Case ID: 1104

Publication date: 25 Jan, 2016

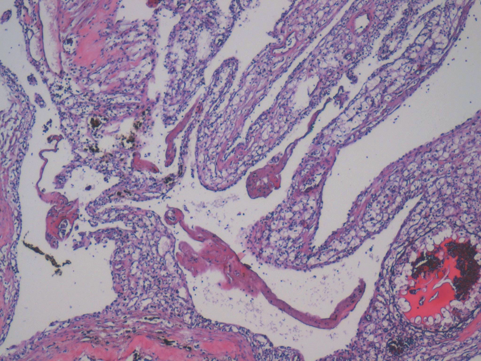
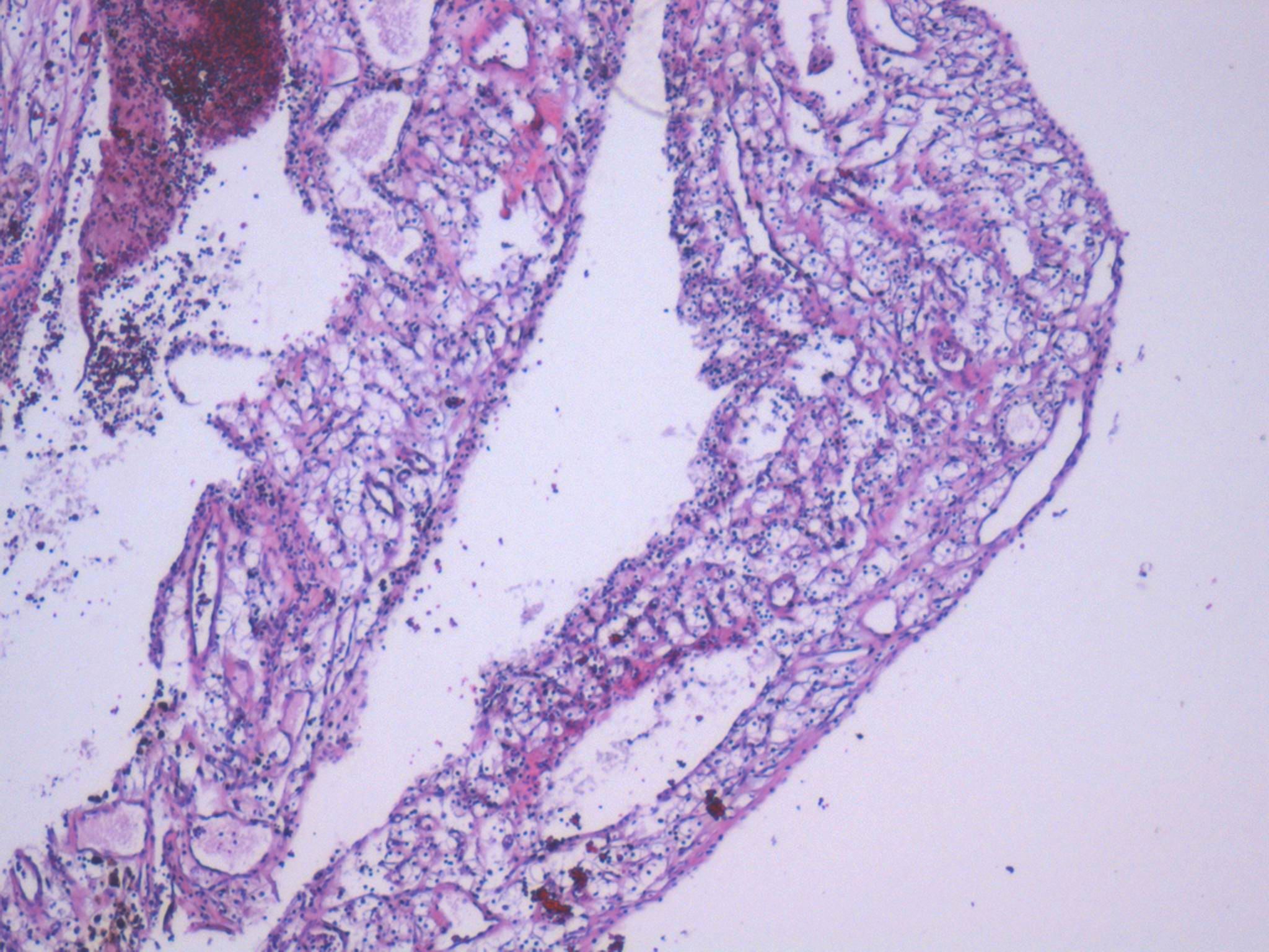
