Case ID: 668
Publication date: 18 Jan, 2016
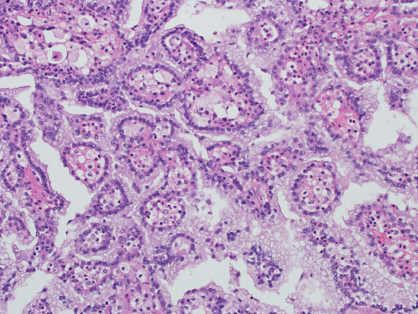
Consensus grade: Papillary RCC (Type 1)
Show diagnosis by expert panel members| User | Diagnosis | Difficulty | Comment |
|---|---|---|---|
| Pathologist 1 | Papillary RCC (Type 1) | Not typical |
cytoplasmic clearing |
| Pathologist 2 | Papillary RCC (Type 2) | Not typical | |
| Pathologist 3 | Papillary RCC (Type 1) | Typical | |
| Pathologist 4 | Renal cell carcinoma, unclassified | Not typical | |
| Pathologist 5 | Insufficient tumor for diagnosis | Not typical | |
| Pathologist 6 | Renal cell carcinoma, unclassified | Not typical |
need more images |
| Pathologist 7 | Papillary RCC (Type 2) | Not typical | |
| Pathologist 8 | Papillary RCC (Type 1) | Typical | |
| Pathologist 9 | Papillary RCC (Type 1) | Typical | |
| Pathologist 10 | Papillary RCC (Type 1) | Not typical | |
| Pathologist 11 | Papillary RCC (Type 1) | Typical | |
| Pathologist 12 | Papillary RCC (Type 1) | Not typical | |
| Pathologist 13 | Papillary RCC (Type 1) | Typical | |
| Pathologist 14 | Papillary RCC (Type 1) | Not typical |
papillary RCC type 1 with clear cell changes |
| Pathologist 15 | Renal cell carcinoma, unclassified | Not typical |
type 1 PRCC with clear cells! |
| Pathologist 16 | Papillary RCC (Type 1) | Not typical | |
| Pathologist 17 | Papillary RCC (Type 2) | Not typical | |
| Pathologist 18 | Papillary RCC (Type 1) | Typical | |
| Pathologist 19 | Papillary RCC (Type 1) | Not typical |
This is for me PRCC NOS with "hibernoma-like" cells |
| Pathologist 20 | Papillary RCC (Type 1) | Not typical | |
| Pathologist 21 | Papillary RCC (Type 1) | Not typical | |
| Pathologist 22 | Papillary RCC (Type 1) | Not typical | |
| Pathologist 23 | Papillary RCC (Type 1) | Not typical |
Case description (by case creator):
