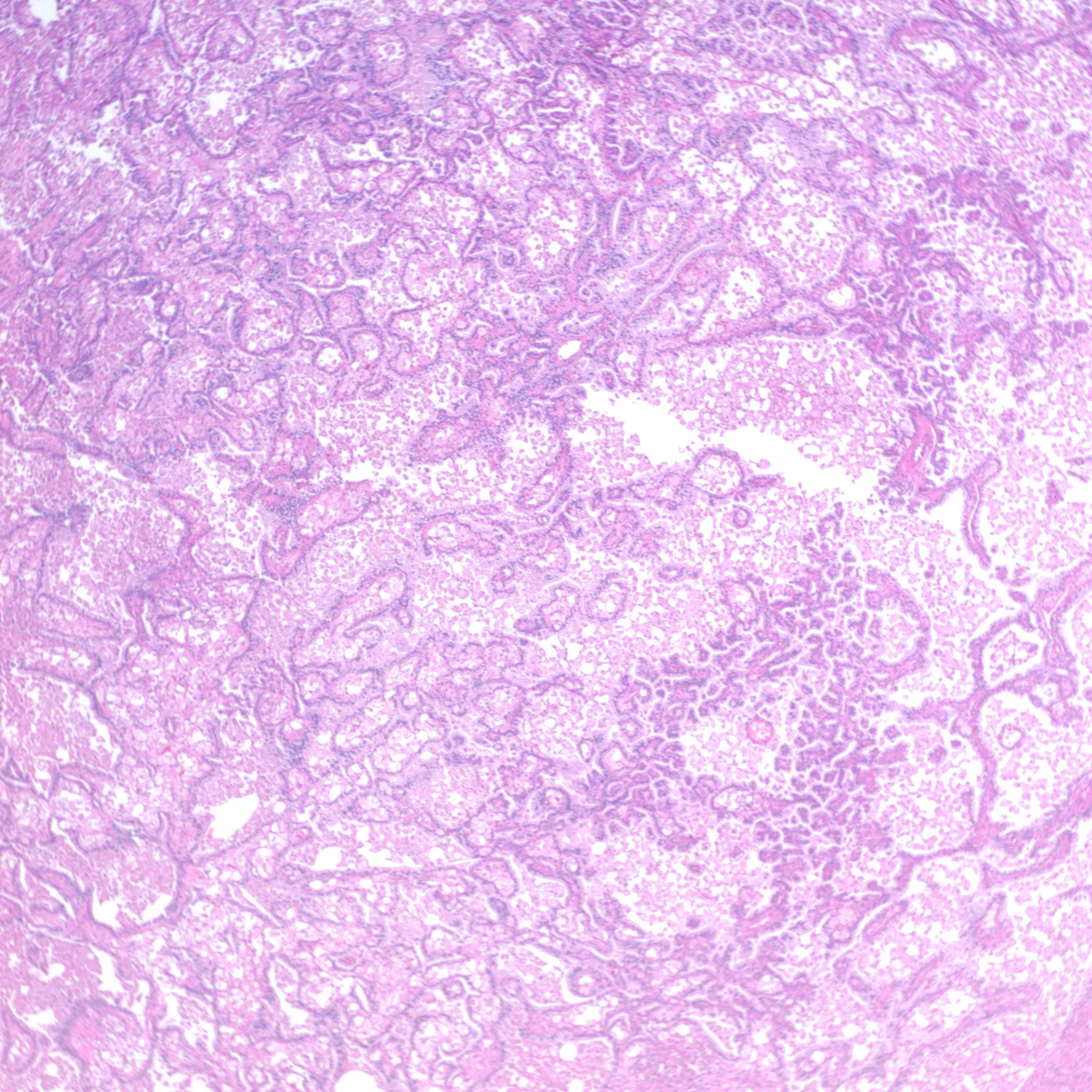
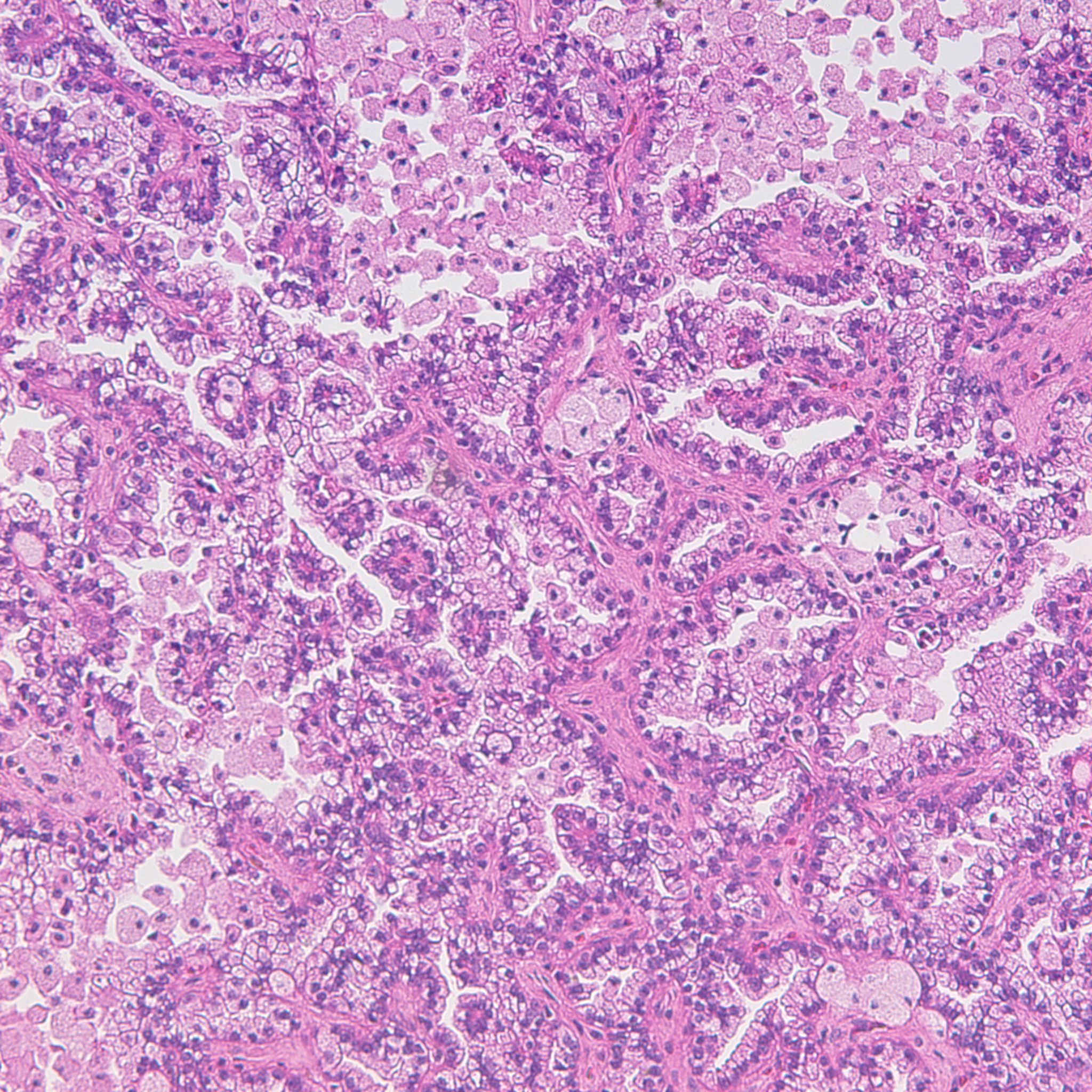
Consensus grade: Papillary RCC (Type 1)
Show diagnosis by expert panel members| User | Diagnosis | Difficulty | Comment |
|---|---|---|---|
| Pathologist 1 | Papillary RCC (Type 1) | Typical | |
| Pathologist 2 | Papillary RCC (Type 1) | Typical | |
| Pathologist 3 | Papillary RCC (Type 2) | Not typical | |
| Pathologist 4 | Papillary RCC (Type 1) | Not typical | |
| Pathologist 5 | Papillary RCC (Type 1) | Typical | |
| Pathologist 6 | Clear cell tubulopapillary RCC | Not typical | |
| Pathologist 7 | Papillary RCC (Type 1) | Typical | |
| Pathologist 8 | Papillary RCC (Type 1) | Typical | |
| Pathologist 9 | Papillary RCC (Type 1) | Typical |
out of focus |
| Pathologist 10 | Papillary RCC (Type 1) | Typical | |
| Pathologist 11 | Papillary RCC (Type 1) | Typical | |
| Pathologist 12 | Papillary RCC (Type 1) | Typical | |
| Pathologist 13 | Papillary RCC (Type 2) | Not typical | |
| Pathologist 14 | Papillary RCC (Type 1) | Not typical |
Papillary RCC with clear cell changes |
| Pathologist 15 | Papillary RCC (Type 1) | Not typical | |
| Pathologist 16 | Papillary RCC (Type 1) | Not typical | |
| Pathologist 17 | Papillary RCC (Type 1) | Not typical | |
| Pathologist 18 | Papillary RCC (Type 2) | Not typical |
WHO/ISUP grade 2 |
| Pathologist 19 | Papillary RCC (Type 2) | Not typical |
WHO/ISUP grade 2 |
| Pathologist 20 | Papillary RCC (Type 1) | Not typical | |
| Pathologist 21 | Papillary RCC (Type 1) | Not typical |
Case description (by case creator):
Papillary renal cell carcinoma, type 1, Fuhrman nuclear grade 2