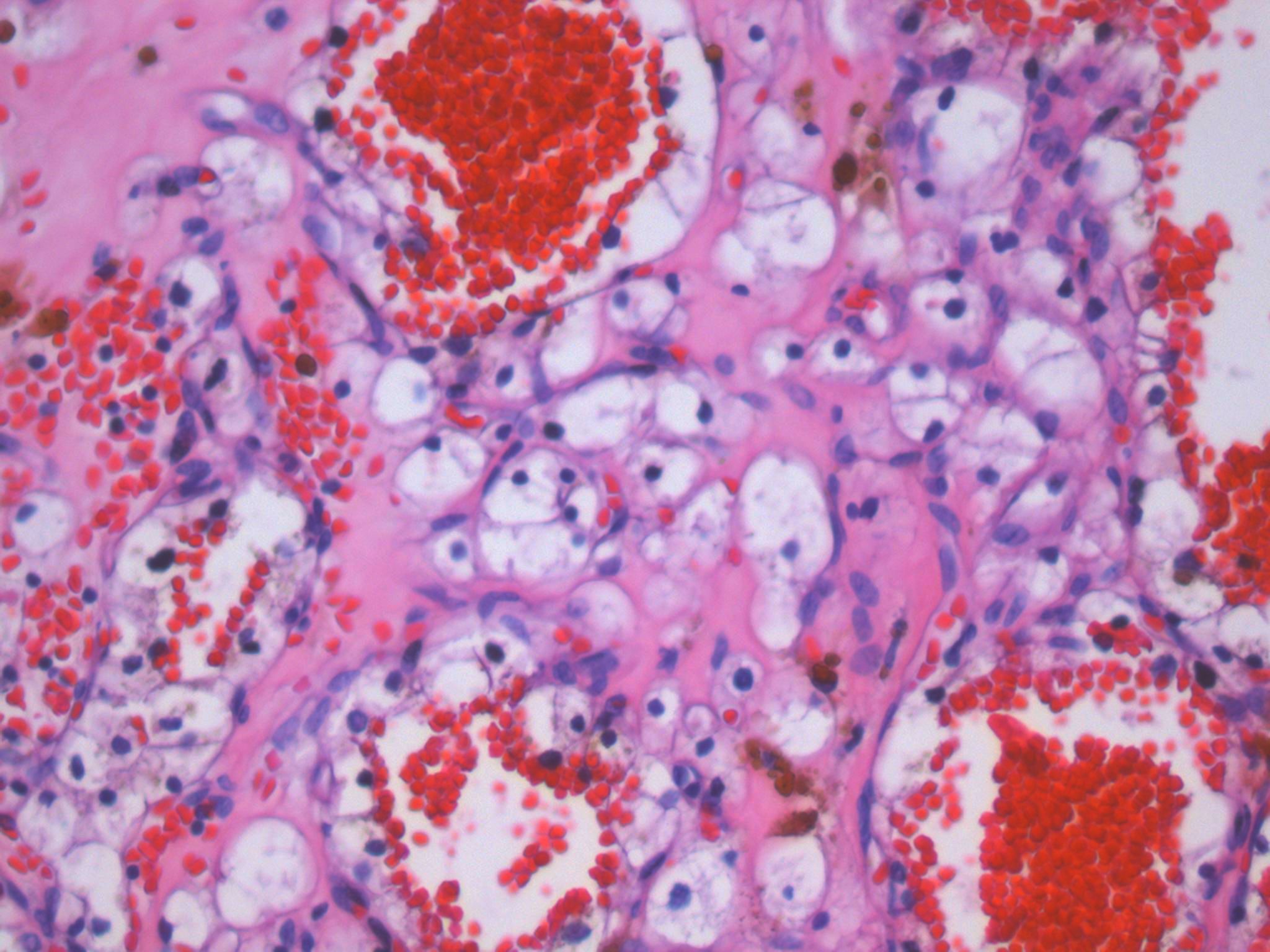
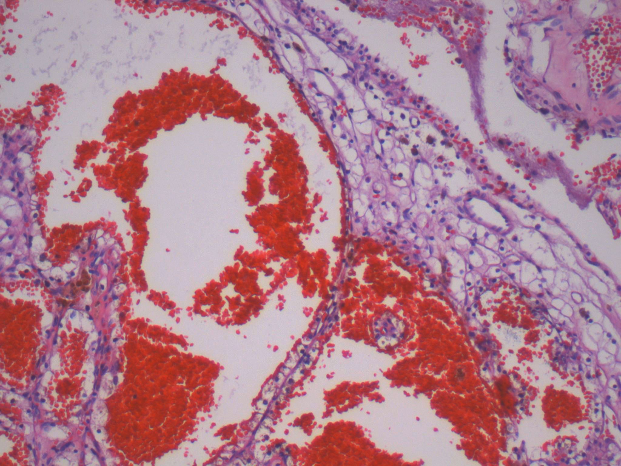
