Case ID: 993
Publication date: 22 Jan, 2016
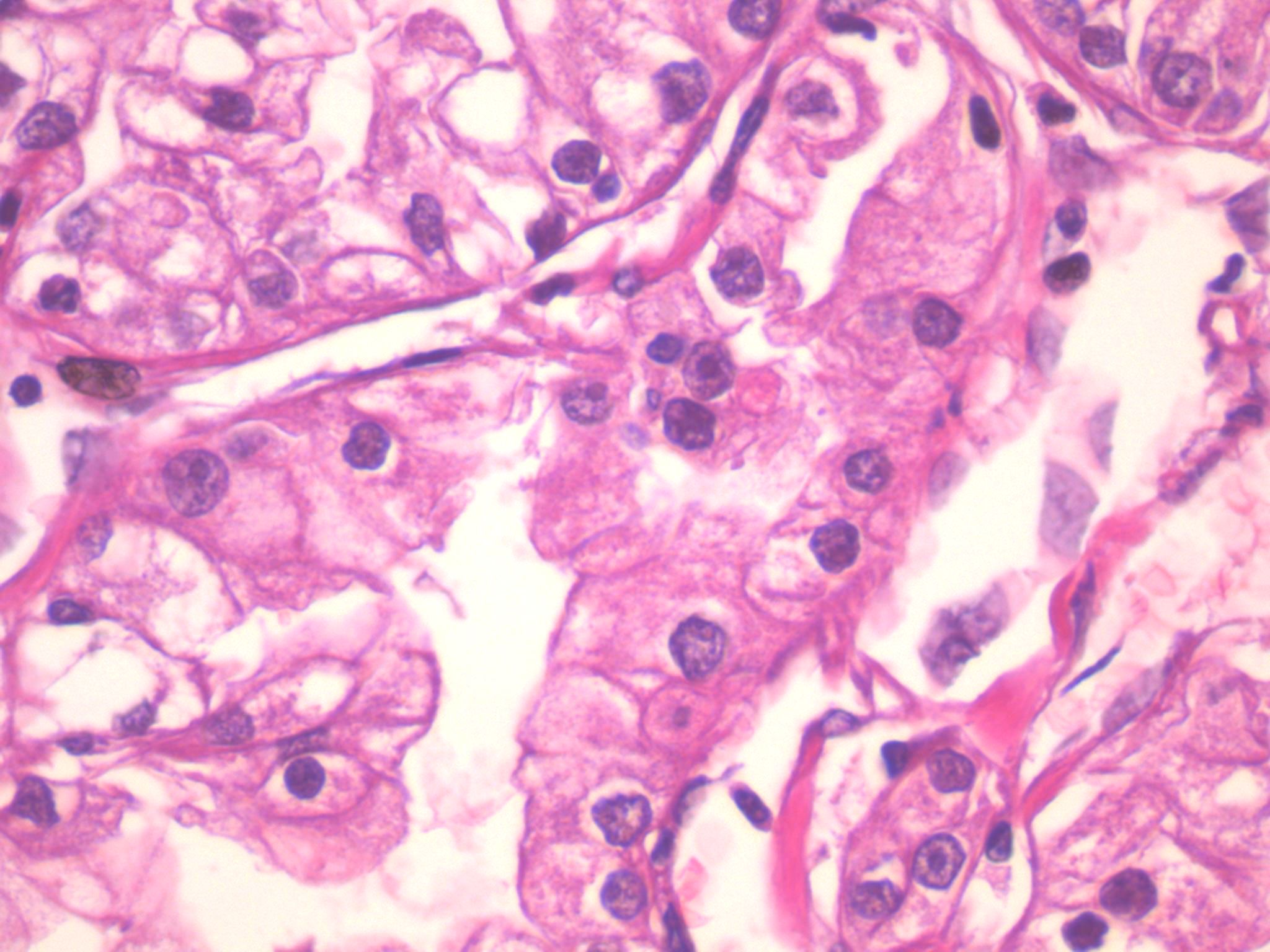
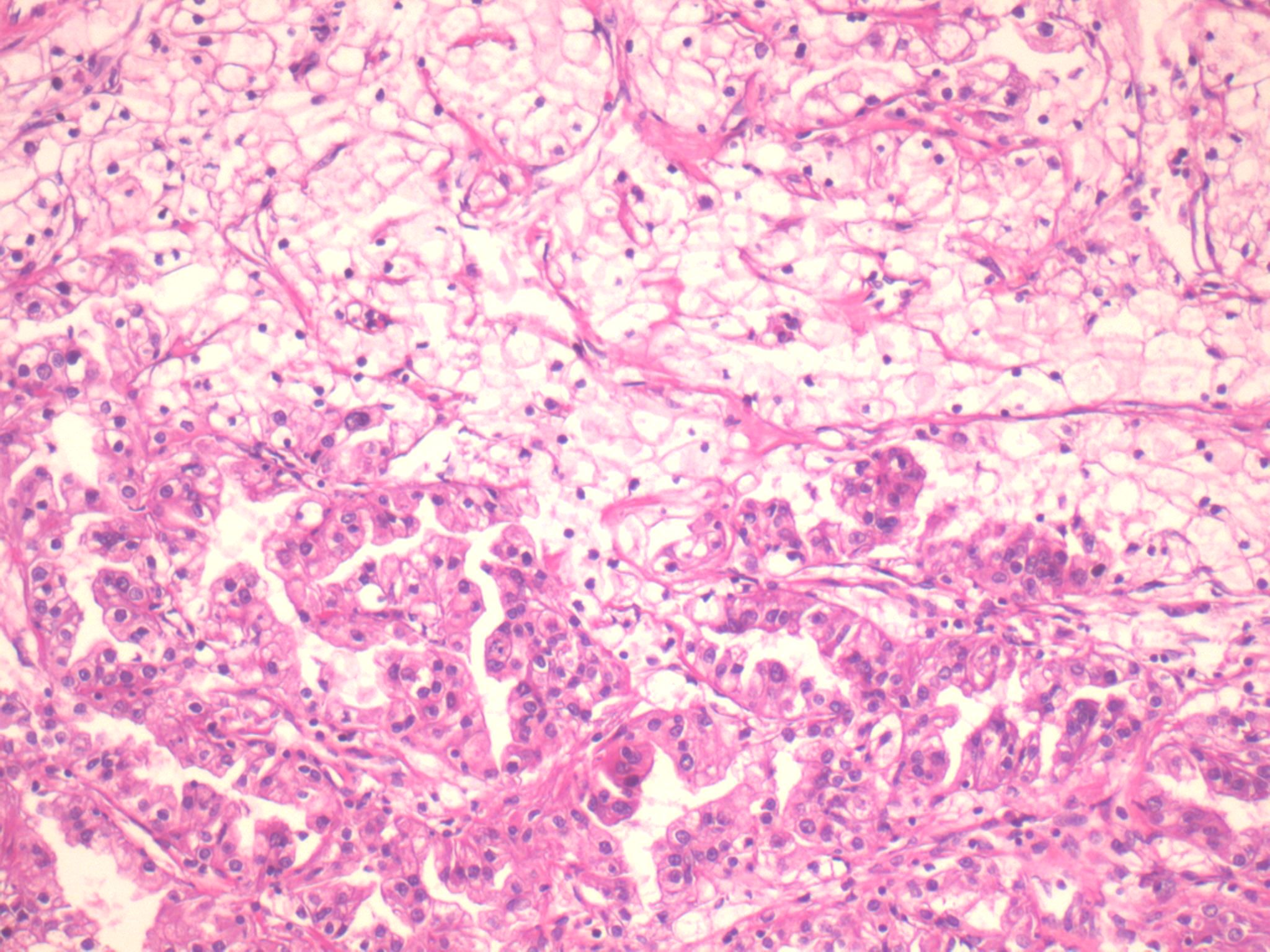
Consensus grade: Clear cell RCC
Show diagnosis by expert panel members| User | Diagnosis | Difficulty | Comment |
|---|---|---|---|
| Pathologist 1 | Clear cell RCC | Not typical | |
| Pathologist 2 | Insufficient tumor for diagnosis | Not typical | |
| Pathologist 3 | Clear cell RCC | Not typical | |
| Pathologist 4 | Clear cell RCC | Typical | |
| Pathologist 5 | Clear cell RCC | Not typical | |
| Pathologist 6 | Clear cell RCC | Not typical | |
| Pathologist 7 | Clear cell RCC | Typical | |
| Pathologist 8 | Clear cell RCC | Not typical |
Would perform IHC on this case before deciding how to classify it |
| Pathologist 9 | Clear cell RCC | Typical | |
| Pathologist 10 | Clear cell RCC | Typical | |
| Pathologist 11 | Clear cell RCC | Not typical | |
| Pathologist 12 | Clear cell RCC | Typical | |
| Pathologist 13 | Clear cell RCC | Typical |
in case of doubt.... |
| Pathologist 14 | Clear cell RCC | Typical | |
| Pathologist 15 | MiT Family translocation carcinoma | Not typical | |
| Pathologist 16 | Other | Not typical |
MiTF?? |
| Pathologist 17 | Clear cell RCC | Typical | |
| Pathologist 18 | Clear cell RCC | Not typical | |
| Pathologist 19 | Clear cell RCC | Not typical |
Case description (by case creator):
Neoplasm composed of clear cells
