Case ID: 882

Publication date: 21 Jan, 2016

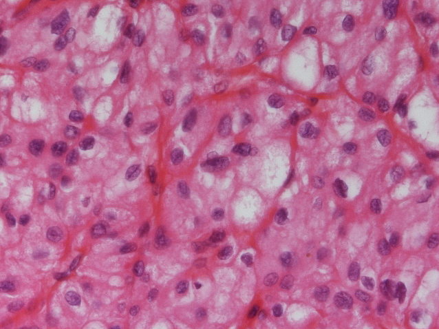
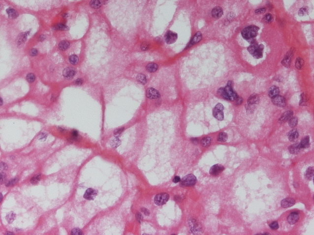
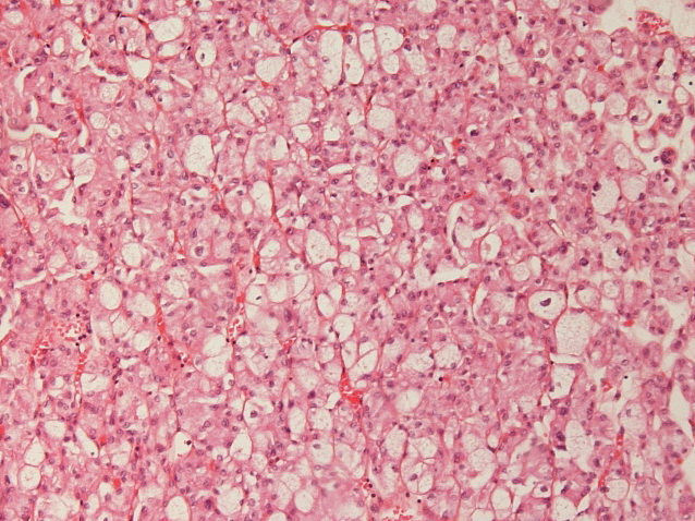
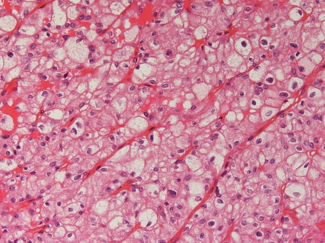
Consensus grade: Chromophobe RCC

User Diagnosis Difficulty Comment
Pathologist 1 Chromophobe RCC Typical
Pathologist 2 Chromophobe RCC Typical
Pathologist 3 Chromophobe RCC Typical
Pathologist 4 Chromophobe RCC Not typical

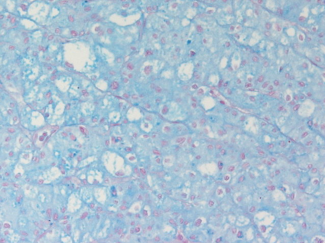
SDH-deficient renal cell cancer if colloidal iron was negative

Pathologist 5 Chromophobe RCC Not typical
Pathologist 6 Renal cell carcinoma, unclassified Not typical

H&E not typical of eosinophilic chromophobe. Have seen Hale's positive cases like this that do not have chromosomal abnormilities typical of chromophobe.

Pathologist 7 Chromophobe RCC Typical
Pathologist 8 Chromophobe RCC Typical
Pathologist 9 Chromophobe RCC Typical
Pathologist 10 Chromophobe RCC Typical
Pathologist 11 Chromophobe RCC Not typical
Pathologist 12 Chromophobe RCC Typical
Pathologist 13 Chromophobe RCC Typical
Pathologist 14 Chromophobe RCC Typical
Pathologist 15 Chromophobe RCC Typical
Pathologist 16 Chromophobe RCC Typical
Pathologist 17 Chromophobe RCC Not typical
Pathologist 18 Chromophobe RCC Typical


Case description (by case creator):

another chromophob, I guess very classic, could maybe become a consensus case