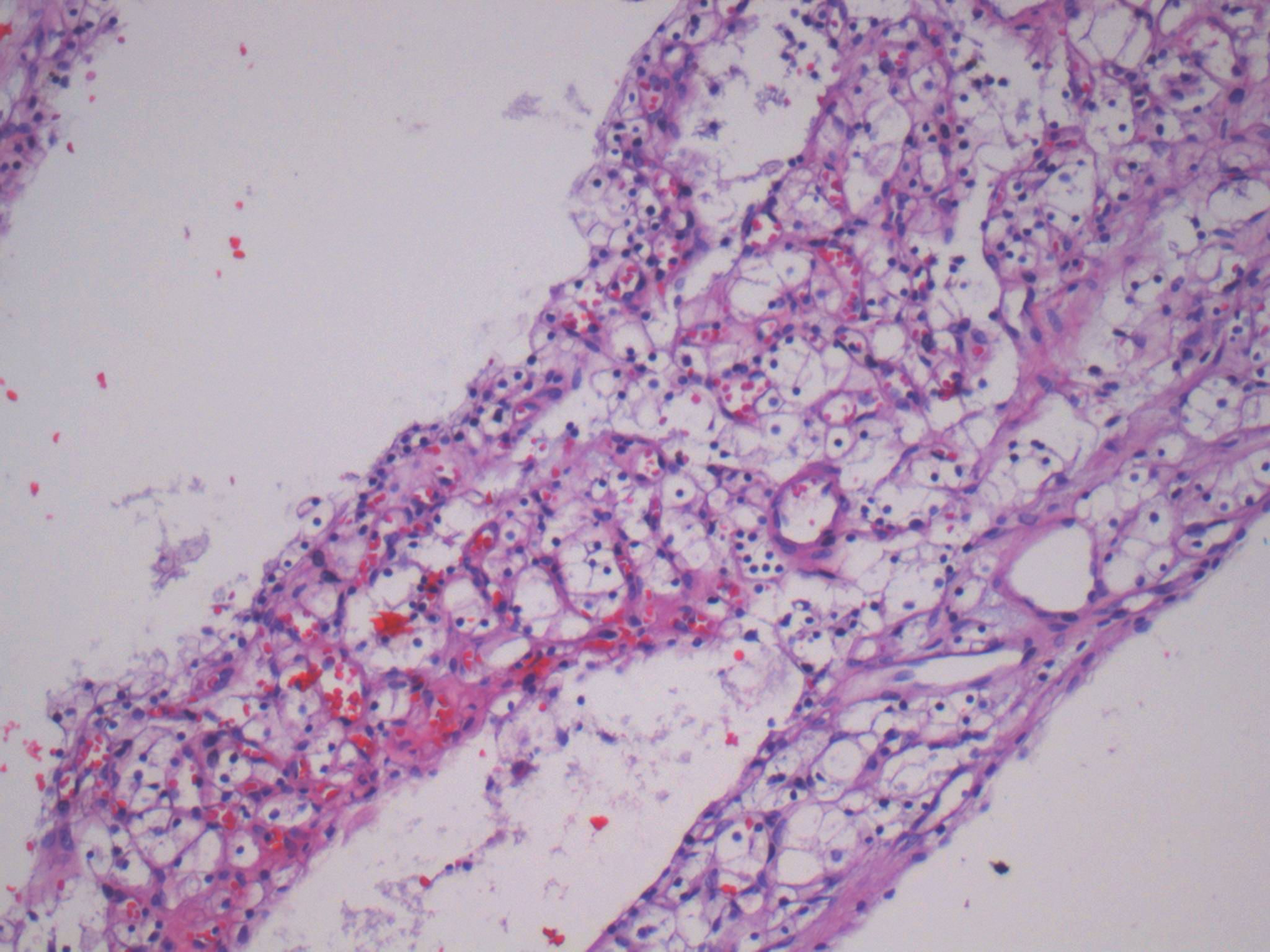
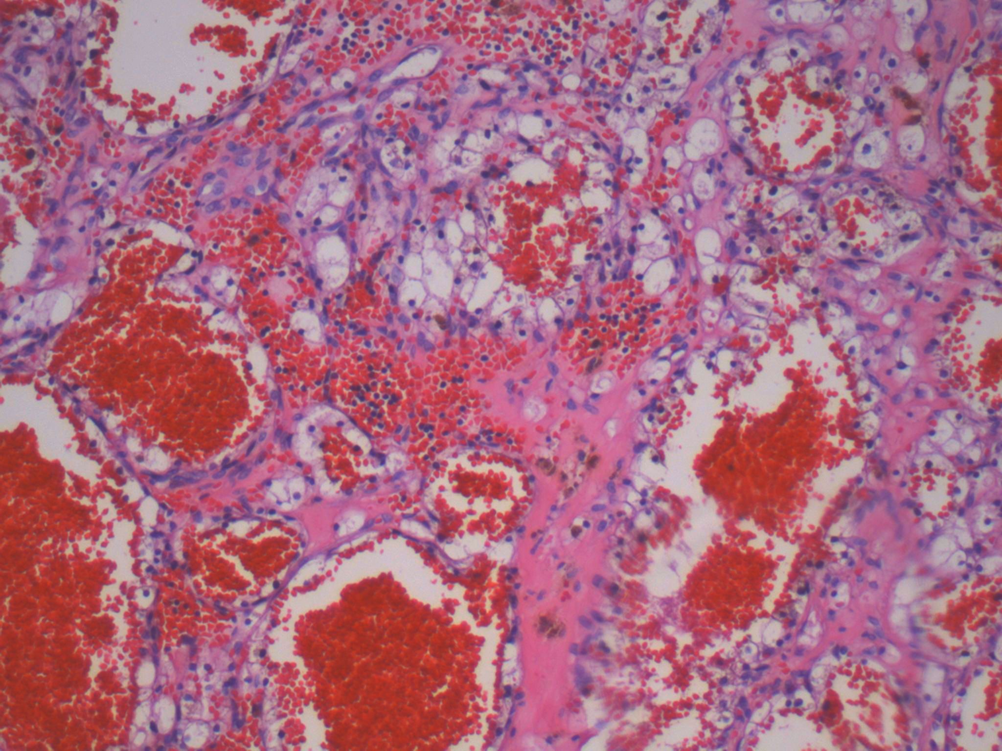
Consensus grade: Clear cell RCC

