Case ID: 683
Publication date: 18 Jan, 2016
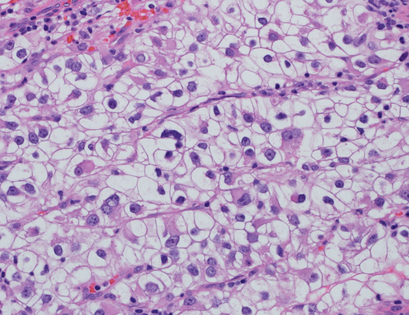
Consensus grade: Clear cell RCC
Show diagnosis by expert panel members| User | Diagnosis | Difficulty | Comment |
|---|---|---|---|
| Pathologist 1 | Clear cell RCC | Typical | |
| Pathologist 2 | Other | Not typical |
Probably a clear cell |
| Pathologist 3 | Clear cell RCC | Typical | |
| Pathologist 4 | Clear cell RCC | Typical |
Nucleolar grade 3 |
| Pathologist 5 | Clear cell RCC | Typical |
High grade |
| Pathologist 6 | Clear cell RCC | Typical | |
| Pathologist 7 | Clear cell RCC | Typical |
Rhabdoid |
| Pathologist 8 | Clear cell RCC | Typical | |
| Pathologist 9 | Clear cell RCC | Typical | |
| Pathologist 10 | Clear cell RCC | Not typical | |
| Pathologist 11 | Clear cell RCC | Typical | |
| Pathologist 12 | Clear cell RCC | Typical | |
| Pathologist 13 | Clear cell RCC | Typical | |
| Pathologist 14 | Clear cell RCC | Typical | |
| Pathologist 15 | Clear cell RCC | Typical | |
| Pathologist 16 | Clear cell RCC | Typical |
low power ? |
| Pathologist 17 | Clear cell RCC | Typical |
Case description (by case creator):
