Case ID: 671
Publication date: 18 Jan, 2016
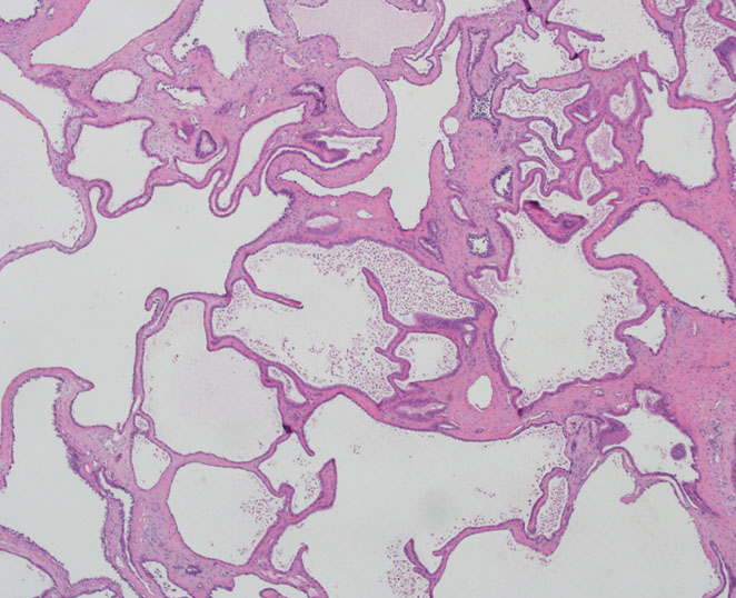
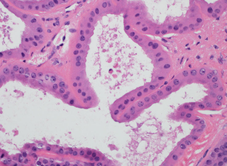
Consensus grade: Tubulocystic RCC
Show diagnosis by expert panel members| User | Diagnosis | Difficulty | Comment |
|---|---|---|---|
| Pathologist 1 | Tubulocystic RCC | Typical | |
| Pathologist 2 | Tubulocystic RCC | Not typical | |
| Pathologist 3 | Tubulocystic RCC | Typical | |
| Pathologist 4 | Tubulocystic RCC | Not typical | |
| Pathologist 5 | Renal cell carcinoma, unclassified | Not typical | |
| Pathologist 6 | Tubulocystic RCC | Not typical | |
| Pathologist 7 | Tubulocystic RCC | Typical | |
| Pathologist 8 | Tubulocystic RCC | Typical | |
| Pathologist 9 | Tubulocystic RCC | Not typical | |
| Pathologist 10 | Renal cell carcinoma, unclassified | Not typical | |
| Pathologist 11 | Tubulocystic RCC | Typical | |
| Pathologist 12 | Tubulocystic RCC | Typical | |
| Pathologist 13 | Tubulocystic RCC | Typical | |
| Pathologist 14 | Tubulocystic RCC | Typical | |
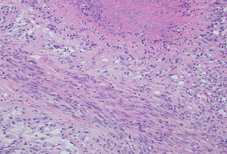
| Pathologist 15 | Tubulocystic RCC | Not typical |
3rd photo is strange for me......part of the tumor? |
| Pathologist 16 | Tubulocystic RCC | Not typical |
sarcomatoid change |
| Pathologist 17 | Tubulocystic RCC | Not typical | |
| Pathologist 18 | Tubulocystic RCC | Typical |
image 3? |
| Pathologist 19 | Other | Not typical |
tubulocystic RCC with poorly differentiated focus? |
Case description (by case creator):