User Diagnosis Difficulty Comment
Pathologist 1 Clear cell RCC Typical
Pathologist 2 Multilocular cystic renal neoplasm of low malignant potential Typical
Pathologist 3 Clear cell RCC Typical
Pathologist 4 Clear cell RCC Not typical
Pathologist 5 Multilocular cystic renal neoplasm of low malignant potential Typical
Pathologist 6 Clear cell RCC Typical
Pathologist 7 Multilocular cystic renal neoplasm of low malignant potential Not typical
Pathologist 8 Clear cell RCC Typical

Borderline quality

Pathologist 9 Clear cell RCC Not typical

Highly

Pathologist 10 Clear cell RCC Typical
Pathologist 11 Clear cell RCC Typical

clear cell RCC with cystic changes

Pathologist 12 Clear cell RCC Typical
Pathologist 13 Clear cell RCC Typical
Pathologist 14 Multilocular cystic renal neoplasm of low malignant potential Not typical
Pathologist 15 Clear cell RCC Typical
Pathologist 16 Clear cell RCC Typical
Pathologist 17 Clear cell RCC Typical
Pathologist 18 Multilocular cystic renal neoplasm of low malignant potential Typical
Pathologist 19 Clear cell RCC Typical

too much clear cell...for me not eligible into the multilocular cystic group

Pathologist 20 Clear cell RCC Not typical

I would like to see overall appearance, my second dg would be multilocular multicystic renal cell neoplasm of low malignant potential. But septa of given tumor are too broad, too tick for my (my opinion).

Pathologist 21 Clear cell RCC Typical


Case description (by case creator):

Cystic tumour with clear cells.