Case ID: 1184

Publication date: 26 Jan, 2016

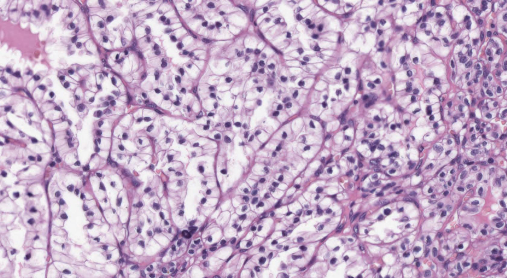
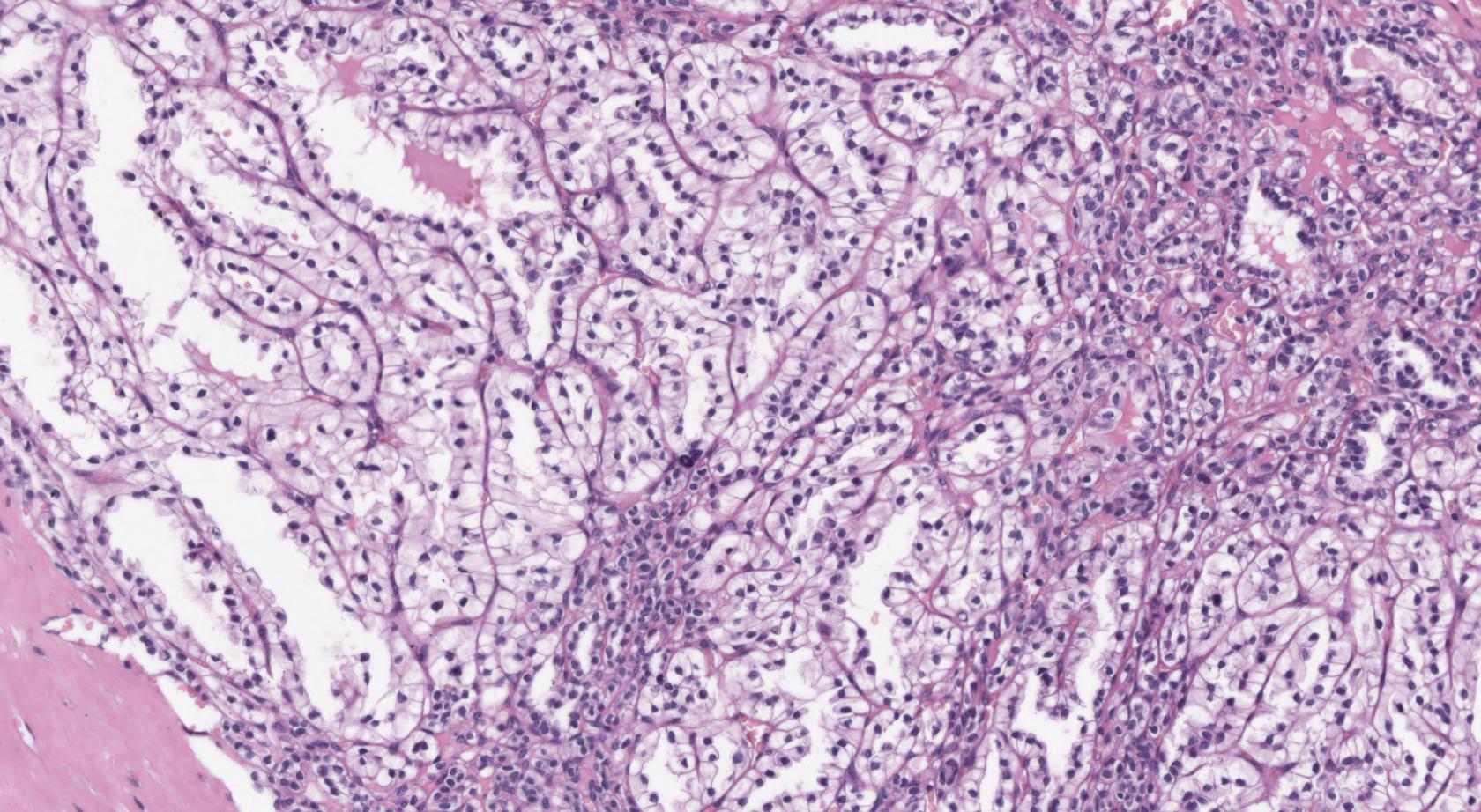
Consensus grade: Clear cell tubulopapillary RCC

User Diagnosis Difficulty Comment
Pathologist 1 Clear cell tubulopapillary RCC Not typical
Pathologist 2 Clear cell tubulopapillary RCC Not typical
Pathologist 3 Clear cell tubulopapillary RCC Typical
Pathologist 4 Clear cell tubulopapillary RCC Typical
Pathologist 5 Clear cell tubulopapillary RCC Typical
Pathologist 6 Clear cell tubulopapillary RCC Typical
Pathologist 7 Clear cell tubulopapillary RCC Typical
Pathologist 8 Clear cell tubulopapillary RCC Typical
Pathologist 9 Clear cell tubulopapillary RCC Typical
Pathologist 10 Clear cell tubulopapillary RCC Typical
Pathologist 11 Clear cell tubulopapillary RCC Typical
Pathologist 12 Clear cell tubulopapillary RCC Not typical
Pathologist 13 Clear cell tubulopapillary RCC Typical
Pathologist 14 Clear cell tubulopapillary RCC Typical

WHO/ISUP grade 1. Foci of atypical areas

Pathologist 15 Clear cell tubulopapillary RCC Typical
Pathologist 16 Clear cell tubulopapillary RCC Typical
Pathologist 17 Clear cell tubulopapillary RCC Typical


Case description (by case creator):

A 55-years-old man underwent clinical attention for a nodule of 4 cm on the right kidney.
A tumour enucleation was performed.
The microscopic examination showed a tumour with tubulo-papillary architecture, composed of cells with clear cytoplasm and low-grade nuclei.