Case ID: 860
Publication date: 21 Jan, 2016
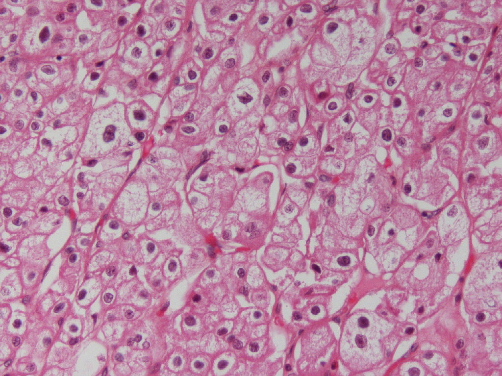
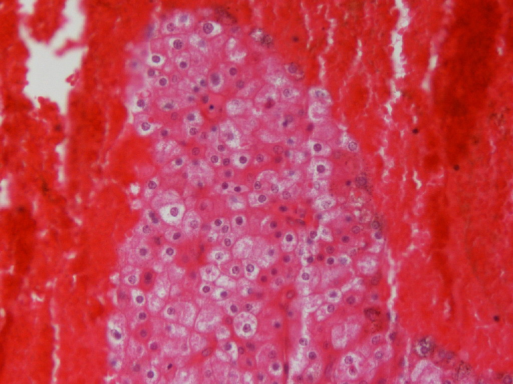
Consensus grade: Chromophobe RCC
Show diagnosis by expert panel members| User | Diagnosis | Difficulty | Comment |
|---|---|---|---|
| Pathologist 1 | Chromophobe RCC | Not typical | |
| Pathologist 2 | Chromophobe RCC | Not typical | |
| Pathologist 3 | Chromophobe RCC | Typical | |
| Pathologist 4 | Chromophobe RCC | Typical | |
| Pathologist 5 | Renal cell carcinoma, unclassified | Not typical | |
| Pathologist 6 | Chromophobe RCC | Typical | |
| Pathologist 7 | Renal cell carcinoma, unclassified | Not typical |
I think this is an eosinophilic chromophobe but cannot be certain without IHC. |
| Pathologist 8 | Chromophobe RCC | Typical | |
| Pathologist 9 | Chromophobe RCC | Typical | |
| Pathologist 10 | Other | Not typical | |
| Pathologist 11 | Chromophobe RCC | Typical | |
| Pathologist 12 | Chromophobe RCC | Typical | |
| Pathologist 13 | Chromophobe RCC | Typical | |
| Pathologist 14 | Chromophobe RCC | Not typical |
I would support my dg by IHC (CK 7, CD117, vimentin, CANH 9) in such case |
| Pathologist 15 | Chromophobe RCC | Typical | |
| Pathologist 16 | Chromophobe RCC | Typical | |
| Pathologist 17 | Chromophobe RCC | Typical | |
| Pathologist 18 | Chromophobe RCC | Not typical | |
| Pathologist 19 | Chromophobe RCC | Typical |
Case description (by case creator):
chromophobe carcinoma with dense architecture
